新浪财经 股票

【优选病例】云南楚雄州人民医院定制肘关节病例分享

市场资讯 2023.08.13 18:53

转自:春立在线

患者简介

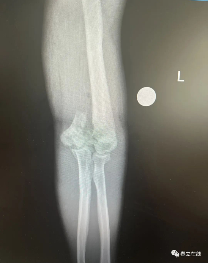
患者马某某,男性,66岁。

【主诉】跌伤致左肘部疼痛,活动受限3小时;

【患者自诉】15日左右不慎从约2米高处跌落,伤及左肘部,当即感患处疼痛、肿胀、活动受限,无昏迷、头疼、恶心、呕吐、无胸闷、心悸、呼吸困难等不适随后急诊至我院就诊。

【行X线检查提示】1、左肱骨下端粉碎性骨折;2、左侧尺骨未见异常。

【初步诊断】1、开放性多发性前臂骨折;2、开放性肱骨骨折。

科室介绍

楚雄州人民医院骨二科成立于2007年12月,位于新区外科大楼13楼,现有医务人员29人。科室主任江长海、护士长马炳姝。医生11人,其中主任医师1人、硕士研究生导师1人,副主任医师5人,主治医师2人,住院医师3人。护理18人,其中副主任护师1人,主管护师11人,护师3人,护士3人。硕士3人,在读全日制骨科学博士1人、在读在职博士1人。开放病床45张,全科实行优质护理及无痛病房、防血栓病房管理。为创伤骨科,承担楚雄州人民医院全部创伤骨科病人收治工作。

为云南省医院管理协会骨外科专业委员会副主任委员单位,云南省慢性创面修复分会副会长单位、楚雄州医学会骨科学分会副主任委单位,手足医学联盟会员单位、糖尿病足专病联盟单位。科研团队承担省、地州级科研项目多项,率先在国际上发表楚雄州骨科领域第一篇SCI论文、第二篇SCI论文,在国际上获得一定反响,被美国、英国、比利时等引用及推荐。科室以科研、技术引领高级创伤骨科高质量发展为理念,有强大的临床、科研、教学实力及底蕴。

【科室特色】

开展创伤骨科各类手术,包括各部位创伤骨折内固定皮肤软组织缺损皮瓣移植修复重建、软组织肿瘤切除修复重建、足踝、畸形矫正等各类诊疗技术。突出发展特殊如下。

【关节周围骨折方向】

   开展骨盆、四肢、关节骨折内固定术,髋、膝、肩、肘、踝、手足等关节置换术,韧带损伤修复重建术,尤其肩锁关节脱位的椎斜肩囊重建修复术获得国际上广泛认可及推荐。2021年在州内率先开展股骨转子间骨折PFBN内固定术。

   【微创骨科方向】

   系统开展锁骨、肱骨、尺桡骨、掌骨、指骨、股骨、髌骨、胫腓骨、跟骨、跖骨骨等四肢多种骨折的闭合复位内固定手术。各类复杂重大复杂骨盆骨折的手术治疗,骨盆通道螺钉等微创手术。

【危重骨科方向】

自2016年开始即按国际指南重点开展老年人髋部骨折MDT团队48小时内急诊手术;深静脉血栓、肺栓塞等患者在滤网保护下手术、胫骨髌上入路等不需要术中伸屈活动肢体的微创手术;肘关节恐怖三联征、Pipkin骨折等手术;多发伤手术;合并重度血小板减少、凝血功能紊乱、甲亢等各种内外科危重疾病的手术。

【疑难顾客方向】

骨发育不良(陶瓷娃等)骨折的治疗;神经沙漏样病手术;复杂手踇外翻、距骨坏死、足踝畸形矫治;假体过敏的诊治等。

    【骨科并发症方向】

接收楚雄州内外各类骨不连、陈旧性骨折、畸形愈合的翻修等手术;创伤后股骨头坏死,开展腓骨瓣移植、髓芯减压等保髋手术;早期创伤性关节炎,开展胫骨高位截骨(HTO)、股骨截骨术等保膝手术;晚期创伤性关节炎,开展髋关节置换、膝关节置换、肘关节置换、肩关节置换、踝关节置换、手足关节成形等多种关节重建手术。2021年在云南省内率先开展踝关节髓内钉融合手术。

【皮瓣外壳修复重建方向】

各类复杂创面的带蒂皮瓣、游离皮瓣修复;软组织肿瘤切除及皮瓣移植修复、淋巴结清扫、免疫治疗等系统化治疗;手指等器官再造;各类烧伤瘢痕的矫治;断肢再植、肢体延长等手术。

【骨科科研方向】

    骨组织的生长发育及调控(国家级);一种新型特制钢针的有限元分析(省级);一种新型特制钢针在髌骨骨折治疗中的临床应用(地州级);排筏外固定架的临床应用(地州级)。

   【研究生教育培养】

招收全日制、再职硕士研究生。骨二科研究生教学组有丰富的资源和平台、手术量、专业实力、科研项目、教学带教水平,培养研究生完成学业。

专家简介

江长海

楚雄州人民医院

·主任医师,楚雄州首批硕士研究生导师(大理大学),楚雄州人民医院骨二科主任,大理医学院兼职副教授,SCI审稿人;

·中华医学会云南分会创伤组学术委员;

·从事临床工作27年,2009年度被医院评为先进工作者;

·1998年到昆明医学院第一附属医院进修学习,2004年到北京积水潭医院系统学习矫形外科;脊柱外科;骨肿瘤病科;小儿骨科;

·能独立完成胸腰椎脊柱外科手术(如脊柱结核病灶清除植骨融合固定术,椎管狭窄椎间盘摘除椎管扩大融合钉棒系统固定术,椎体骨折椎管减压固定术),能熟练进行人工髋关节置换术,人工膝关节置换术。前后路髋臼骨盆骨折手术及各种复杂的四肢关节骨折手术;

·在省级刊物发表文章7篇,参与《骨质疏松症》编写,《AO外固定架治疗开发性骨折》荣获楚雄州科技进步三等奖。

张凤才

楚雄州人民医院

·副主任医师;

·19977月毕业于昆明医学院临床专业,获学士学位。同年8月进入云南省楚雄州人民医院工作至今,一直从事骨科工作;

·2002年到昆明医学院附一院骨科进修学习半年。2012年到昆明市延安医院骨科进修学习半年;

·2017年到昆明市延安医院脊柱外科进修学习3月。多年的工作积累及不断的学习,熟练掌握了骨与关节损伤诊治、脊柱疾病诊治原则及方法。对脊柱脊髓损伤,颈腰椎间盘疾病,腰椎退变性疾病,脊柱结核、感染,肿瘤治疗有丰富的经验;

·发表国家级、省级学术论文7篇,参编专业书籍1部。

赵靖宇

楚雄州人民医院

·副主任医师;

·1998年毕业于昆明医科大学临床医学专业,同年7月至楚雄州人民医院外科工作,1999年聘任为住院医师,2000年取得执业医师资格,2005年聘任为主治医师,2006-2007年在广州南方医院进修学校;

·自毕业以来长期在骨外科领域工作,对骨科常见多发疾病有较强的理论基础,对于诊治腰椎间盘突出症、颈椎病、骨性关节炎、股骨头缺血性坏死、骨科先天性疾病、骨肿瘤、骨及关节结核、骨髓炎及慢性损伤有较好疗效,对于四肢、骨盆、脊柱骨折及手外伤、外周血管、神经损伤的治疗有丰富的临床经验;

·先后于省级及以上杂志共发表9篇专业论文,荣获州级科技进步三等奖1次。

加载中...