用了60年的去屑成分ZPT被禁用,还能放心洗头吗?
新浪科技综合
来源:果壳
“头屑去无踪,秀发更出众。”
有没有瞬间爷青回?当年专为亚洲市场设计的某去屑洗发品牌,专利成分就是吡硫翁锌(ZPT),因为去屑效果真的好,也是赚得钵满盆满。
但是!ZPT最近被欧盟禁了,这到底是怎么回事?
发生了什么?
1月22日,欧盟委员会向世界贸易组织正式递交了G/TBT/N/EU/773 号通告。这份通告平地起惊雷,预计影响大部分市售的去屑洗发水。通告将常用的去屑成分ZPT列为CMR 1B 物质(基于动物研究假定对人有致癌、致突变、致畸效果)。
虽然欧盟消费者安全科学委员会(SCCS)在2020年发布的关于ZPT的结论中表示,含有浓度小于1% ZPT的洗发水是安全的;但由于ZPT不是不可替代的去屑成分(后文会讲还有什么替代成分),无法满足欧盟化妆品法规中“原料本身无可替代”的要求。因此,ZPT不能满足CMR物质在化妆品中使用的豁免条件(如果无法替代,那么即使有毒也不得不用,但ZPT不是)。
基于上述理由,欧盟委员会计划将ZPT从化妆品限用物质清单和化妆品准用防腐剂清单中移除,同时将其列入化妆品禁用物质清单。
ZPT有效吗?
头屑是头皮角质细胞过度增生而引起的大量脱屑现象。一份2013年的调查报告显示,我国大约有60%的成年人不同程度地受到头屑问题困扰,其中15%的人十分严重[1]。2013年,去屑香波已占洗发水总量的35%以上(虽然我觉得在不远的将来,防脱洗发水才是王道)。
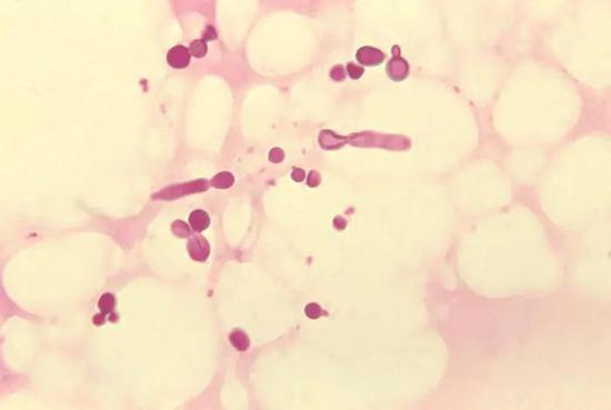
大量研究证明,马拉色菌与头皮屑的发生和严重程度密切相关。马拉色菌在头皮上的大量繁殖引起头皮角质层的过度增生,从而促使角质层细胞以白色或灰色鳞屑的形式异常脱落,这种脱落的鳞屑即为头皮屑。
放大花斑癣病患皮屑所看到的秕糠马拉癣菌丨Wikipedia
ZPT具有很强的抗菌能力,能够有效地杀死产生头皮屑的真菌(如马拉色菌),具有很好的去屑功能。此外,它在涂料等方面也有着广泛的应用。ZPT作为去屑剂已有60多年的使用历史。[2]
ZPT安全吗?
原本欧盟认为,ZPT以1%浓度作为去屑成分在淋洗类发用产品中使用时是安全的,也可作为防腐剂或非防腐目的限用物质在化妆品中使用。美国FDA也认为,ZPT在微量用于日用品成分的情况下对人体没有危害。我国《化妆品安全技术规范(2015年版)》里也说,ZPT适用于去头屑淋洗类发用产品,但最大使用浓度为1.5%。
外用ZPT时,大部分只能驻留在角质层外层,部分可沉积在表皮层,或溶于毛囊中皮脂而存留在毛囊中,几乎不发生透皮吸收。ZPT只能随皮肤角质层自身代谢而减少,因此,可以持久安全地发挥抗菌作用。
由于ZPT皮肤渗透性很差,人类外用ZPT基本不会产生急性毒性,1% ~ 2%范围内使用是安全的。
市面上的去屑洗发水仍然可以认为是安全的丨图虫创意
但是,ZPT对水生生物是有胚胎毒性的。
ZPT会随着生活用水排放到河流等水环境。作为一种可能带来环境风险的污染物质,研究表明,在亚致死浓度下,ZPT对海洋多毛纲动物具有急性毒性[3]。日本国立环境研究所的研究显示,含有ZPT的洗发水能诱发鱼类幼虫的背骨出现波浪状畸形[4]。
在哺乳动物中,还没有ZPT的胚胎毒性报道。在ZPT作为去屑成分使用的60年中,也没有人类胚胎毒性的报道出现。
暂时安全的去屑成分
吡罗克酮乙醇胺盐(Octopirox,OCT)是一种相对较新的去屑剂,在应用的30年间,还没有细胞毒性的报道。它同样是通过杀灭真菌来达到去屑的目的,低浓度(0.1%-0.75%)即有效。目前市面上中高端的去屑洗发水中常常使用这种去屑剂,因为它的成本相对较高。
氯咪巴唑(CLM),也称甘宝素,面世的时间也有40余年了。它是一种抗真菌的化合物,可以通过抑制真菌细胞膜的合成来对抗真菌。欧盟对氯咪巴唑的使用限制是在洗发水中作为防腐剂的最大浓度为0.5%,作为其他成分的最大浓度为2%。但它的去屑止痒效果与ZPT 和OCT相比差距较大,近几年用量在下滑。
其他诸如水杨酸、硫磺、煤焦油、二硫化硒等,也常常可以在去屑洗发水当中见到,但它们的使用感往往不如主打上面两种成分的洗发水好。酮康唑也是药房里常见到的去屑洗发水添加的成分,但需要经医生指导,作为药物使用。
即使ZPT目前看来对人体安全,但地球真的到了我们需要人人关心的地步。多种水生物对ZPT的毒性较为敏感,我觉得被禁止使用在化妆品中也不是坏事。
当然,还是有必要让它继续留在药品当中,在皮肤科医生的监督下规范使用,而不是自我诊治。严重的头皮屑是洗发水不可能解决的事情,专业的事情交给专业人员,自己也省心。