新浪科技

她脑子缺了一大块,功能竟无损伤:读了研,还精通两门语言

环球科学

关注

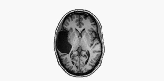
许多医生看到她的脑部成像结果,感到十分不解。因为,按照他们的理解,这样的脑部缺损应当带来严重的功能缺陷才对。终于,她对那些妄加评论的医生忍无可忍,并联系了一支科研团队,希望能借助科学家的力量,解开自己大脑的谜题。而科学家也因此如获至宝……

撰文 | 栗子

审校 | clefable

直到25岁,她才知道自己的大脑和普通人有些不同。

如果不是那一次脑部扫描,让她明白自己的大脑缺了一块,她可能永远不会发现这个秘密。因为从小到大,她的日常生活似乎没有受到任何影响,按部就班上了大学,还读了研究生。

她缺少的脑区是左颞叶(left temporal lobe)。对大多数人来说,这是承载语言功能的一个关键区域,而她脑中的相应位置,有的只是脑脊液。曾经有位医生认为,她的词汇量不会超过五年级的小学生,但事实上她的言语智商(verbal IQ)测试成绩在人群中排到了前2%。不止如此,母语为英语的她,还熟练掌握俄语这门外语。

多年以来,她看过的许多医生都无法相信,这样一枚独特的大脑竟有如此优异的表现。与此同时,她也对自己的大脑愈发好奇。终于,她在2016年联系了麻省理工学院(MIT)的一支科学家团队,也成为了他们视若珍宝的研究对象。

最近,关于她(的大脑)的第一篇论文发表了,她在文中化名EG。科学家从她的脑海里,发现了语言区发育过程中的一些秘密。

左脑不够,右脑来凑

人类的大脑分成左右两个半球,每个半球又有四个叶:额叶在前面,颞叶在外侧,顶叶在上方,枕叶在后部。

其中,语言功能主要靠颞叶和额叶来实现。颞叶承载着一个重要区域,名叫韦尼克区(Wernicke‘s Area),位在颞叶与顶叶交界的地带,可以帮助我们理解语言,不论是听到的语音还是看到的文字;额叶也有一个重要区域,名叫布洛卡区(Broca‘s Area),它能为我们选取合适的词汇,表达出自己的想法。

左脑和右脑都有颞叶和额叶,但两个脑半球的功能却有所不同。对大多数人(85~90%)来说,左脑会成为处理语言的主要担当,也成为优势半球,而右脑语言区的功能则会受到抑制。

假如你还记得,本文主人公EG丢失的正是左脑的颞叶。可是她的语言能力并无明显缺陷,甚至还优于常人(除了拼写容易出错)。所以,科学家十分珍惜这个找上门来的案例。

在EG的记忆中,她从没遭受过任何头部创伤,或者说她大脑里的缺损很可能是先天的。造成此类现象的一个常见原因,是围产期脑卒中(perinatal stroke):指从怀孕第140天到产后第28天之间,胎儿或婴儿发生的中风。研究团队认为,EG的左颞叶缺失可能也是因为这种疾病。

而面对早期损伤,人类的大脑拥有一定程度的恢复力。在过往研究中,一些科学家已经观察到,围产期脑卒中发生之后,有的孩子并不会像我们一般印象里的中风患者那样失语,而是发展出了与常人相近的语言能力。

这是因为,人在婴幼儿时期的神经可塑性(neuroplasticity)比较强。一个脑区受损,其他脑区还可以建立起新的神经连接,完成相应的任务,弥补缺失的功能。曾经也有一些案例证实,早期左脑发生损伤,右脑可以接管语言功能。这说明在年幼的大脑里,左右脑都能积极地执行语言处理任务。或者说,那时的左脑还没有真正占据主导地位、成为优势半球,右脑也就有了上位的机会。

既然,从前的科学家们已经知道,人类的大脑有“冗余”设定,一个区域受损后仍然有机会让其他区域替补上场。那么,来自MIT的研究团队,还能从EG的脑海里找到什么新发现?

没有颞叶,额叶怎么办?

成年人的大脑里,需要有一个额颞叶网络来处理语言。不过,要说这个语言网络是如何产生的,科学家们此前并不十分了解。

在遇到EG这个特殊的案例前,科学家们常常苦于难以获得1~3岁孩子的脑部数据,而这个阶段是语言能力发展的主要时期;4~5岁儿童乃至青春期早期的数据已有不少,可那些大脑已经发育到接近成年人的程度,如果说有明显区别,就是左右脑的功能特化还没完成,但这很难为研究者提供有关发育过程的灵感。

比如,额叶语言区的功能,通常会在5岁左右发育到和成年人相似的水平;而颞叶语言区比额叶语言区发育得更早。科学家一直很好奇,颞叶语言区的存在,是不是产生额叶语言区的先决条件?

有了EG的大脑,研究团队就可以设计实验来找出答案。他们交给EG一些阅读任务,同时依靠fMRI(功能性核磁共振成像)监测她脑部的活动情况,并和94位大脑发育无异常的成年人的脑活动做对比。这94位对照者的母语也是英语,和EG一样。

具体来说,任务是阅读真句子假句子。真句子里,每个单词都是实际存在的英文单词,而且排列成了有意义的组合;假句子里,每个“单词”按照拼写也能读出来,但都不是实际存在的英文单词,也表达不出什么意义。

不论真句子还是假句子,每个句子的长度都是12个词。每个句子不是直接出现在屏幕上,而是一词一词蹦出来,两个词之间间隔450毫秒。EG和其他对照者要做的就是默读句子。研究者说,这项任务针对的是那些跟词汇语义处理组合处理相关的脑区。

实验过程中,科学家主要观察EG的左额叶,看这一区有没有出现语言相关的神经活动。假如有,就表示在缺少左颞叶的情况下,左额叶依然可以发展出语言功能。也就是说,同一个半球不需要存在颞叶,也能产生额叶语言区。假如没有,就可能表示在缺少左颞叶的情况下,左额叶并没发展出语言功能。或者说,想要产生额叶语言区,同一个半球必须存在颞叶才行

结果,研究团队并没有在EG的左额叶发现语言活动,而右脑的额叶语言区与颞叶语言区都在工作。科学家由此推测,同一个半球存在颞叶,是产生额叶语言区的必要条件。在EG左颞叶缺失的情况下,即便左右脑的额叶之间相互连接,左额叶也无法借此获得语言功能。

那么,会不会是EG的左额叶对任何高级认知任务都没有反应?团队又用一些加法算术题对EG进行了测试,结果表明EG的左额叶依然保有其他的高级认知功能,只是缺少语言功能。这样一来,科学家愈发相信自己的判断:额叶语言区不能独立于(同一脑半球的)颞叶语言区而独存。

EG的额颞叶语言网络,全部由她大脑的右半球提供。这也表示,一个半球就足以保障她完好的语言功能了。

从特殊的案例开始

当然,一个人的情况不能代表其他人。EG脑部的器质性损伤,没有给她造成发育迟缓,这并不意味着其他小孩脑部类似的损伤,也不会导致发育迟缓。这项案例研究只是一个开始。

不过,神经学领域的许多重要的发现,也是从单个案例开始的。比如上文提到,额叶当中有一个重要的区域叫布洛卡区,负责产生语言。这个区域得名于一位叫做皮耶尔·保罗·布洛卡(Pierre Paul Broca)的医生。在19世纪60年代,布洛卡医生先是在一位只能发出“tan”这一个音的患者过世后,发现他的左额叶有一处病变,后来又在20多位症状与之接近的患者脑部,发现了相似的区域受损。由此,他证明了一件事:大脑的功能确实有区域特化,不同的脑区负责不同的功能。

又过了十几年,一个名叫卡尔·韦尼克(Carl Wernicke)的神经学家,也追随着布洛卡的脚步,在一些能够流利说话、却听不懂自己在说什么的患者脑中,找到了另一个区域的损伤。那就是位于颞叶(也延伸到顶叶)、有助于接收和理解语言的韦尼克区

如今,MIT的科学家们对EG大脑的研究还在继续。由于颞叶不只负责语言功能,还参与一些听觉感知。下一步,研究团队打算继续观察,左颞叶的缺失对EG的听觉系统产生了怎样的影响。

除此之外,EG自己还提到,除了大脑缺一块,她的脑干也少了一部分。若干年前,有一位医生曾经对她说,只在死去的婴儿脑中才看到过类似的现象,且以为脑干的任何损伤都是致死的。不过,随着脑部成像技术的发展,和她相似的情况也变得越来越常见了。

如今,EG已年过半百,不过她依然希望自己作为一个特殊的案例,能帮助人们了解脑部更多的可能性。

“我的脑子是独特,不是异常!”

原论文:

https://www.sciencedirect.com/science/article/abs/pii/S0028393222000434?via%3Dihub

参考链接:

https://www.ncbi.nlm.nih.gov/pmc/articles/PMC6291004/

https://www.pnas.org/doi/10.1073/pnas.1905590117

https://www.wired.co.uk/article/she-was-missing-a-chunk-of-her-brain-it-didnt-matter

加载中...