新浪财经 股票

活心丸(浓缩丸)治疗病例之93—微血管性心绞痛女性患者

市场资讯 2024.01.23 20:07

转自:悦康药业YOUCARE

本文仅供医学药学专业人士阅读

供稿人:河南省鹤壁市人民医院 康医生

联系人:市场部 周灵智 王潇

患者基本信息

患者姓名:刘某性别:年龄:52岁

职业:瑜伽教练 婚否:已婚

住址河南省鹤壁市

入院时间:2023年4月20日

出院时间:2023年4月25日

主诉

间断胸骨后疼痛1年,再发4天。

现病史

1年前劳累时出现胸骨后疼痛,呈闷压感,数分钟缓解,按胃病口服奥美拉唑、吗丁啉等药物。间断治疗3月,症状改善不明显,停用。半年前在我院门诊就诊,考虑心绞痛。当时患者拒绝住院,遂给予阿司匹林肠溶片、瑞舒伐他汀钙片、单硝酸异山梨酯片、比索洛尔片等药物治疗,效果仍欠佳,平均每月发作3-4次。4天前胸痛再发,性质及部位同前,为求系统诊治,门诊以“胸痛待查”收入我院。

既往史

既往体健,否认高血压、糖尿病等病史。

过敏史

无特殊。

个人史

无烟酒不良嗜好。

入院检查

体格检查:

T 36.2°CR 18/分,P 67/分,BP 133/75mmHg一般状态良好,发育正常,口唇无发绀,浅表淋巴结不大,颈软,无颈静脉怒张。肺部听诊呼吸音粗,两肺未及明显干湿性啰音。心前区无隆起,心前区未触及震颤,心界无扩大,各瓣膜听诊区未闻及明显病理性杂音,HR 67/分,律齐。腹软,无压痛及反跳痛及腹肌紧张,肝脾肋下未触及,胆囊未触及,Murphy征阴性,移动性浊音阴性。脊柱及四肢无畸形,活动自如。双下肢无水肿。生理反射存在,病理反射未引出。

实验室检查(2023年4月20日):

血常规:未见明显异常。

血生化:肝功:总蛋白58.8g/L ↓,球蛋白18.2g/L ↓;血糖血脂:未见明显异常;电解质:总钙2.09mmol/L↓。心肌酶:未见明显异常。

辅助检查:

电图2023年4月20日)示:心电图提示窦性心律,大致正常心电图。

心脏彩超(2023年4月22日)示:心脏结构及功能未见明显异常,EF:56%。

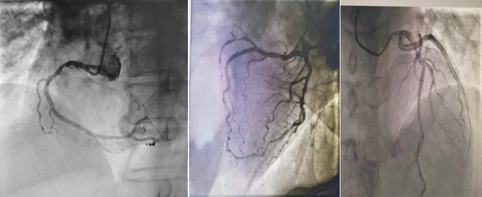
冠脉造影(2023年4月24日):LM、LAD、LCX均未见明显狭窄,RCA中远段30%狭窄。

诊断

西医诊断依据

1、病史:患者绝经期女性,因“间断胸骨后疼痛1年,再发4”入院,患者于1年前劳累时出现胸部不适,表现为胸骨后疼痛,呈闷压感,数分钟缓解。半年前在我院门诊就诊,考虑心绞痛。患者4天前胸痛再发,性质及部位同前,为求系统诊治,门诊以“胸痛待查”收入我院。

2、体格检查:心肺腹查体未见明显异常。

3、辅助检查:2023年4月20日心电图提示窦性心律,大致正常心电图;2023年4月22日心脏彩超提示心脏结构及功能未见明显异常;冠脉造影提示LM、LAD、LCX均未见明显狭窄,RCA中远段30%狭窄,排除冠心病。

西医诊断

微血管性心绞痛

诊疗经过

入院后用药方案:

患者入院后,给予阿司匹林肠溶片0.1g qdpo,抗血小板聚集;瑞舒伐他汀钙片10mg qd po,调脂稳斑;单硝酸异山梨酯片40mg qd po,扩张冠脉血管;比索洛尔片2.5mg qd po,降低心率,减轻心肌耗氧量;尼可地尔5mg tid po,改善冠脉微循环。

治疗方案调整:

药物治疗第2天,患者出现明显的恶心干呕等症状,考虑系尼可地尔的药物不良反应,遂停用,改为服用益气活血类中成药悦康®活心丸(浓缩丸)2tid po,患者未再出现不良反应。

出院小结

住院期间,患者未诉胸痛胸闷发作,于2023年4月25日出院。

出院诊断

微血管性心绞痛

出院带药及医嘱

1. 阿司匹林肠溶片0.1g qd2. 瑞舒伐他汀钙片10mg qd3. 单硝酸异山梨酯片40mg qd4. 比索洛尔片2.5mg qd5. 悦康®活心丸(浓缩丸)2丸,tid

复诊情况

经过3个月的积极药物治疗,患者2023年07月20日来我院复诊,自述胸骨后疼痛基本消失,近3月发作2次,精神状态较前明显好转。

血压心率指标(2023年07月20日):HR55-60次/分;BP 120-130/70-80mmHg,血压心率达标。

实验室检查(2023年07月20日

血常规示:血小板正常,淋巴细胞百分比18.5%↓,嗜碱性粒细胞计数0.11×10^9/L↑,嗜碱性粒细胞百分比1.4%↑。

血生化示:甘油三酯3.32mmol/L↑,余指标未见明显异常。

辅助检查

心脏彩超(20230720):心脏结构及功能未见明显异常,较上次未见明显变化,EF60%

讨论

本例患者系绝经期女性,根据其典型心绞痛症状但冠脉造影未见明显异常,诊断为微血管性心绞痛,治疗以改善冠脉微循环为主。鉴于患者初次入院时采用常规抗心绞痛西药治疗后效果欠佳,平均每月发作3-4次,遂本次加用尼可地尔改善微循环,由于患者出现药物不良反应,遂停用尼可地尔,最终选择加用益气活血类中成药悦康®活心丸(浓缩丸)进行治疗。经过3个月的药物治疗,患者患者胸骨后疼痛基本消失,近3月发作2次,精神状态较前明显好转,心脏彩超提示患者心脏结构及功能未见明显异常

冠状动脉微血管性心绞痛是指具有劳力性心绞痛症状、心电图运动试验呈阳性,但冠状动脉造影显示无明显狭窄、冠状动脉血流储备减少等特征的临床综合征,又称“心脏X综合征”[1]。目前西医普遍认为冠状动脉微血管性心绞痛与冠脉微循环功能不全、内皮功能障碍、慢性炎症、雌激素下降、微血管的痉挛等多种因素有关[2]。由于该病发病机制尚未完全阐明、西药作用机制单一,治疗效果往往并不显著。悦康®活心丸(浓缩丸)作为中药复方制剂在多成分、多靶点、多机制治疗心血管疾病方面有着独特的优势,临床研究证实在常规西医治疗基础上加用益气活血中成药悦康®活心丸(浓缩丸)可以取得更好的疗效。杨晖[3]等人的研究证明悦康®活心丸(浓缩丸)能有效改善PCI术后阳虚血瘀型心绞痛患者的临床症状,降低血清炎性因子(hs-CRP、IL-6、IL-1β、TNF-α)水平,改善患者预后。阳成俊[4]等人的研究证实悦康®活心丸(浓缩丸)联合西药可改善急性心肌梗死患者血管内皮功能,调节冠状动脉血液循环,降低心肌血液再灌注损伤,加快心功能恢复。此外,活心丸(浓缩丸)组方中珍珠和补虚药(人参)配伍,有助于改善心肝血虚引起的心烦失眠、心悸不安[5],加上组方药材灵芝也有补气安神,抗焦虑的功效[6],对该微血管性心绞痛绝经期女性患者大有裨益。因此,悦康®活心丸(浓缩丸)不仅能治疗该患者胸闷胸痛症状,还能缓解其紧张、焦虑、烦躁情绪,改善睡眠,提高生活质量。综上,对于临床上微血管性心绞痛患者,推荐使用悦康®活心丸(浓缩丸)

参考文献:

[1]张志澄,冯其茂,王炜.冠状动脉微血管性心绞痛的中医诊疗研究进展[J].内蒙古中医药,2022,41(11):154-155.

[2]郜力奎,焦晓民.微血管性心绞痛的现代最新研究进展[J].实用中医内科杂志, 2022, 36(01): 66-68+126.

[3]杨晖,伍锋,吴宗贵等.活心丸(浓缩丸)治疗阳虚血瘀型经皮冠状动脉介入术后心绞痛的临床研究[J].中西医结合心脑血管病杂志,2023,21(05):775-779.

[4]阳成俊,杨欢.活心丸联合西药治疗对急性心肌梗死患者心功能的影响[J].实用医技杂志,2020,27(10):1360-1362.

[5]林江,韦明婵,莫明月.珍珠的临床应用与配伍规律分析[J].中国中医基础医学杂志,2016,22(12):1691-1693.

[6]史银玥,渠柳,李玲玲等.灵芝补气安神功效对动物焦虑行为影响的实验研究[J].中药药理与临床,2023,39(01):55-61.

加载中...