新浪财经 股票

【优选病例】周口骨科医院—左膝关节活动单髁置换病例分享

市场资讯 2023.08.05 08:30

转自:春立在线

病人信息】王XX ,女,

现病史】患者诉2年前劳累后出现左膝部疼痛,休息后缓解,上下楼梯及下蹲时感左膝疼痛加重。无发热、盗汗、肢体麻木等伴随症状。发病来左膝部负重后反复疼痛,到当地医院就诊,诊断为 “骨质增生”,给予输液、口服止疼药物、患处理疗及等对症治疗,效果一般。近1个月来,左膝部疼痛进一步加重,行走困难,需家属搀扶。今为求进一步治疗由家属陪同前来我院就诊,经门诊医师体格检查及结合辅助检查后以 “左膝关节骨性关节炎。” 为诊断收入我科。自患病以来,神志清,精神可,饮食、睡眠、大小便均正常,体重无减轻。

患有糖尿病2年,间断口服格列齐特片,诉血糖控制尚可。

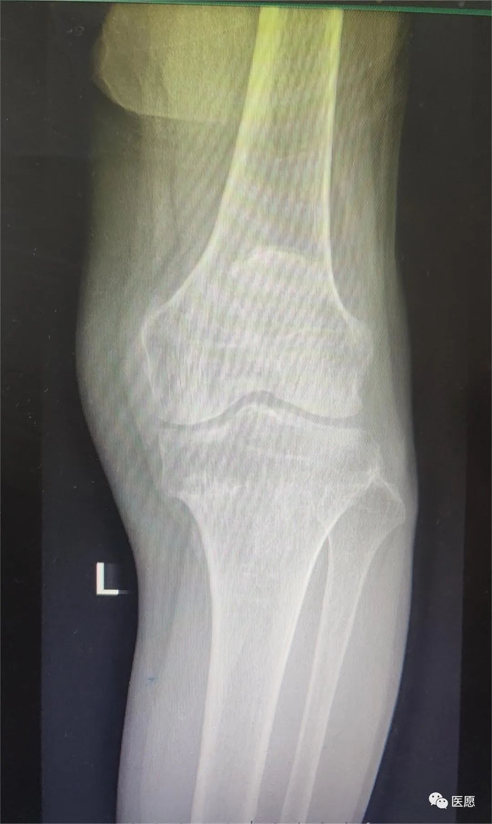
诊断】左膝骨性关节炎。

1

2

术后片

1

2

术中所用产品

春立活动平台单髁

主任简介

赵罡    副院长     副主任医师

周口骨科医院关节中心执行主任;周口市骨科研究所副所长;中国关节外科多中心研究工程临床基地研究员;中国老年保健协会骨关节保护与健康分会委员;中国康复技术转化及发展促进会骨外科学委员;河南省医学会骨科分会骨坏死与关节修复重建学组委员;河南省肿瘤协会青年委员;河南省中西医结合骨科协会常务委员;河南省康复医学会周口骨科分会副主任委员;周口市人工关节置换临床医学研究中心主任

获市科技成果奖3项,在国内外杂志上发表论文10余篇,专著2部,国家专利1项。

主要治疗:髋、膝关节骨性关节炎、膝关节内外翻畸形,风湿、类风湿性关节炎、强直性脊柱炎、股骨头缺血性坏死、髋臼发育不良,老年股骨颈骨折、近关节骨折、慢性骨髓炎、骨肿瘤、颈、腰椎间盘突出症、人工全关节置换(髋、膝、肩等) 、单髁关节置换术、膝髋关节翻修、小切口微创髋膝关节置换,3D打印及导航支持下膝关节置换术,人工关节置换术后的松动及假体周围骨折的治疗,四肢骨关节良性肿瘤手术治疗,股骨头缺血性坏死保肢手术,瘤段切除+特制假体人工关节置换术,高龄患者股骨粗隆间骨折人工关节置换术。多次受邀到英国、法国、韩国、印度等国际知名医院进行手术交流。    

医院简介

周口骨科医院

周口骨科医院创建于2000年,是一所国家三级医院,是河南科技职业大学附属医院、周口骨科医院互联网医院。医院建筑面积8.4万平方米,可开放床位600张,累计服务门急诊患者200多万人次,服务住院患者50多万人次,开展手术20多万台次,其中三四级高难度手术占比85%以上。医院骨科大楼设有脊柱、关节、创伤三大中心,可治疗各类骨科疾病。医院综合大楼设有心血管内科、呼吸内科、内分泌科、肿瘤科、神经外科、普外科、康复科、疼痛科、内镜中心、体检中心等科室,可开展相应专科诊治。周口骨科医院正在进行三期医养结合项目建设,项目总投资3亿元,建成后将增加900张养老床位。医院将一如既往的秉承医者仁心,济世救人理念,以精湛的医术、优质的服务、先进的设备和高度的责任感服务于患者,为全市人民的身体健康保驾护航,为实现健康中国不懈努力。

加载中...