新浪财经 股票

定制专家-挑战股骨下段骨肉瘤精准切除及个体化重建成功!——天津医科大学肿瘤医院

市场资讯 2023.02.17 15:38

转自:春立在线

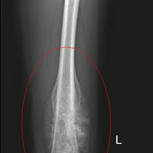
  患者男性,14岁,患者在活动时出现左膝关节疼痛,以为是肌肉扭伤,没有在意,但1个月期间就出现疼痛加重并膝关节活动受限,不能忍受,5月在就近医院就诊后检查发现左股骨下段严重骨破坏并伴软组织肿物,考虑为恶性,这一结果对孩子家长来说无异于晴天霹雳,于天津多家三甲医院就诊咨询后,患者慕名来到了天津市肿瘤医院骨与软组织肿瘤科门诊,找到了杨蕴主任。经检查,肿瘤固定于左股骨下段,四周没有边界,压痛明显,左下肢活动困难,结合影像学检查,考虑为青少年典型骨肉瘤。经过术前新辅助化疗后,患者肿瘤边界清楚,具备保肢手术条件。

术前影像

术前3D建模模拟手术

术中片

杨蕴

天津市肿瘤医院

天津医科大学肿瘤医院骨与软组织肿瘤科软组织肿瘤组主任医师

中国抗癌协会肉瘤专业委员会原副主任委员、软组织肉瘤学组组长

天津市抗癌协会黑色素瘤专委会名誉主任委员从事骨与软组织肿瘤临床工作30余年,主要致力于骨与软组织肿瘤、皮肤肿瘤、骨转移癌的早期诊断及综合治疗。能熟练完成骨软科各种疑难手术,对于恶性骨肿瘤的新辅助化疗,软组织肉瘤及黑色素瘤的辅助化疗,免疫治疗等综合治疗方法有较深的研究。

杨吉龙  

天津市肿瘤医院

教授, 主任医师,博士生导师,天津医科大学肿瘤医院/天津市肿瘤医院骨与软组织肿瘤科行政副主任,临床PI。

兼任天津市抗癌协会黑色素瘤专委会主委、中国抗癌协会青年理事会常务理事、中国抗癌协会肉瘤专委会常委等。曾获天津市131创新型人才、全国卫生系统青年岗位能手等称号。

主要从事骨肿瘤、软组织肉瘤、恶性黑色素瘤以手术治疗为主的综合治疗,精通骨与软组织肿瘤、骶前肿瘤、腹膜后肿瘤、四肢骨盆及脊柱转移癌的手术治疗及综合治疗。 

科研工作专注于肉瘤、恶性黑色素瘤的基因组组学、转化医学及精准治疗。发表SCI论文80余篇,累计影响因子超过400,他引次数超过2000次,单篇他引次数270次。SCI文章H指数25,i10指数36。主持或参与国家级及省部级以上课题13项,主编或参编专著11部,获省部级以上科技奖励4项。培养30余名博士及硕士研究生,多人次获国家奖学金、优秀研究生、优秀毕业研究生等荣誉。

廖智超 

天津市肿瘤医院

肿瘤学博士  副主任医师  

 天津医科大学肿瘤医院骨与软组织肿瘤科

 中国医药教育协会骨与软组织专业委员会委员

 天津市抗癌协会恶性黑色素瘤专业委员会委员

 天津市“131”创新型人才培养团队成员

 从事骨与软组织肿瘤及皮肤肿瘤的外科和综合个体化治疗近二十年,对于骨与软组织恶性肿瘤及恶性黑色素瘤治疗有丰富的经验。

加载中...