警惕“阳康”后遗症!Nature子刊:新冠可导致严重骨质流失
转自:步長制药
香港大学医学院杨伟国教授和陈福佑教授在前瞻性研究发现新冠感染可引起骨吸收细胞的炎症性激活,从而在感染期和康复期导致严重大骨质流失,需要关注的亮点是:一是骨质流失从感染期一直延伸到康复期,到第60天,骨密度仍未恢复!二是骨质流失的部位不是特异的,而是全身性的!
这一重要发现以论文名为 SARS-CoV-2 infection induces inflammatory bone loss in golden Syrian hamsters,2022年5月发表在Nature Communications(影响因子17.59)。
需要指出的是,呼吸系统疾病本身就会影响骨代谢导致骨质流失,本文的研究结果显示,新冠病毒也会导致同样的结果。所以本文作者指出骨量丢失是新冠最被忽视的一个重要的并发症;疫情感染的患者需要长期关注。
这篇文献对我们而言,最重要的信息点是:新冠病毒病毒会使全身性的骨骼组织出现显著的骨量丢失,这需要全社会的关注和重视。
骨的重要组成部分钙,不仅是骨质的主要来源,分布在血液中的钙元素,还有提升免疫力等重要作用,所以骨质疏松的患者不仅需要关注补钙,新冠合并的高血压、糖尿病、心脏病等,钙也有重要的补益作用,也需要关注补钙。
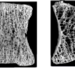
骨质正常到轻度骨质疏松、严重骨质疏松
骨质疏松是什么呢?它是一种慢性疾病,反映的是骨强度降低和相关的骨折风险增加。作为慢性疾病,骨质疏松需要持续的医疗干预,以减少骨质丢失,骨骼完整性受损和骨折发生的风险。
新冠疫情下骨质疏松治疗不应被停止,每日需服用1000-1200mg钙剂
中华医学会内分泌学会在《新型冠状病毒肺炎疫情下骨质疏松症管理专家建议》指出,新冠患者的骨量丢失在短期内达到8.6%,大于正常年龄的骨量丢失,医院可观测的确诊已超过两倍。真实世界的结果和港大的前瞻性研究类似。
指南同时也指出骨质疏松的治疗应该维持最短3个月,最长则可以达到2年,骨密度的变化作为疗程改变的依据。一定要按时服用药物。指南原文也提及可从非处方途径(OTC)摄入每日钙剂1000-1200mg。(见图五,红框圈处)
新型冠状病毒肺炎疫情下骨质疏松症管理专家建议原文
而中华医学会骨科学会骨质疏松学组在《2021年骨质疏松性骨折干预药物依据》中指出,为预防骨折的发生,钙剂作为骨质疏松的基础用药需要贯穿整个治疗过程,而且不能因为其他的疾病包括新冠的治疗停止补钙治疗。
骨质疏松骨折干预药物依据作用机制
碳酸钙咀嚼片
我们都知道新冠病毒会让正常人出现骨量丢失,骨量丢失又会带来骨质疏松,指南已经指出选择一款非处方途径的钙剂进行补充是十分必要,如何选择钙剂呢?目前otc领域的钙剂含钙量最高的,吸收率最好的是碳酸钙,数据来源Sheikh M S等发表在1987年的新英格兰医学杂志的文献Gastrointestinal absorption of calcium from milk and calcium salts。有鉴于此1992年的美国药典药物情报(USPID)也是首推补钙选碳酸钙。1995年的中国药典也是延续了这一推荐。
选择一款上市品牌的碳酸钙,则可确保高工艺和口感。另外,相比普通的碳酸钙片,碳酸钙咀嚼片的生物利用度高,且便秘的发生率低于普通片。咀嚼片是指在口腔中咀嚼或吮服,使药物溶化后吞服的片剂。因咀嚼片药物溶出迅速、吸收快、生物利用度高、服用方便等优点,更适合老年人、儿童、胃肠功能差等人群服用。
温馨提醒:多到户外晒太阳,促进钙的吸收和合成,多喝温热开水,多吃绿色蔬菜和水果。
请仔细阅读说明书并按说明使用或在药师指导下购买和使用
下列各项,属于《日华子本草》对黄芪描述的是()
A.“性虽温补,能通调经脉,流行经络”
B.“逐恶血、瘀血、月闭、破血瘕积聚”
C.“助气壮筋骨,长肉补血”
D.“破瘀蓄、通血脉、解结气、逐疼痛”