新浪科技

你的每一个吻,最开始只是想给对方喂食?

环球科学

关注

亲吻似乎已是人类本能,我们用它来表达喜悦、爱恋。其实,亲吻源自我们祖先的喂食行动,它传递的不仅是甜蜜和爱情,而且还会向我们的大脑、身体和配偶传递各种有力的信号,帮助配偶判断彼此的基因是否匹配。实际上,接吻能反映一段恋情的现状和未来。一个糟糕的初吻,可能毁掉一段恋情。

撰文 | 奇普·沃尔特(Chip Walter)

翻译 | 红猪

激情来临时,一个吻便把两个人连在一起,彼此交换气息、味道、感觉、秘密和情绪。我们偷偷地吻、放纵地吻、轻柔地吻、害羞地吻,也如饥似渴、激情四射地吻。我们吻在朗朗白天,也吻在寂静黑夜。我们用亲吻表达礼节,传递爱意;我们送出好莱坞式的飞吻,也送出死亡之吻;抑或,我们的吻如蜻蜓点水,将童话中的公主唤醒。

人类进化之初,双唇的主要作用是进食,随后才用于交谈。亲吻双唇的确能喂饱各种饥饿感:轻轻一个吻,会刺激身体发出一连串神经信号和化学物质,传递我们的触觉感受、性兴奋、亲密感,甚至是狂喜。

这些信号并非只存在于身体内部。毕竟,亲吻是双方的事。双唇接触时传递给对方的信息,强烈程度不亚于本人体内的信息流。亲吻能反映一段恋情的现状和未来。实际上,最新的研究显示,亲吻所传递的信息量非常大。如果初吻搞砸,一段美好的恋情也可能就此终结。

有科学家相信,接吻的产生是择偶的需要。2007年9月,美国纽约州立大学奥尔巴尼分校(University of Albany)的进化心理学家戈登·G·盖洛普(Gordon G。 Gallup)在接受BBC访谈时说:“亲吻包含复杂的信息交换——嗅觉信息、触觉信息和各种体态的变化。这些信息经由进化和潜意识机制,帮助人们判断彼此的基因是否匹配。” 亲吻甚至能揭示伴侣对生儿育女的态度,这可是长期恋情的首要问题,也是关乎物种繁衍的大事。

喂饱饥饿感

无论世事如何变化,我们的进化史都离不开温柔而激烈的亲吻。20世纪60年代,英国动物学家兼作家德斯蒙德·莫里斯(Desmond Morris)首先提出,接吻很可能起源于灵长类动物的育婴行为:母亲咀嚼食物,会口对口喂给幼崽。黑猩猩是这样,人类的祖先可能也是如此。后来,食物稀缺时,嘴对嘴就发展成安抚饥饿幼崽的策略,并最终用于表达爱慕之情。实际上,人类或许真是从这种父母喂食的动作开始,演变出各种各样富于激情的亲吻。

亲吻最初可能起源于灵长类动物口对口喂食幼崽的习惯。进而,变成食物匮乏时安抚饥饿幼崽的策略。最后,才演变成表达爱意的普遍方式。

一种不为人们熟知的化学信使——信息素(pheromone),可能促进了接吻这一沟通方式的形成。许多动植物都利用信息素与同一物种的其他成员沟通。尤其是昆虫,它们发现食物或异性时,会释放信息素警告其他同伴。

人类是否能察觉到信息素,科学界仍有争议。在鼠和猪的口鼻之间,有专门的信息素感受器——梨鼻器(vomeronasal organ),人却没有。美国迪尤肯大学(Duquesne University)的生物学家萨拉·伍德利(Sarah Woodley)提出,人类也许是通过鼻子来感知各种信息素的。如果信息素在人类求偶和生殖中确实发挥了作用,亲吻就能有效地将信息素从一方传递给另一方。

我们也可能是从灵长类祖先那里继承了亲吻。尽管倭黑猩猩并不是人类的直系祖先,但它们的基因和人十分接近。美国埃默里大学(Emory University)的灵长类学家弗兰斯·B·M·德瓦尔(Frans B。 M。 de Waal)回忆说,有位动物园管理员被一头倭黑猩猩亲了一下,他原以为这不过是一个友善的吻,直到倭黑猩猩把舌头伸进他嘴里,才恍然大悟,并非如此!

接吻的化学反应

从诞生伊始,接吻就叫人着迷。双唇是人体最薄的皮肤,也是感觉神经元最为密集的区域之一。人们接吻时,这些神经元连同嘴、舌的神经元,将信号迅速传递到大脑和人体,从而引发愉悦的感受、强烈的情绪和身体反应。

在影响大脑功能的12~13根脑神经中,有5根在我们亲吻时发挥作用。它们在我们的唇、舌、脸、鼻和脑之间来回传递信号,帮助大脑迅速获取有关温度、味道、气息、动作的及时信息。一部分信息会到达感觉运动皮层,这是大脑表面的一张表征触觉信息的身体地图。在图中,嘴唇占用的面积很大,因为表征身体区域的皮层大小与这个区域上的神经末梢密度成正比。(参见下图)

皮肤的触觉信息会传达到大脑的初级运动皮层,皮层中包含了一幅名为“感官小人”的扭曲人体图。在这幅人体图中,双唇大得不成比例,因为它们表面密布感觉接受器,对触碰极为敏感。

亲吻会促使人体释放多种化学物质的混合物,这些物质控制着我们的压力、动机、社交和性刺激。在一项新近研究中,美国拉斐特学院(Lafayette College)的心理学家温迪·L·希尔(Wendy L。 Hill)和她的学生凯里·A·威尔逊(Carey A。 Wilson)比较了15对大学生情侣在接吻前后、牵手交谈前后的两种关键荷尔蒙的水平。她们发现,名为催产素(oxytocin)的荷尔蒙参与了社交行为,而皮质醇(cortisol)这种荷尔蒙则在形成压力时发挥作用。希尔和威尔逊预言,亲吻会提升催产素水平,进而影响社会认知、男女性兴奋和生育。他们认为,这种效果在受试的女性身上尤其明显。原因是,女性在恋情中表现出的亲密感水平比男性更高。她们还预测,亲吻可以疏解压力,从而使皮质醇水平下降。

两位研究者还惊讶地发现,无论是亲吻之后,还是牵手交谈之后,只有男性的催产素水平出现上升,女性的反而下降了。她们由此得出结论,在身体接触中,女性要获得情绪上的亲密感和性兴奋,绝对不只是一个吻那么简单。她们推测,对女性而言,实验环境可能还不够浪漫。2007年11月,希尔和威尔逊在美国神经科学会年会上发表了这项研究,并指出,任何形式的亲昵都会使两性的皮质醇水平下降,表明亲吻确实能够减少压力。

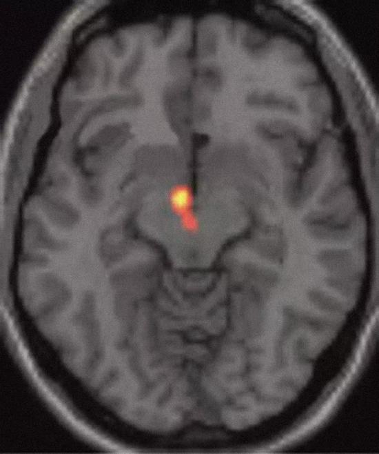
亲吻多少和爱关联,因此会增加大脑中控制快乐和狂喜的化学物质,并激发与人交往的愿望。2005年,美国罗格斯大学(Rutgers University)的人类学家海伦·费希尔(Helen Fisher)和同事报道了一项研究。他们让17个受试者凝视自己深爱的人的相片,并对他们的大脑进行扫描。研究者在控制快乐、动机和奖赏的两个区域,即右腹侧被盖区(right ventral tegmental area)和右侧尾状核(right caudate nucleus),发现大脑活动激增(参见下图)。可卡因之类的成瘾药物也会释放神经递质多巴胺,刺激大脑的奖赏中枢。这样看来,爱情还真是一剂不折不扣的“迷魂药”。

研究显示,看着自己深爱的人时,大脑的腹侧被盖区会被激活,成瘾药物同样会激活这个快乐中枢。如果亲吻和爱有关,那么它简直无异于一剂大脑“麻醉药”。

亲吻还有其他重要作用。体内的“行军号”一响,脉搏便会加快,血压也随之上升。一旦欲望战胜谨慎和羞怯,便出现瞳孔扩张、呼吸加重,理性思维也退居二线。当事人自己只顾着激动,无暇他顾。诗人卡明斯(e。 e。 cummings)说得妙:“亲吻远比智慧更美好。

真爱试金石

一个吻或许并不明智,却能左右一段恋情。2005年,电影《全民情敌》(Hitch)中的亚历克斯·希钦斯(Alex Hitchens)就对他的客户说过:“一支舞蹈、一个眼神、一个吻,就这么几招……男人一出手,便分高下,要么‘抱得美人归’,要么成了‘一次性男友’。”小小的一个吻,真有那么大的威力吗?研究者给出了肯定的回答。在最近的一项调查中,盖洛普和他的同事发现,在受试的58名男性和122名女性中,有59%的男性和66%的女性承认曾对某人产生好感,但第一次接吻后,却突然没了感觉。“糟糕”的一吻,也许本身并无缺憾,只是感觉不对劲,当事人便当即中止了一段恋情——这可真是情侣之间的“死亡之吻”。

盖洛普认为,接吻之所以重要,是因为它传达了许多潜意识信息,帮助配偶判断彼此的基因是否匹配。他的假说与另一种看法不谋而合:亲吻之所以进化成一种求偶策略,是因为它能够帮助我们评估潜在的伴侣。

达尔文进化学说认为,性选择是传播基因的关键。对人类而言,择偶通常还涉及恋爱过程。2005年,费舍在一篇论文中写到,人类“进化出这种吸引机制,是为了把交配的能量聚焦在特定的人身上,从而保存能量,更有利于择偶——这是繁衍后代最重要的方面”。

根据盖洛普的新发现,亲吻对伴侣关系的发展至关重要,但它在男性和女性身上起到的作用并不相同。2007年9月发表的一项研究中,盖洛普及同事调查了1,041名大学本科生的亲吻行为。多数男生把深深一吻视为通向性关系下一阶段的一条途径。女性则普遍期待,亲吻能让双方在感情上更进一步。女性不仅会评估对方DNA的好坏,还要看他是否会成为一个出色的长期伴侣。

“恋情稳定的女性,会用亲吻来传递她们对感情的投入程度。” 2007年9月,盖洛普接受BBC采访时如是说。这样看来,双唇的触碰就像一个的晴雨表:亲吻越是热烈,恋情就越是健康。

由于女性需要在生育上投入更多的能量,能够生育的年限也更短,她们在选择伴侣时更为挑剔——她们承担不起差错的代价。对女性而言,一个热烈的吻可以帮助她们选定一位合适的配偶:他不仅会是一个慈父,而且还会心甘情愿把孩子抚养成人。

从进化的角度看,亲吻也许并非不可或缺。多数动物并不会搂着脖子亲吻,也能繁衍生息。就连人类自己,也不是人人都会亲吻。20世纪初,丹麦科学家克里斯托弗·尼罗普(Kristoffer Nyrop)描述了芬兰的几个土著部落,部落成员在一起洗澡,却认为亲吻有伤风化;1987年,法国人类学家保罗·德昂若(Paul d’Enjoy)的报告称,中国人很不喜欢口对口接吻;在蒙古,父亲通常不会亲自己的孩子,只是会闻闻他们的头部。实际上,艾雷尼厄斯·艾布尔-艾贝斯费尔特(Irenaus Eibl-Eibesfeldt)认为,有多达10%的人从不会触碰别人的嘴唇。

偏斜之爱

即使在那些习惯亲吻的国家,亲吻也暗藏玄机。最近,德国波鸿-鲁尔大学(Ruhr-University of Bochum)的心理学家奥努尔·京蒂尔金(Onur Güntürkün)在美国、德国和土耳其,对124对在公众场合亲吻的伴侣进行了调查。结果发现,在嘴唇接触前,他们把脑袋偏到右侧的频率,是左侧的两倍。惯用右手并不能解释这一偏好,因为人类中右撇子所占的比例,比亲吻时脑袋习惯偏右的人所占比例高出4倍。京蒂尔金怀疑,右侧亲吻源于怀孕后期和幼儿时期普遍存在的某种偏好。这种“行为不对称”与语言和空间感等大脑功能的偏侧性有关。

向右偏斜的习惯还和后天培育有关。研究显示,无论惯用左手还是右手, 80%的母亲都习惯把婴儿抱在身体左侧。母亲必须把脸朝上的婴儿从左边换到右边,才方便哺乳或用鼻子爱抚他们。结果,多数人开始把温情和安全与右侧联系在一起。

有科学家提出,与接吻时把头偏到右侧的人相比,偏向左侧的人较少表现出温情和爱。有理论认为,偏向右侧会露出左边面颊,而控制它的是较为情绪化的右半脑。但2006年的一项研究反驳了这个观点。北爱尔兰贝尔法斯特斯却莱米尔斯学院(Stranmillis University College)的自然学家朱利安·格林伍德(Julian Greenwood)及其同事,对240名大学本科生进行了测试,77%的人在亲吻洋娃娃的面颊或嘴唇时偏向右侧。这种不带感情色彩的亲吻偏向右侧的情况,与在贝尔法斯特测试125对伴侣接吻时的情况差不多,都有8成时间偏向右侧。京蒂尔金总结说:右侧亲吻可能源于某种运动偏好,而非情感偏好。

尽管有了这些观察结果,我们仍然无法对亲吻进行科学的、彻底的分析。对情侣的观察显示,简单而自然的一个吻其实一点也不简单——要解开激情与爱的秘密并非易事。浪漫不会轻易揭开它秘密的面纱。有时候,我们倒情愿那样。

加载中...