新浪财经 股票

放射性粒子植入,从内而外“引爆”肿瘤

市场资讯 2023.06.29 17:31

转自:和佳医疗

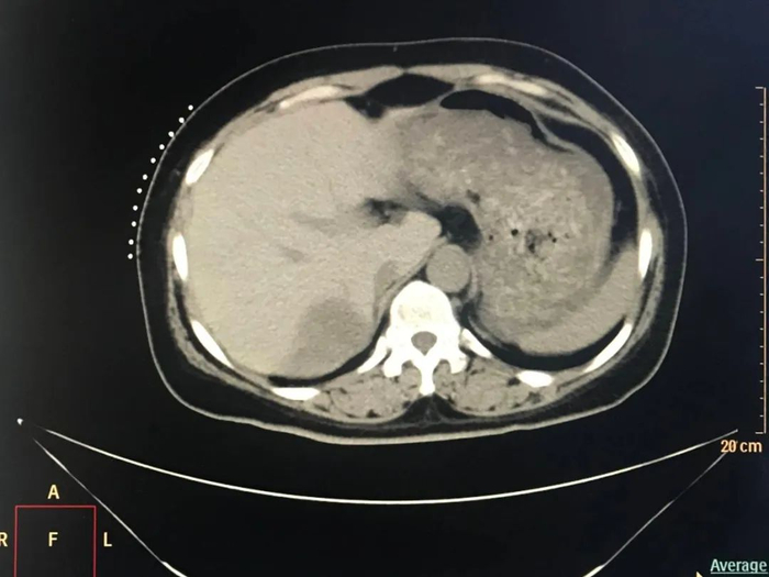
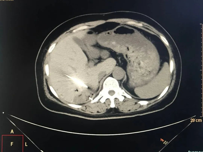
2023年5月,邢台市第九医院肿瘤内科一区团队成功为一名46岁结肠癌术后肝转移的患者进行了放射性粒子植入治疗。

放射性粒子植入,从内而外“引爆”肿瘤

2020年11月,患者因腹痛1个月到邢台市第九医院就诊,完善相关检查后,诊断考虑为结肠癌,接受降结肠癌根治术,病理显示为结肠中分化腺癌,癌组织浸出浆膜层并累及周围脂肪组织(T4a)。患者术后恢复良好,后续接受6个周期XELOX方案化疗。

2021年11月,患者复查腹部CT提示肝右叶转移瘤,进行了超声引导下肝转移瘤穿刺活检及射频消融术,病理结果提示为转移性腺癌,组织来源符合胃肠道组织;免疫组化结果:MLH1(+)、MSH2(+)、MSH6(+)、PMS2局灶(+)、CDX2(+)、CK7(-)、CK20(+)、Her-2(2+)、CK19(+)、Ki-67阳性指数约40%。

1个月后,患者复查肝脏MRI提示肝右叶异常信号,结合病史,考虑为转移瘤射频消融术后遗留问题。2022年5月,患者复查肝脏MRI提示病灶局部较前增大。患者拒绝进一步到上级医院行肿瘤消融治疗,经家属与医生商议,后续采取化疗联合抗血管靶向治疗,期间肝脏MRI检查显示病灶稳定。

2023年4月,患者复查肝脏MRI显示病灶较前(2023年2月)增大。为了进一步控制患者病情,邢台市第九医院肿瘤内科一区团队会诊后,决定对她实施放射性粒子植入治疗。2023年5月,患者接受了CT引导下肝恶性肿瘤放射性粒子植入治疗,术后恢复良好。

放射性粒子植入治疗

放射性粒子植入术属于近程放疗,通常在超声或CT引导下进行,主要将125I粒子由细针直接穿刺至肿瘤并植入内部,通过其放射特性摧毁肿瘤。其优点在于125I粒子的射程较短、局部剂量高,便于把射线控制在肿瘤灶内,从而减少了射线对正常组织的损伤[1]

放射性粒子植入治疗

在转移性肝癌治疗中具有独特作用

肝脏是恶性肿瘤最常见的转移部位之一,近年来,转移性肝癌的发病率呈明显上升趋势,甚至远远超过原发性肝癌[1]。随着技术的发展和应用的普及,微创介入治疗在转移性肝癌的治疗中发挥了越来越重要的作用。

放射性粒子植入治疗凭借125I粒子对肿瘤细胞的持续杀伤作用,有效地控制了肿瘤的进展,且具有创伤小、并发症少、恢复快等优点,已成为肝癌常用的治疗方式之一。除了单独应用外,放射性粒子植入治疗还可联合其他治疗方式发挥出更大的优势。射频消融是肝癌最常用的局部治疗方法之一,放射性粒子植入治疗与其联合,可在肿瘤安全消融病灶范围不足的基础上辅以放射杀伤作用,扩大肿瘤坏死范围,提高肿瘤局部控制率[2]。放射性粒子植入治疗与消融治疗的联合应用,起到了取长补短的效果,能有效地控制残留病灶和改善预后,在转移性肝癌的治疗中发挥了独特的作用。

邢台市第九医院前身是巨鹿县医院,是集医疗、教学、科研、预防保健、养老、康复和急诊急救为一体的国家三级综合医院。肿瘤内科一区成立于2004年,是邢台地区县级医院成立最早的集医疗、教学、科研、肿瘤预防于一体的肿瘤专业科室,开展了化疗、放疗、分子靶向治疗、免疫治疗、内分泌治疗、微创治疗、深部热疗、毫米波治疗等治疗,尤其在晚期患者的姑息治疗、恶性胸腹水治疗及癌痛规范化诊疗等方面积累了丰富的临床经验。

目前科室配备有和佳放射性粒子治疗计划系统、体外高频热疗机、毫米波治疗仪等系列设备,可开展放射性粒子植入治疗、肿瘤消融治疗、热疗、毫米波治疗等肿瘤综合治疗技术,帮助患者减轻痛苦,提高生活质量。

参考文献

[1]郑繁荣,蒋圣军,周翔. 转移性肝癌的微创治疗新进展[J]. 微创医学,2022,17(4):408-414.

[2]吴发宗,纪建松,应希慧等. 射频消融联合放射性125I粒子植入治疗多结节型原发性肝癌疗效分析[J]. 中华医学杂志,2016,96(9):693-696.

加载中...