新浪财经 股票

文献速递丨新型可丽肤激光进行面颈部年轻化治疗:16名女性的临床结果

市场资讯 2024.08.14 21:05

转自:复星医药

背景

二氧化碳(CO2)和掺铒钇石榴石(Er:YAG)激光仍是公认的皮肤光损伤修复金标准,但作为剥脱激光,其同时也伴随着较严重的皮肤损伤及后遗症,并一定程度影响工作和生活。对于想要获得适度改善的同时不想承受剥脱激光副作用的患者来说,非剥脱激光是更理想的选择。不仅可以减少皮肤细小皱纹,改善组织色调和质地,治疗色素病。而且与剥脱激光相比,更温和,几乎无恢复期。

目的

评价新型Pixel Q开关Nd:YAG激光在面、颈年轻化治疗中的安全性和有效性。

方法

选择16名年龄在30至60岁之间的女性,连续接受三次最大能量的新型Q开关Nd:YAG激光治疗(2400mJ/pulse,可丽肤激光,ALma飞顿公司)。8例患者分别治疗面、颈部,所有治疗都使用相同方案。治疗结果由治疗师(TS)、患者(PS)和两位独立盲测专家(E1和E2)进行评估。

结果

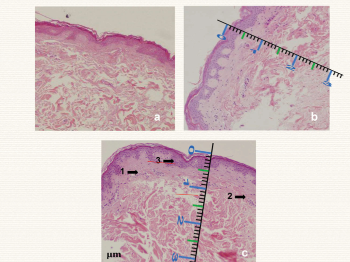
组织切片HE染色观察结果(图1)

(a)250倍放大的皮肤样本,苏木精/伊红染色显示皮肤具有标准构象,具有弹性特征。角蛋白细、层数少、分散性低。表-真皮连接处胶原蛋白稀少,真皮中深层纤维间间隙明显,与皮肤组织年龄有关。

(b)0Tip和+2Tip治疗后的即刻观察。图中标注了激光作用深度。在真皮层中观察到蛋白质变性,其深度在150至180μm之间,但不影响纤维间间隙。中、深层可见角化层和正常形态的表皮,基膜完好无损。(c)1个月后,可见波浪状表皮,有明显的乳头状突起。角蛋白结构良好。可见宽而致密的胶原带,平行分布于表皮基底层之下。

描述性数据结果

16名患者完成了研究,按预定日期完成所有治疗,没有发生意外或中途退出。面部治疗的患者年龄在36和54岁之间,皮肤类型为II, III, IV,皮肤老化程度为轻中度(表1)。颈部治疗的患者年龄在39和57年之间,皮肤类型为II, III, IV,轻、中、重度皮肤松弛、皱纹(表2)。

表1:样案例的描述性数据和对面部结果评估。

E1:根据评估者1得出的皮肤老化迹象总体减少的百分比。E2:根据评估者2得出的皮肤老化迹象整体减少的百分比。TS:治疗师对所获得结果的满意程度。PS:患者对所获得结果的满意程度。

表2:颈部结果的描述性数据。

E1:根据评估者1得出的松弛表现总体减少的百分比。E2:根据评估者2得出的皮肤衰老表现总体减少的百分比。TS:治疗师对所获得结果的满意程度。PS:患者对所获得结果的满意程度。

治疗前后观察评估

根据评价者的联合分析,面部(日光损伤和皮肤老化)和颈部(松弛和皱纹的出现)中位数分别为30%(30%至40%)和30%(30%至50%)。患者和治疗师对面部(日光损伤和皮肤老化)治疗结果的满意度中位数分别为10.0(8.0~10.0)和9.0(8.0~10.0)。而对于颈部松弛和明显的皱纹,患者和治疗师对治疗结果的满意度中位数分别为8.5(7.0至10.0)和8.5(8.0至10.0)。图2和3显示了面部的结果,图4和5显示了颈部的结果。

图2:46岁女性,II型。(a)治疗前。(b)第三次治疗后1个月。(a)眼皮上可以看到细纹和松弛的皮肤。(b)睑松弛改善,睑上弓美观恢复,细纹和小皱纹减少。面部皮肤整体年轻化。

图3:54岁女性,IV型。(a)治疗前。(b)第三次治疗后1个月。(a)眼周色素沉着,口周面颊滤泡病变。(b)眼周色素沉着消退,滤泡病变明显改善。整体肤色变亮,更均匀,外观更年轻化。

图4:38岁女性,IV型。(a)治疗前。(b)第三次治疗后1个月。(a)脖子下部轮廓有明显的松弛迹象,双下巴。(b)松弛明显改善,下面部轮廓得到很好矫正。

图5:57岁女性,IV型。(a1, a2)治疗前。(b1, b2)第三次治疗1个月后,(a1, a2)颈部松弛,有非常明显的褶皱和深纹路。(b1, b2)深纹路,特别是颈横纹改善,皮肤变得更紧绷。

不良反应和并发症

在治疗期间和术后立即,大多数患者反馈治疗区域有轻度不适,刺痛或热感,在0-10的范围内,面部的平均值为1.4分(范围:0至3),颈部的平均值为1.7分(范围:0至2)。随访期间未见任何并发症。除了治疗部位的红斑外,未出现不良反应。所有病例的面部和颈部均出现红斑,持续数小时。2例颈部患者和1例面部患者在治疗后1天出现轻度红斑。所有病例治疗结束后均恢复正常工作,无休工期。

讨论

虽然可丽肤激光脉宽为纳秒,但基于Pixel像束技术,激光能量分布在数个微小光束中,这些微光束仍然携带高能量,并聚焦于真皮层,通过“空泡效应”在组织中形成微小损伤,诱发组织修复,形成新的胶原蛋白。Pixel像束技术使得单位面积的能量密度不会造成表皮损伤,同时实现临床治疗。

结论

使用“可丽肤”激光的对于面部和颈部的年轻化的评估程序结果是安全有效的。GAIS量表的总体改善百分比约为30%至40%,不需要恢复时间,副作用最小,可立即恢复正常的日常生活和工作活动。

加载中...