新浪财经 股票

信号转导的风暴中心:ERK1/2

市场资讯 2023.08.10 17:43

转自:北京义翘神州

ERK1/2是RAF-MEK-ERK信号通路的关键组成部分,在Thr202、Tyr204位点被磷酸化从而激活,进而激活多种与细胞增殖、分化、迁移和血管生成相关的底物(超过160种)。因此ERK1/2的(Thr202, Tyr204)/(Thr185, Tyr187)磷酸化是ERK激活的关键步骤,也是相关研究中不可或缺的检测指标。ERK1/2宛如“风暴中的风眼”,RAS、RAF、MEK的突变激活均可导致ERK的过度激活,并持续激活ERK下游底物,导致肿瘤发生发展。义翘神州为了助力研究现向大家免费提供磷酸化抗体试用装

01

ERK信号转导机制

ERK有两种亚型:ERK1和ERK2,两者有84%的氨基酸残基相同。ERK1/2具有典型的蛋白激酶结构,通过磷酸化底物对细胞生命活动进行调控。细胞因子、激素、细胞应激等胞外信号通过跨膜受体进入细胞,沿着RAF-MEK-ERK信号通路传递到细胞内。此过程中,ERK1/2是MEK的唯一底物,却可以磷酸化百种下游细胞质和细胞核底物,因此在胞外信号向胞内传递过程中具有重要作用。

如图所示,ERK1/2处于胞外刺激信号传导到胞内风暴的中心,且风暴中心能够进行移动。上游信号经由RAS-RAF-MEK-ERK信号级联依次传递,激活后的ERK从细胞质转移至细胞核,从而激活多种与细胞增殖、分化、迁移和血管生成相关的底物。RAS、RAF、MEK突变激活被发现普遍存在于人类癌症中,这些上游突变均可导致ERK的过度激活,并持续激活ERK下游底物,导致肿瘤细胞的增殖、分化和转移。

图1 ERK1/2在信号转导的中心地位

(源自https://doi.org/10.3390/ijms23031464)

02

ERK1/2临床研究进展

在肿瘤中,RAS-RAF-MEK-ERK通路也如风暴中心一般,外围天翻地覆,内里却愈发平静。在所有肿瘤中RAS基因的突变率高达30%,BRAF的突变率为7-10%,而MEK的突变率不足1%,ERK的突变则极为罕见。肿瘤细胞中ERK的上游频繁突变,导致ERK异常激活,从而增强了肿瘤的生存转移能力,因此ERK也是重要的药物靶点。

根据药融云数据,目前以ERK1/2为靶点的药物临床进展如下图。研究主要集中在肿瘤领域,大多处于药物发现阶段。在药物研究中,进展较快的有靶向多种肿瘤的ulixertinib,以阿尔茨海默病为适应症的NE3107,处于临床三期。

✦义翘神州ERK磷酸化抗体

内源性验证

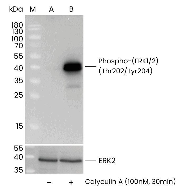
Western blot analysis of extracts from serum-starved Hela, untreated (-) or treated with Calyculin A (100nM, 30 min; +), using Phospho-p44/42 MAPK (Erk1/2) (Thr202, Tyr204) rabbit monoclonal Antibody (upper), or Anti-ERK2 rabbit polyclonal antibody at 1:1000 dilution (lower).

Western blot analysis of 15μg extracts from serum-starved NIH-3T3, untreated (-); treated with PDGFA (5 μg/mL, 5 min; +), using Phospho-ERK1/2 (Thr202, Tyr204) Antibody, Rabbit MAb at 1:1000 dilution.

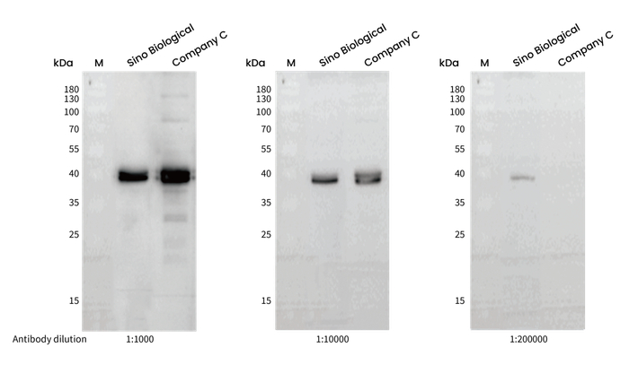
特异性验证

超高稀释度

信号通路

靶点

应用

抗体类型

PI3K/AKT

Phospho-AKT (Ser473)

110591-R0113

WB

Rabbit MAb

Phospho-p70 S6 Kinase 1 (Thr389)

110396-R0001

WB

Rabbit MAb

Phospho-eIF2α (Ser51)

110457-R0011

WB

Rabbit MAb

MAPK/ERK

Phospho-ERK1/2 (Thr202, Tyr204)

110441-R0072

WB

Rabbit MAb

Phospho-p38 MAPK (Thr180, Tyr182)

110435-R0004

WB

Rabbit MAb

相关抗体产品(部分)

分子

应用

抗体类型

100959-T38

ERK1/MAPK3

WB, ICC/IF, IP

Rabbit PAb

10030-T52

ERK2

WB, ELISA, IP

Rabbit PAb

101351-T38

MEK1

WB, ICC/IF, IP

Rabbit PAb

101053-T32

RAF1

WB

Rabbit PAb

相关蛋白产品(部分)

分子

标签

纯度

12259-H07E

KRAS (Q61H)

His

> 90%

12259-H07E1

KRAS

 (G12D & Q61H)

His

> 85%

12259-H07E2

KRAS

 (G12C, Q61H)

His

> 85%

12259-H07E4

KRAS (61Q)

His

> 90%

12259-H07E5

KRAS

His

> 90%

12259-H07E6

KRAS

His

> 95%

12259-H56E-B

KRAS

His & AVI

> 95%

10657-H20B

RAF1

His & GST

> 70%

10678-H09B

MEK2

GST

> 92%

50312-MNCB

MEK1

His

> 85%

10030-H09B

ERK2

GST

> 98%

注:蛋白纯度均为SDS-PAGE检测结果

【参考文献】

1. Boulton, et al. An insulin-stimulated protein kinase similar to yeast kinases involved in cell cycle control. Science, 1990. https://doi.org/10.1126/science.2164259

2. Lavoie, H., Gagnon, J., & Therrien, M. ERK signalling: a master regulator of cell behaviour, life and fate. Nat Rev Mol Cell Biol, 2020. https://doi.org/10.1038/s41580-020-0255-7

3. Reading, C. L., Ahlem, C. N., & Murphy, M. F. NM101 Phase III study of NE3107 in Alzheimer's disease: rationale, design and therapeutic modulation of neuroinflammation and insulin resistance. Neurodegener Dis Manag, 2021. https://doi.org/10.2217/nmt-2021-0022

4. Sigaud, et al. The first-in-class ERK inhibitor ulixertinib shows promising activity in mitogen-activated protein kinase (MAPK)-driven pediatric low-grade glioma models. Neuro Oncol, 2023. https://doi.org/10.1093/neuonc/noac183

5. Ullah, et al. RAF-MEK-ERK pathway in cancer evolution and treatment. Semin Cancer Biol, 2022. https://doi.org/10.1016/j.semcancer.2021.05.010

6. Wen, X., Jiao, L., & Tan, H. MAPK/ERK Pathway as a Central Regulator in Vertebrate Organ Regeneration. Int J Mol Sci, 2022. https://doi.org/10.3390/ijms23031464

加载中...