新浪科技

把正在吸血的蚊子拍死,它的嘴会断在肉里吗

36氪

关注

来源:36氪

中N人

编辑中N人 火山

来源|浪潮工作室(ID:WelleStudio163)

封面来源Pexels

某个夏天的傍晚,你正在惬意地吹空调,突然耳边传来了熟悉的嗡嗡声。你立刻警觉地四处查看声音的来源——发现一只嚣张的蚊子就趴在你的小腿上,一动不动。

你眼疾手快,趁着蚊子没有一点点防备就将它“就地正法”。

那么问题来了:它死前的最后一刻还在吸血,那它嘴上那根针是断在你的皮肤里,还是完整地保留在蚊子身上?

蚊子用于吸血的口针,

具有精妙的构造

要弄清这个问题,首先让我们来看看蚊子是如何吸血的。

每一个咬你的蚊子都是雌性蚊子,它们需要靠吸血来产卵[1]。从它们瞄准你到吃饱,总共分为三个步骤:穿透、探测和进食[2]

蚊子用于吸血的那根“针”,其实不是“一根”,而是“一束”针——总共由六根针组成。这种结构的生物学的学名就叫“束”[2],放在蚊子里也叫“口针”,每一根针其实是一根“唇型管”,而它吸血的部位,由这束针和包住它们的下唇而构成[3],整体被称为口器[1]

这个口针一般长2毫米,直径30微米左右[4],在刺破人的皮肤时候,通常会插入其长度的一半,也就是平均深入皮肤1毫米[5]

在束中,最粗最长的空心管叫“上唇”,它负责刺破血管并吸血,在它两侧分别有两根锋利的下颚和两根带有细小锯齿的上颚,它们负责划开你的皮肤并让蚊子更好地支撑住身体[6]还有一根“咽喉道”,蚊子用它向你吐口水,让你的凝血机制失效[1]

图为蚊子口针解剖结构示意图 / [1]

是的,每次蚊子吸你血的时候,还会留下它的口水。

蚊子进食的全过程需要好几分钟[1],而蚊子的行动速度也会随着它体内血液的增加而减缓[7]

蚊子由几丁质构成[4]它的口针硬度并不高,就算以准静态的方式刺入皮肤, 也必定将其折弯,甚至可能折断[2][8]——更遑论人们看到蚊子时咬牙切齿的洪荒之力了。因此拍死蚊子时将其口针折断的可能性确实存在。

蚊子的口针折断在了我的皮肤里

怎么办

其实,就算蚊子真的在死后把作为它特有的遗产口针留在你皮肤里,也不必着急,因为这对于你的皮肤免疫系统来说实在是小事一桩。

人的皮肤作为提供为生命保护的重要屏障[9],分别在表皮层和真皮层都具有免疫细胞。

蚊子的口针刺入皮肤,即便没有断在里面,也构成了一个机械损伤。于是人的皮肤在受创后,会调动各种细胞协同作用来愈合伤口。整个修复过程分为:凝血和炎症期、增殖期和重塑期[10]

伤口形成后,血小板和中性粒细胞最先“开工”,止血并吞噬微生物。随后单核细胞在5-6小时后“抵达战场”,这些单核细胞分化成巨噬细胞,并成为“常驻主力军”[11]

顾名思义,巨噬细胞最突出的作用就是吞噬,它们会包围并吸入那些杂质,再通过自身内部的酶混合、分解杂质[12]。它其中的一部分(M1型)主要负责吞噬,发挥的促炎作用,另一部分(M2型)会在稍后的过程里促进愈合、长组织,发挥抗炎的作用[11]

图为巨噬细胞吞噬病毒的过程示意图 / [12]

蚊子断口针这一情况,除了造成上述提到的“创口”以外,还留下一个异物。而针对这一异物,身体专门的“异物反应”(FBR)过程也需要巨噬细胞的参与[13]

“异物反应”以巨噬细胞集中粘附在异物上这一过程开始。接着,巨噬细胞改变自身的结构,进而在异物附近创造出一个独立空间。遇到异物比较“难啃”的话,巨噬细胞还会分泌一种因子来分解它们。经过巨噬细胞的不懈努力,异物会从表面开始开裂和分解,最终被巨噬细胞吞掉碎片[14]

如果蚊子留下的口器足够小,那么问题到这就结束了。

当蚊子开始吸血以后,它的口针首先会造成一个创口,如果它的口针留在皮肤里,那就会引起“异物反应” / 图虫创意

如果非常不幸,蚊子把完整的口器留在你的皮肤里,这根刺对于巨噬细胞来说任务量太大,那么之前所说的异物反应过程就会拉长战线,经历一个“纤维化”的过程。

此时,刚刚提到的M2型促愈合巨噬细胞出场,它们不仅会召唤“T淋巴细胞”和“成纤维细胞”聚集在异物表面,同时还会激活这些细胞成为一种“肌成纤维细胞”——我们结痂、结疤就是拜这种细胞所赐。同时,巨噬细胞自己也会在异物表面互相融合,形成多核异物巨细胞,化身“绿巨人”——这种巨细胞的形成又构成异物表面的蛋白质层的一部分[14][15]

至此,巨噬细胞和其他基质形成一个全新的“囊肿”就形成了,它属于伤口愈合中的“增殖”阶段[9]

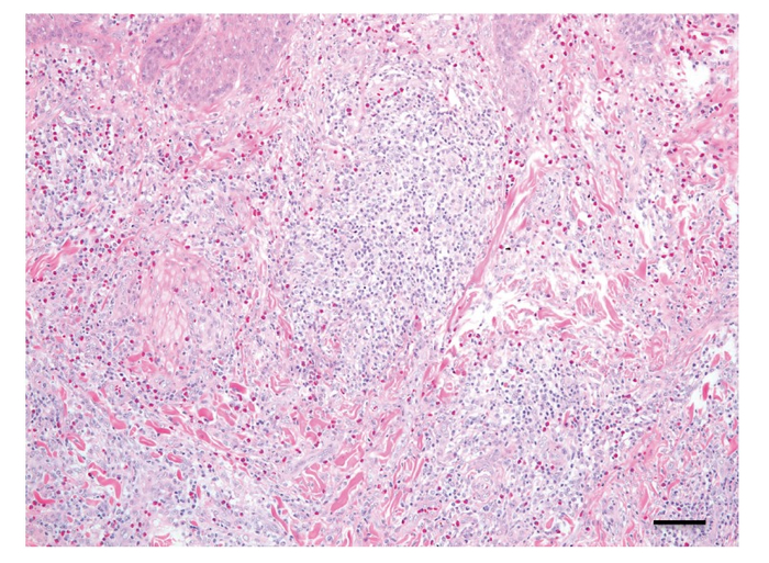
这种由异物入侵的造成的囊肿在医学上叫“异物肉芽肿”[16],不过以蚊子的口器直径(30微米)和形状(一根光滑的尖刺)来看[17][18],这种肉芽肿的发生概率极小,即使真的发生了,它基本上也会随着皮肤本身的新陈代谢和血液供应不足而消失[19],或者被身体自身的酶吃掉[9]。恢复时间和异物大小也就是损伤程度直接相关。

图为真皮内可见的淋巴细胞、嗜酸性粒细胞、浆细胞及组织细胞组成的混合细胞肉芽肿显微结构 / [18]

你的身体真正害怕的,

不是它们的口器

其实对于你的身体而言,最可怕的从来不是皮肤浅层的物理侵袭,而是蚊子唾液中的病菌和抗凝血因子

在一项针对“人体在被蚊子叮后的皮肤免疫反应变化”的研究中,研究者即使排除了蚊子口器的轻微物理影响,依然发现了大量的、远高于普通伤口和异物反应的免疫系统变化。

而蚊子甚至会利用人类自己的细胞给人体搞破坏:杀死病毒的白细胞本身也成为了传播病毒的载体;而虫媒病毒随着免疫反应的进行散播到淋巴结中[20]......

这些问题,才真正让身体如临大敌。

所以当你被蚊子包痒到心烦意乱的时候,其实你的身体细胞们早已经在这些包背后替我们“负重前行”了太多。

它们真的,我哭死。

参考文献:

[1]Gurera, D., Bhushan, B., & Kumar, N. (2018). Lessons from mosquitoes' painless piercing. Journal of the mechanical behavior of biomedical materials, 84, 178–187.

[2]Martin-Martin, I., Williams, A. E., & Calvo, E. (2023). Determination of Mosquito Probing and Feeding Time to Evaluate Mosquito Blood Feeding. Cold Spring Harbor protocols, 2023(6), pdb.top107659.

[3]马国军 & 吴承伟.(2012).微针设计与刺入过程力学问题研究进展. 力学进展(03),314-331.

[4]Swaminathan, V. S. (2006). Mechanics of a mosquito bite.

[5]Kong, X. Q., & Wu, C. W. (2009). Measurement and prediction of insertion force for the mosquito fascicle penetrating into human skin. Journal of Bionic Engineering, 6(2), 143-152.

[6]Dixon, A. R., & Vondra, I. (2022). Biting innovations of mosquito-based biomaterials and medical devices. Materials, 15(13), 4587.

[7]MacDougall, C. (2005). Effect of blood meal size on mosquito response to disturbance while blood feeding on a simulated host.

[8]吴承伟.news.sciencenet.(2011)人造微针:来自蚊子口针的启示

[9]Cañedo-Dorantes, L., & Cañedo-Ayala, M. (2019). Skin Acute Wound Healing: A Comprehensive Review. International journal of inflammation, 2019, 3706315.

[10]Zheng Z, Zhang C, Lin H, Zeng S, Qin X, Cao W, Chen H. [Wound-healing acceleration of mice skin by Sipunculus nudus extract and its mechanism]. Sheng Wu Yi Xue Gong Cheng Xue Za Zhi. 2020 Jun 25;37(3):460-468. Chinese. 

[11]Larouche, J., Sheoran, S., Maruyama, K., & Martino, M. M. (2018). Immune Regulation of Skin Wound Healing: Mechanisms and Novel Therapeutic Targets. Advances in wound care, 7(7), 209–231.

[12]Askabiologist.asu.edu.(2011).Macrophages.Arizona State University

[13]Chandorkar, Y., K, R., & Basu, B. (2018). The foreign body response demystified. ACS Biomaterials Science & Engineering, 5(1), 19-44.

[14]Carnicer-Lombarte, A., Chen, S. T., Malliaras, G. G., & Barone, D. G. (2021). Foreign body reaction to implanted biomaterials and its impact in nerve neuroprosthetics. Frontiers in Bioengineering and Biotechnology, 9, 622524.

[15].Joel Winders.Dermnetnz.(2017).Foreign body granuloma

[16] Lee, J. M., & Kim, Y. J. (2015). Foreign body granulomas after the use of dermal fillers: pathophysiology, clinical appearance, histologic features, and treatment. Archives of plastic surgery, 42(2), 232–239.

[17]Madden, L. R., Mortisen, D. J., Sussman, E. M., Dupras, S. K., Fugate, J. A., Cuy, J. L., Hauch, K. D., Laflamme, M. A., Murry, C. E., & Ratner, B. D. (2010). Proangiogenic scaffolds as functional templates for cardiac tissue engineering. Proceedings of the National Academy of Sciences of the United States of America, 107(34), 15211–15216.

[18]Hirota, K., Kurosawa, Y., Goto, K., Adachi, K., Yoshida, Y., & Yamamoto, O. (2015). Tick Bite Granuloma: Recommendations for Surgical Treatment. Yonago acta medica, 58(1), 51–52.

[19]Cleveland Clinic.(2021). Epidermis Layers, Function, Structure.

[20]Guerrero, D., Vo, H. T. M., Lon, C., Bohl, J. A., Nhik, S., Chea, S., Man, S., Sreng, S., Pacheco, A. R., Ly, S., Sath, R., Lay, S., Missé, D., Huy, R., Leang, R., Kry, H., Valenzuela, J. G., Oliveira, F., Cantaert, T., & Manning, J. E. (2022). Evaluation of cutaneous immune response in a controlled human in vivo model of mosquito bites. Nature communications, 13(1), 7036.

加载中...