新浪科技

食脑虫有药了

中国科学报

关注

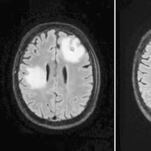
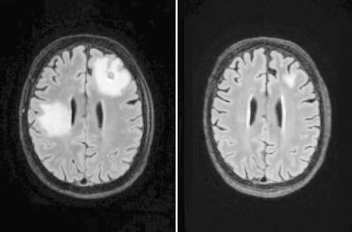
MRI显示,一名脑部感染巴氏阿米巴原虫的男子在接受实验药物治疗前(左)后炎症(白色部分)存在显著差异。

2021年夏,当一名54岁男子疾病发作被送往美国北加利福尼亚州的一所医院时,没人知道他的脑袋里有“虫子”肆虐。

当时的核磁共振成像(MRI)显示,该男子大脑左侧有个神秘肿块,于是他被转移到加利福尼亚大学旧金山分校(UCSF)医学中心接受进一步治疗。然而,脑活体组织检查和其他测试显示,该男子脑部肿块并非肿瘤,而是罕见的由巴氏阿米巴原虫引发的中枢神经系统感染。

巴氏阿米巴原虫是几种登上过新闻头条的“食脑”变形虫之一。这种阿米巴原虫1986年于圣地亚哥动物园的一只死亡待产母山魈体内被发现。该病原体可导致90%以上的感染者死亡,是不折不扣的大脑“杀手”。

幸运的是,上述患者顽强地活了下来,并在药物治疗后基本康复。

之所以能够找到救命药,源于UCSF医疗团队的努力。当他们在寻找挽救患者的一切方法时,发现了一篇几年前UCSF生化学家Joseph DeRisi团队发表的论文。该研究指出,一种最初在欧洲开发的用于抑制尿路感染的药物——硝羟喹啉,在实验室中对治疗巴氏阿米巴原虫感染有效。于是,UCSF医疗团队匆忙从国外找到这种药,并首次将其用于阿米巴患者治疗。相关研究与治疗结果近日发表于《新发传染病》。

未参与该研究的专家表示,这名男子的康复,是长期以来被认为是“死刑”的阿米巴原虫脑部感染治疗的一个突破。

UCSF医疗团队表示,该药物在美国尚未被批准常规使用,但实验室测试显示它对其他致病性阿米巴原虫同样有效。

巴氏阿米巴原虫生活在土壤、灰尘和水中,能通过肺部或皮肤切口进入人体。过去几十年中,美国仅确认了约100例巴氏阿米巴原虫感染人类病例。

“绝大多数医生,即便是传染病医生可能也从未见过相关病例。”UCSF医疗团队领导者、传染病医师Natasha Spottiswoode说。因此,两年前,即使在上述患者MRI结果出来后,他们也没有往阿米巴原虫感染上想,直到活检结果疑似发现阿米巴原虫、相关聚合酶链式反应检测呈阳性后,他们才确定遇到了这种罕见的感染。

最初,医疗团队采用抗寄生虫、抗菌和抗真菌药物联合疗法,患者一天就要服用47粒药物,此外还要接受静脉注射治疗。这种疗法毒副作用很大,患者接受上述治疗后血糖水平和白细胞数都降至危险水平,并且出现了肾衰竭,与此同时,病变仍在不断扩大。直到Spottiswoode等人发现硝羟喹啉有望治疗该疾病时,患者才有了一线生机。

Spottiswoode联系到了DeRisi,但对方表示他们还没有机会使用硝羟喹啉在实际感染者身上进行检验,且该药物没有获得美国食品药品监督管理局的批准。最终,在多方协调下,美国亚虹医药公司为UCSF医疗中心无偿提供了数百粒药片,仅用硝羟喹啉治疗1周后,患者的病变即缩小。随访MRI也显示病情正持续改善,患者现已出院在家中接受后续治疗。近期,第二名患者也开始服用该药物,初步检测结果同样令人鼓舞。(徐锐)

相关论文信息:

https://doi.org/10.3201/eid2901.221531

加载中...