新浪财经 股票

赞!百色市人民医院首例肘关节骨肿瘤定制假体置换手术获得成功

市场资讯 2023.10.07 17:19

转自:春立在线

近日,百色市人民医院完成了首例肘关节骨肿瘤定制假体置换手术。肘关节骨肿瘤定制假体置换手术需要医生具备精湛技术和丰富经验。医生使用经过策划和设计的定制假体,借助高端外科工具和设备,以确保手术精度高、创伤小、安全性达到最高水平。手术能为肘关节骨肿瘤患者带来更好的生活质量。下面,我们一起来听听专家团队和患者是怎么说的吧

术者说

肘关节骨肿瘤定制假体置换手术是一种旨在缓解关节疼痛和恢复功能的外科手术。它的目的是用人工肘关节替换受损的肘关节。它通常用于治疗肘关节的终末期疾病,如肘关节骨肿瘤、肘关节炎、肘关节创伤性关节炎、肘关节骨性关节炎、肘关节骨折不愈合或畸形愈合、老年人肱骨远端粉碎性骨折、肘关节不稳定和因其他肘关节手术失败的肘关节疾病。与其他人工关节相比,全肘关节置换术在设计和手术技术方面有更高的要求,因为肘关节需要具有屈伸和旋转活动。由于假体的活动和稳定性控制面临着巨大挑战,因此手术医生的操作准确性与熟练度要求非常高。此外,由于肘关节易于导致假体松动、断裂和磨损,对软组织平衡及假体的匹配要求非常精准,因此对假体的选择和放置也需要格外谨慎。虽然手术过程需要高度专业化和技术性,但它对于那些希望恢复肘关节功能并减轻疼痛的患者来说,是非常值得的。做好手术后的康复工作也是非常关键的。术后恢复期需要遵循具体的康复指导和方案,以帮助假体更好的运转,减少术后并发症。

——百色市人民医院 黄承夸

患者说

今年2月份前,我开始感到右上肢肿胀和疼痛,举重物品和手指灵活性受到影响,甚至打字都成了一大难题,严重影响了我的生活质量。在百色市人民医院接受检查后,被诊断出右臂桡骨近端附近有肿瘤。一开始我非常害怕会需要截肢,但是黄主任向我介绍了一种替代治疗方法:全肘关节置换手术。这种手术方法涉及切除受损软骨并用金属关节替换。尽管我这个手术是医院首例手术,但我认为这比起截肢十个更好的选择,也相信黄主任和他的团队,于是同意进行手术。术后,在团队医生的指导下,我逐步进行了康复训练。一个多月后,我去医院复诊,医生说我的肘关节切口愈合得很好,肘关节功能也恢复得不错,这几天我已经可以正常在手机上写字、打字了。我内心真的很激动,很庆幸当初听了黄主任的建议。我特别感谢黄主任和所有的医护人员,让我重新回到了正常生活。

——患者

病情介绍

该病人因为右上肢疼痛伴活动受限于2023年2月26日入院,经查体发现右上肢轻度水肿,右上肢肌力2级(抬手困难)。在进一步检查和诊断后,病理结果证实该病人此次疼痛是因为骨巨细胞瘤及动脉瘤样骨囊肿引起的。经过肿瘤科的会诊意见,建议对该病人进行右前臂截肢术。骨肿瘤科在韦文主任的主持下,进行了科内病例讨论,并根据患者的CT影像学数据使用3D打印技术制造了一个桡骨假体,以保留病人的肘关节活动功能。于2023年4月16日在全麻下进行手术,由黄承夸主任主刀,廖正文、陆春先、李昊三位助手协助,切除了右桡骨骨肿瘤,置换了右肘关节假体,并进行神经血管探查和骨水泥填充术。

这种手术方法可以扩大切除病变部位,避免截肢手术的风险,同时保留了该病人的肘关节活动功能。如果不进行手术切除,肿瘤可能会进一步增大侵犯关节,严重影响病人的关节功能。经过手术治疗,患者假体位置良好,自觉肌力稍有恢复,目前仍在锻炼中。

总的来说,这种治疗方法兼顾了手术切除和肘关节保留,为医学领域提供了新的思路和方法,也能够为更多的患者提供帮助。

——百色市人民医院 李昊

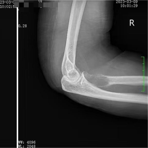
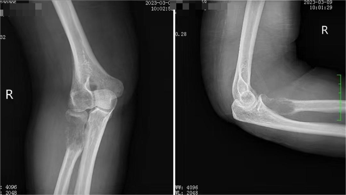
术前影像资料

右尺骨近端团块状异常信号影(—范围约21mm×34mm)

术前假体定制

根据患者CT数据逆向生成骨骼模型

根据患者CT数据逆向生成骨骼模型依据临床医师要求,距病灶远端4mm截骨

假体根据截骨部分进行仿形设计,桡骨关节面为聚乙烯材料,并设置缝合孔,远端设计髓针嵌入剩余骨质,接触面为骨小梁结构,髓针长度50mm,根部直径5mm,末端直径4mm,髓针设计为水泥髓针

术前假体定制

术前假体定制

术前假体定制

手术情况

术后情况

患者表示:在这次手术后,我深刻感受到了医护人员的专业和关爱。现在我的肘关节已经恢复得非常好,创口愈合也超出了我的预期,开始不能动,现在已经可以打字聊天了。我十分感激黄主任和整个团队的努力,让我重新拥有了正常的生活,我也体会到了健康的珍贵和医疗技术的重要性。

肘关节骨肿瘤定制假体置换手术是一种广泛应用于肘关节相关疾病的手术。这种手术被应用于肘关节炎、肘关节创伤性关节炎、肘关节骨性关节炎、肘关节骨折不愈合或畸形愈合、老年人肱骨远端粉碎性骨折、肘关节不稳定和因其他肘关节手术失败的肘关节疾病。这种手术的广泛应用极大增加了脊柱外科骨肿瘤科手术的安全性和可行性,并减少了围手术期并发症。

此外,肘关节骨肿瘤定制假体置换手术还给脊柱外科骨肿瘤科医生带来更大的信心,同时为患者提供更好的预后,全力推动人类生命质量的提高。对于骨肿瘤相关手术来说,肘关节骨肿瘤定制假体置换手术是一种应用广泛而值得肯定的选择。

脊柱外科骨肿瘤科设有病床45张,百色市医学重点学科、广西医疗卫生重点培育学科。科室技术力量雄厚,拥有一批技术过硬的医护人员,有医护人员35人,其中高级职称11人,教授主任医师3人,硕士研究生导师1名,中级职称8人,初级职称16人,中山医科大学、广西医科大学、右江民族医学院硕士研究生共10人,在读博士3名,医护人员曾到过北京、上海、广州、南京等地的著名医院骨科专科进修深造,具有丰富的临床经验和精湛的诊疗技术。

科室拥有天玑骨科手术机器人、德国进口椎间盘镜、椎间孔镜、高速磨砖、美国进口关节镜、德国进口臭氧治疗仪、C形臂X光机、多参数电脑监护仪、下肢关节功能康复仪、瑞士进口EMS冲击波治疗仪等高精设备,开展一系列高难度、高尖端手术,在脊柱外科、微创外科、骨肿瘤以及矫形外科等方面优势明显,许多项目达到国内先进水平,科室开展的手术有:(1)脊柱骨折及截瘫的各种前后入路椎管减压、骨折复位、内固定术;(2)脊髓型颈椎病的手术治疗、颈椎后纵韧带硬化症“单开门”“双开门”手术;3)脊柱肿瘤、结核病灶清除植骨融合内固定重建手术,四肢骨恶性肿瘤的定制3D假体保肢重建手术;(4)运用天玑骨科手术机器人、椎间孔镜、椎间盘镜进行脊柱病变微创手术;(5)各种脊椎后凸、侧弯畸形的矫形、内固定术;(6)天玑骨科手术机器人、大型C臂下经皮颈胸腰椎骨折复位内固定术、椎体压缩性骨折及肿瘤椎体成形术。其中1998年完成全区首例人工全膝关节置换术。

目前有科研在研项目6项,8项科研成果获百色市科技进步一、二等奖,2014、2017年两项获广西医药卫生适宜技术推广奖三等奖,2014年科研项目《改良微创技术在脊柱外科的临床应用》获得广西科技进步二等奖、获得实用新型专利多项。

文:李辽、黄宗鹏韦钦少

编辑:韦诚、覃浩升、韦程正

服务桂滇黔老百姓

提供权威的医学常识

西南医院的新媒体平台

大医广场微信团队倾力打造

右医附属西南医院

百色市人民医院

顾问:陆增辉

主编:李康

编辑:罗明凯、韦钦少、覃浩升、韦诚、覃颖颖、宾珏霞、刘浏兴、韦程正

加载中...