财经 股票

APP下载
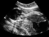
世界首例干细胞疗法可安全治疗胎儿脊柱裂
乔路铭IPO未上市先受罚,东方证券保代参与的3个项目,后来都出了信披“事故”

五年来首次营收下降 昊海生科左右为难

原料涨价“吞掉”利润 一致魔芋增收不增利

本周复盘:中东冲突引市场躁动,事件驱动投资宜慎行
又生变!造车新势力,最新销量出炉!比亚迪,跌破重要关口

中信金融资产非执行董事赵江平、袁欣辞任

摩根资产管理点评美以袭击伊朗:保持投资仓位对长期投资而言或仍至关重要

3月A股投资策略来了!资源、能源等板块关注度提升

新华社评美以打击:当炸弹落在校园,文明底线何在
3月1日增减持汇总:华安证券等2股增持 新赛股份等3股减持(表)
7天5板、3天2板!股价持续大涨,上市钨企纷纷提示风险!
苏炳添在《细胞》子刊发文
国泰海通:稳定是如今中国股市的底色
视频|李大霄:下周一前瞻预测
美国经济:就业与人工智能的严峻现实
001896,七连板!最新公告→
中国平安到底投资了哪些好项目、大项目,才有这么好的分红率!
千亿“酒旅茅台”:一年净赚334亿,毛利率超80%
老铺黄金开年涨价20%,上海门店再现排队抢购潮
加载中