新浪科技

20岁男生挤了颗脸上的痘:肺被啃出10多个洞!

快科技官方

关注

快科技11月24日消息,随后挤掉脸上的一颗痘,竟然有如此严重的后果,近日,宁波大学附属第一医院公布了一起相关案例。

据介绍,20岁的小林(化名)是名大二学生,前段时间为了准备考试,熬了几晚后脸上冒出一颗黄豆大小的痘痘。

为了让这颗难看的痘痘尽早消失,他便在没洗手的情况下就对着镜子将它挤掉,连带着一些脓水

可没过几天,长痘的部位还是化脓了,糟糕的是,小林开始发烧咳嗽咳痰,即便吃了退烧药也只是暂时退下去。

更难受的是右下胸部传来的疼痛,像有根针在扎,深呼吸、咳嗽时更是疼得直冒冷汗。

熬到第三天,小林已经烧到39℃,赶紧来到宁波大学附属第一医院就诊。

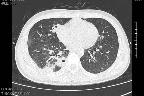
接诊的呼吸与危重症医学科丁群力主任医师一看他的症状,立刻安排了CT检查,结果显示:小林的肺里有十几个空洞,部分肺组织已经坏死,这是典型的血源性肺脓肿

进一步的细菌培养和基因检测揭开了真相,小林的血液里检出了金黄色葡萄球菌,这种细菌,就藏在每个人的皮肤表面。

医生介绍,“罪魁祸首就是那颗被挤掉的痘痘,这颗痘痘长在脸部‘危险三角区’,挤痘痘时的压力把细菌推进了血管,引发了败血症,接着细菌顺着血流跑到肺部,侵蚀肺组织。”

【本文结束】如需转载请务必注明出处:快科技

责任编辑:落木

加载中...