新浪财经 股票

【小优细节君】Bax/Bcl-2经典凋亡相关蛋白的故事

市场资讯 2024.06.28 12:01

转自:优宁维抗体专家

无细节,不实验

Bax和Bcl-2蛋白作为关键调节因子在凋亡信号通路中具有重要作用,相信很多小伙伴都不陌生了,那么,今天小优细节君就和大家一起来分享一下这两个蛋白在WB检测时的注意事项以及结果如何分析。

在此之前我们先了解下这两个蛋白的背景,Bax和Bcl-2蛋白属于Bcl-2家族,通过调节线粒体膜通透性来决定是否启动凋亡过程[1]。Bax是一个促凋亡蛋白,其作用主要通过增加线粒体膜的通透性,释放细胞内的细胞色素C等凋亡相关因子到细胞质中,从而启动凋亡程序[2]。相对地,Bcl-2则属于抑制凋亡的蛋白,其主要功能是通过抑制Bax等促凋亡因子的活性来保护细胞免受凋亡的影响[3]。我们在分析凋亡的时候,除了Bax/Bcl-2这两个关键蛋白,最好是结合凋亡通路上的其他蛋白,例如Caspase-3,或者凋亡功能和形态实验(核染色、线粒体膜电位、Annexin V流式检测等),来确定凋亡的发生和进展。

Bcl-2蛋白可以通过与Bax蛋白形成二聚体以及自身二聚,在细胞凋亡的调控中发挥重要作用[4]:当Bcl-2蛋白被抑制时,它与Bax形成的二聚体减少,从而导致细胞的凋亡;当Bcl-2蛋白过度表达时,它与Bax形成的异二聚体增多,细胞凋亡被抑制。Bcl-2和Bax蛋白在细胞死亡信号检查点之间的平衡,决定了细胞的生存或凋亡。

接下来让我们来看看,对于Bax和Bcl-2这两个蛋白我们在做WB时需要注意哪些细节以及得到的结果该如何分析。

01

样本表达情况

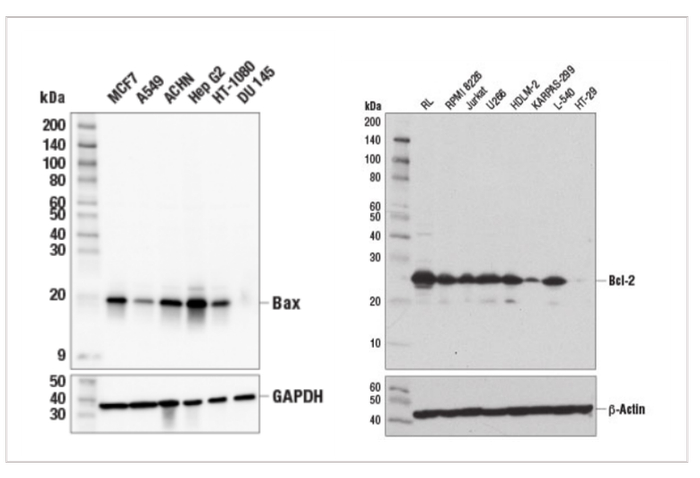
Bax和Bcl-2蛋白在大部分正常细胞中都有表达,但表达有高低之分,有些细胞或者组织甚至没有表达,所以我们在做这两个蛋白时可以通过查阅抗体官网或者数据库如Human Protein Altas、BioGPS和Depmap等查看样本表达的高低。如下图CST官网显示,在DU145细胞中未检测出Bax蛋白表达,在HT-29细胞中Bcl-2条带很弱,几乎看不见。若不确定样本表达量,增加阳性对照是一个好的办法。

02

WB实验细节

由于Bax(20KDa)和Bcl-2(26KDa)蛋白分子量较小,所以在电泳和转膜时我们需要注意一些细节:

(1) 电泳:建议选择15%的分离胶,电泳时,浓缩胶推荐30mA,分离胶推荐45mA,溴酚蓝不必跑的太靠下(跑到凝胶中部往下即可)。

(2) 转膜:使用0.22um孔径的膜,转膜条件建议为恒压70V(200~250mA)转膜40-50min(可以和内参一起进行转膜)。注意冰浴以及转膜时间不宜过久,过久容易导致小分子转过和胶的变形。建议整膜孵育或者至少预留3-5个Maker裁膜。

03

WB结果分析

(1) Bax和Bcl-2是相互对立的一对靶点,当两者条带趋势不一致时,我们可以通过其与内参的比值来判断,当Bax水平的升高和Bcl-2的降低表明细胞可能发生了凋亡;

(2)若结果显示Bax与Bcl-2的蛋白表达变化一致时,如图4,也不必苦恼结果无法分析,因为某些细胞因子或细胞应激信号会导致同时上调或下调这两种蛋白质的表达水平。或者在某些类型的组织或细胞中,Bcl-2和Bax的表达会以相似的方式受到调控,可能与特定的凋亡调节需求有关。我们可以通过计算Bcl-2/Bax的比值来进行组间比较,比值越大,说明抗凋亡能力增强。

(3) 如果Bcl-2/Bax的比值没有明显变化,则可能实验设计的模型和药物作用的靶点不在Bax和Bcl-2上。可以尝试其它凋亡信号通路。

部分相关产品:

参考文献:

[1] Renault TT, Dejean LM, Manon S. A brewing understanding of the regulation of Bax function by Bcl-xL and Bcl-2. Mech Ageing Dev. 2017 Jan;161(Pt B):201-210.

[2] Spitz AZ, Gavathiotis E. Physiological and pharmacological modulation of BAX. Trends Pharmacol Sci. 2022 Mar;43(3):206-220.

[3] Hafezi S, Rahmani M. Targeting BCL-2 in Cancer: Advances, Challenges, and Perspectives. Cancers (Basel). 2021 Mar 14;13(6):1292.

[4] Cory S, Adams JM. Killing cancer cells by flipping the Bcl-2/Bax switch. Cancer Cell. 2005 Jul;8(1):5-6.

[5] Xiao D, Zhang L. Upregulation of Bax and Bcl-2 following prenatal cocaine exposure induces apoptosis in fetal rat brain. Int J Med Sci. 2008;5(6):295-302.

[6] Alam M, Alam S, Shamsi A, Adnan M, et al. Bax/Bcl-2 Cascade Is Regulated by the EGFR Pathway: Therapeutic Targeting of Non-Small Cell Lung Cancer. Front Oncol. 2022 Mar 25;12:869672.

加载中...