新浪科技

科学家发现一种新型细胞器

中国科学报

关注

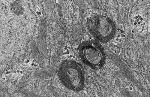
果蝇肠细胞中新发现的3个细胞器,似乎是对生命至关重要的磷酸盐储存库。

本报讯 磷酸盐对生命至关重要。现在,研究人员在动物细胞内发现了一种微小结构,就像磷酸盐储存库,有助于调节细胞内的营养水平,并在营养短缺时触发维持组织生存的过程。研究人员将这种结构归类为一种新型细胞器,后者是细胞中的基本结构,如细胞核、线粒体和细胞膜,它们起着微型器官的作用。5月3日,相关研究发表于《自然》。

“这是首次在动物细胞中发现磷酸盐储存结构。”未参与这项研究的法国国家科学研究中心结构生物学家Rebekka Wild说。

在植物、细菌和酵母中,磷酸盐对细胞生长很重要,有助于细胞交流和能量产生。尽管已知磷酸盐在动物组织和细胞中必不可少,但很少有研究探索它的具体功能。

美国洛克菲勒大学遗传学家Charles Xu很好奇磷酸盐在调节果蝇肠道组织更新中发挥了什么作用。果蝇肠道组织是研究疾病如何影响人类肠道细胞的有用模型。

Xu和同事给果蝇喂食磷甲酸(PFA),它可以抑制细胞对磷的吸收。当对来自果蝇肠道内壁的细胞进行染色和成像时,他们注意到缺乏磷酸盐导致细胞数量激增。当Xu和同事给果蝇喂食比标准水平少10%的磷酸盐食物时,这种快速的细胞增殖也发生了,表明磷酸盐确实对细胞数量有影响。

为了解磷酸盐是如何产生这种影响的,Xu和团队研究了低磷酸盐水平是否会影响基因表达。一种被他们称为PXo的基因与哺乳动物编码磷酸感应蛋白的基因类似。Xu和同事发现,当细胞缺乏磷酸盐时,PXo的表达较弱。这种基因表达的减少使细胞过度分裂。然而,当研究人员调整基因以过度表达PXo蛋白时,细胞分裂速度减慢。

研究人员用荧光标记了PXo蛋白,并注意到它与细胞中的一系列椭圆形结构有关,这些结构似乎与任何已知的细胞器都不相关。

研究人员仔细观察这些神秘结构,发现它们有几个膜层,PXo蛋白在膜层间传输磷酸盐。一旦进入不熟悉的细胞器,磷酸盐就转化为磷脂,后者是细胞膜的主要组成部分。

Xu表示,当果蝇细胞缺乏磷酸盐时,细胞器分裂并将储存的磷脂释放到每个细胞中,这表明它们的功能就像储存库。这种分解激活了一种叫作Cka的细胞机制,触发了一种压力信号,增加了新细胞的产生。这可能是肠道内壁保持磷酸盐水平稳定的一种方法,因为细胞数量增多可以吸收更多营养。“这对生物体再生更多健康的细胞是有益的。”他说。

Wild说,这些发现为探索包括人类在内的其他动物是否存在类似的磷酸盐储存细胞器奠定了基础。她补充说,深入研究PXo蛋白的结构,揭示它如何将磷酸盐转运到细胞器中,可能会很有用。

Xu说,下一步将研究这些储存磷酸盐的细胞器如何与其他细胞器相互作用,以及它们的动力学如何随时间而变化。“这为研究其他许多问题打开了大门。”他说。(文乐乐)

相关论文信息:

https://doi.org/10.1038/s41586-023-06039-y

加载中...