新浪财经 股票

案例锦集合:十二指肠镜ERCP手术

市场资讯 2023.06.25 11:12

转自:澳华内镜

十二指肠镜是一种侧视镜,属于消化内镜,是进行ERCP手术的重要工具。虽然市面上的十二指肠镜产品不断更新迭代,但是在手术过程中仍面临着诸多困难:如插管困难、焦痂形成、乳头旁憩室切开和结石嵌顿等。

针对上述难题,澳华将产品综合性能进行了全面升级,并携手南京大学医学院附属鼓楼医院的王雷教授广大医师学者提供病例教学分享。希望通过案例分享可以促进医学界新技术的交流和合作,同时提高医师的专业知识和技术水平。

Case 1

十二指肠镜应用

主治医师:王雷教授 南京大学医学院附属鼓楼医院

执行操作:经内窥镜逆行胰胆管造影术(ERCP)

内镜设备:AQ-300/UHD-ED300V

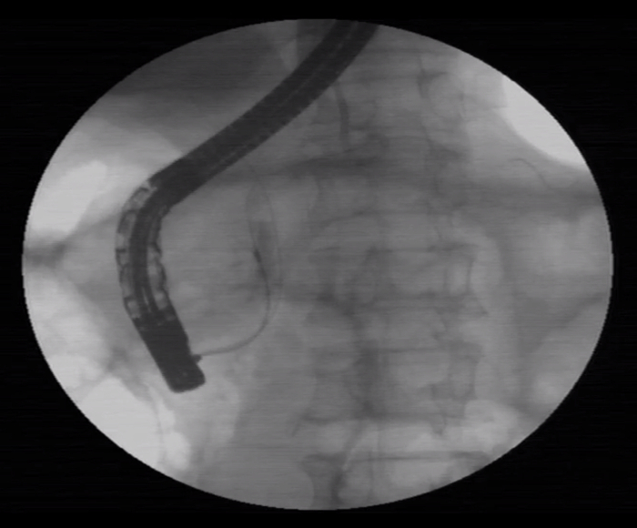
患者男,65岁。于十二指肠内侧找见主乳头,乳头呈鼻型,开口呈绒毛样。胆管狭窄导致反复超选导丝无法进入,后使用一次性粘膜切开刀,沿胆管方向行预切开,再次插管导丝进入胆管,注入少量造影剂,胆管显彰。

患者于三月后更换胆管支架,十二指肠镜应用操作如图所示:

术后,王雷教授表示道,澳华全新一代UHD-ED300V十二指肠镜在4K超高清内镜系统AQ-300的加持下,即使是面对高度复杂的ERCP手术也不在话下。

在高分辨率之下,可为医生提供更加清晰的观察条件,助力辨认十二指肠的异常病变、快速找到十二指肠乳头,利于医者更加精准迅速做出正确决策,为患者提供更安全、有效的治疗体验。

Case 2

慢性胰腺炎胰管结石

主治医师:王雷教授 南京大学医学院附属鼓楼医院

执行操作:经内窥镜逆行胰胆管造影术(ERCP)

内镜设备:AQ-300/UHD-ED300V

患者男,56岁,十二指肠镜提示慢性胰腺炎,CT下显示胰管结石。

CT下可见,结石狭窄处

导丝已插入胰管(右上

由此病例可见,即使是面对高难度的双导丝技术胰管内取石,澳华全新UHD系列十二指肠镜仍然可以凭借良好的操控性能,让医者诊疗时十分得心应手。且在更大的抬钳器角度的匠心设计下,医生可以更轻松、准确地插入耗材,大幅缩短手术时间。

展望未来,澳华内镜将坚持内镜领域的深耕,通过持续性推动内镜技术的创新突破,为中国的消化内镜提供更加精准的诊疗方案。

加载中...