新浪财经

突然!华为之后,沉默已久的马云终于出手了.....

财经要参

关注

快,快得让所有人措手不及!

今天,当国人热议宋慧乔离婚、范李分手,一只命运的蝴蝶,在杭州突然展开了它颠覆之翅!

刚刚,杭州传来大消息:马云的阿里人工智能取得重大突破,攻克心血管识别,比传统提速百倍!目前,该成果已被国际顶级医学影像会议MICCAI 2019提前接收。

为了开发人工智能,阿里用了数十万个CT血管造影样本训练神经网络,直到它构建了一个判别式冠脉追踪模型。

有了这个模型,阿里AI无需人工交互,仅用0.5秒就能从CT影像中识别出单根冠脉血管,找出完整冠脉树则不超过20秒,相比以前老办法方法效率提升近百倍。

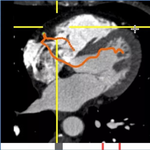
看看下面这张图:阿里AI在0.5秒内全自动提取的单根心脏冠脉,医生可从重建的影像上快速发现病灶。右上为血管上的软斑块,右下为钙化斑块。

消息出来后,医学界一片哗然:要知道,心血管疾病是世界上致死率最高的人类疾病。要诊断冠心病,就必须从CT血管造影中,准确识别出提心脏血管。

但由于心脏冠脉形状复杂,血管又特别细小,识别出整根血管难度系数极高,往往消耗大量时间,导致诊疗效率很低。现在,有了阿里AI医疗的辅助,医生进行心血管疾病诊断的效率将大大提高 ,AI辅助医生进行心血管疾病诊断的未来近在咫尺,更多的心血管病人将得到救助。

是的,你没看错,在人工智能面前,医生这个职业,将面临一次巨大的挑战。以前我们都说,医生越老越值钱。现在,以前靠时间、靠经验积累的诊断经验,分分钟被人工智能降维打击!

攻克心血管识别,仅仅是阿里人工智能的牛刀小试。

现在,阿里已经分别与浙江大学医学院附属第一医院、第二医院,以及上海交通大学医学院附属新华医院这三家医院开展合作,携手向更强、更高、更便利的AI医疗进军。

可别小看阿里合作的三家医院。在中国兵器排行榜上,它分别位列排行榜的第5,第32和第47位。

医疗行业需要什么,人工智能就解决什么。医生、病人、医院,这是医疗三个重点,马云都要用分工智能技术来破解其痛点:

与浙大一附院合作:开发人工智能医生,主要作为专业医生助手发挥作用,力争十年内将减轻医生一半工作量。

与浙大附二院合作:研制人工智能“虚拟病人”,医护人员可以用这个“虚拟病人”来练手,提高医术。

与上海新华医院合作:利用大数据、云平台、全流程移动支付等,打造“智慧医院”。

阿里人工智能已经在医疗领域搞得风生水起。马云吹过的牛:“让天下没有难做的生意,让天下没有瞧不上病的病人;医院不改变,我们就改变医院”,正在变成现实。

1、在诊断方面:人工智能将担任“诊断专家”,提高诊断准确率,为医生治疗提供决策参考!

以往只能通过医生的肉眼去看X光、CT、超声、MR等影像,才能给患者给出诊断结论,现在人工智能能够更快、更准确地识别医学图像。

比如,除了识别心血管,阿里人工智能还创造了肺结节检测技术:机器自动读取病人CT序列,直接输出检测到的肺结节,进而识别出恶性肿瘤的先兆,打破了国际AI检测肺结节准确度的世界纪录。

换句话说,人工智能可以准确地检测医生看不到的所有细节,分析出图像中的疾病迹象,降低误诊的风险,从而降低病人死亡的风险。

2、在治疗方面,人工智能将担任“虚拟医生”,协助医生查验处方, 帮助医生提高医术,乃至最终取代医生。

马云正在加快研发人工智能医生和“虚拟病人”。人工智能医生主要作为专业医生助手发挥作用,而人工智能“虚拟病人”则可以为医护人员提供练手的对象,帮助他们提高医术。

可以想象,在不远的将来,我们去医院诊断,一系列流程都将是“自助操作”,只需AI做出判断以后,再找医生核对下是否有误就行了。

医生的主要工作就是定时检查机器是否出问题,以及看患者的身体状况是否出现异常。

3、在医院管理方面,大数据、云平台、全流程移动支付等开始进入医疗领域,正在带来颠覆性的巨变!

现在,全国已有近400家大中型医院纷纷加入马云的“未来医院”,覆盖全国90%省份。我们通过支付宝,就能享受挂号、缴费、查报告,B超取号、手机问医生等全流程服务,没有排队、看病方便,让就诊时间缩短了一半。

这才仅仅是开始。今后,随着移动互联网技术进步,你只要在自己家里摇一摇手机,就可定位到自己家周围最适合自己病情的医院和医疗商场,根据距离远近、医院的好评、差评再来进行选择。

随着第三方支付的成熟,看病可以按照病种付费,并实行“先诊疗后付费”,“先治病再给钱”。比如,现在马云的芝麻信用分650以上的,就免除了所有排队付费环节。也就是说,在医院安心看病,不用支付,回家再说。

随着信用体系的建立,医生的服务质量和水平也将接受病人的评价,点开APP就可以看到医院、诊所、医生的口碑分值,进而让“乱收费”、“乱诊断”等现象烟消云散!

马云说过的那个预言要实现了:我们想干的就是如何让人更健康,如何让人更快乐。借助人工智能、大数据等技术,未来应该是医生越来越闲、医院越来越少、药厂也越来越少,但病人却越来越健康和满意。

华为之后,马云也吹响了技术创新的集结号。这一次,传统医院即将掀起一场自我大洗牌。我们最熟悉的医院将发生巨变!

在我们为马云的智慧医院喝彩时,别忘了一件事:当医生和医学教授都由机器人来代替时,医护人员或将遭遇大量淘汰!从这个意义上讲,智慧医院,其实也就等于无人医院。

先进的信息技术+创新的商业模式,正在让中国发生巨变!水可载舟,也可覆舟,科技也是如此。

我们不需要回避:人工智能很大程度上,就是对人本身的替代。在这一个个智能的背后,不仅代表着产业的重大变革,同时也预示着我们更多的人未来或将无工可打。

我们不需要回避:在越来越多的领域,人工智能正在快速超越人类。这也意味着,大批的翻译、记者、收银员、助理、保安、司机、交易员、客服……都可能在不远的未来,失去自己原来的工作。

请听听任正非的警世危言吧。5月26日,任正非在接受央视专访时,对人工智能这场革命的恐惧性,苦口婆心地进行了提示:

这个世界最终要走向人工智能,未来二三十年,人类一定爆发一场巨大的革命,这个革命的恐怖性,人人都看到了,特别是美国看得最清楚,所以特朗普要打压华为。

如果不重视教育,实际上我们会重返贫穷的。你可以参观一下我们的生产线,20秒钟一部手机从无到有,基本上没有什么人。未来我们几百条上千条的生产线完全是自动化的,如果我们的人的文化素质不够,做工人的机会都不存在。

请记住:从今天起,人工智能+医疗科学不再是科幻小说,不再是阅读理解,不再是新闻标题,不再是试管中荡漾的液体和双螺旋体中孱弱的灵魂,而是实实在在的宿命。

面对人工智能,最可怕的是:时代已经不是那个时代,人还是那个人。即使,我们改变不了科技的进程,但我们可以改变自己,以及我们下一代的知识结构。

有学者分析,面对步步逼近的人工智能,你有三个选择:

1、要么积累财富,成为资本大鳄

2、积累名气,成为独特个体

3、积累知识,成为更高深技术的掌握者

新的时代已经渐行渐近,我们必须要努力与时间赛跑,积极提升自我,才能赶上时代的潮流,赶上人类社会的变化!

加油!!!

另:大量读者还有没养成点赞的习惯,希望大家阅读后顺手点“在看”并转发,以示鼓励!长期坚持原创真的很不容易,多次想放弃。坚持是一种信仰,专注是一种态度。

推荐四个不错的微信公众号:

正商纵横(ID:zszh88)

证商透视(ID:zstszsts)政经瞭望(ID:qtzl3721)

财经要情(ID:caijingyaoqing)

加载中...