教你几招营销读心术
新浪财经
文/新浪财经专栏作家 林宸
《非诚勿扰》里女嘉宾对出身贫寒的男嘉宾连声夸赞,然后齐刷刷灭灯,同理,企业问卷调查结果也和顾客实际行为差别甚大。传统的研究手段越来越难获取真实的顾客信息。美国最新的大脑扫描和眼球跟踪技术,让营销者可以像大话西游里的紫霞仙子一样,钻进顾客心里一探究竟。
有多少次营销者恨不得像《大话西游》里紫霞仙子一样,钻进顾客心脏里看看他到底在想什么?
《非诚勿扰》有个段子:女嘉宾被出身贫寒的励志男嘉宾感动得泪水涟涟,连声夸赞,然后齐刷刷灭灯,“十动然拒”。
都说女孩的心思男孩你别猜,猜也猜不出,其实企业问卷调查的遭遇和这差不多。问出来的答案和顾客实际想法行为总是千差万别。
我的一位女朋友就差点儿把房产中介逼疯:她可以对一套完美的公寓挑出无数“结构问题”,却永远不可能告诉中介和老公说她不想离婆婆住得太近。再比如我和我妈逛街时,小贩们也知道她指责衣服难看料子太差,不过是女人讲价的小把戏!至于最后的大规模杀伤性武器例子——男性朋友们,如果你问你女朋友想吃什么,她回答随便,然后你真随便了,结果会怎样?
难怪著名的太阳马戏团(Cirquedu Soleil)营销高级副总裁Mario D’Amico感叹道:“你怎么能指望人们告诉你他在想什么呢?如果我们问顾客他们想要什么,我们马戏团就得天天跳天鹅湖了!”
由于社会规范、文化压力、个人隐私、框架效应等原因,传统的营销研究调查手段越来越难获取真实的顾客态度信息,使得市场营销工作的开展常常效果不佳,事与愿违。有多少次营销者恨不得像《大话西游》里紫霞仙子一样,钻进顾客心脏里看看他到底在想什么?
现在,这个幻想正在变成现实——美国最新的大脑扫描(Brain Scan)、眼球跟踪 (Eye Tracking)技术和已被广泛应用的联合分析法(ConjointAnalysis),让我们可以通过认知神经学、实验工程学和统计分析学的科学“水晶球”,来探知消费者的真实心理活动,进而优化营销策略。
大脑扫描直通潜意识
我在教品牌课时最喜欢做的,就是将可口可乐和百事可乐瓶子去掉品牌标签,仿照《中国好声音》,让学生们“盲测”哪个更好喝。结果和市场营销机构多年测出来的一样:当没有品牌标识时,更多的消费者认为百事可乐好喝。可是当有品牌标识时,更多地消费者认为可口可乐好喝。
现实生活中可口可乐销量也更好。这是为什么呢?有人可能说是品牌效应。那么品牌效应是怎样影响味觉和大脑判断的呢?这里先卖个小关子。
前一阵大热的美剧《Lie to Me》(《别对我说谎》),让大家个个变身大侦探,研究起了微表情。测谎要有测谎仪,读心则要有读心仪——功能磁共振成像(fMRI),它就像一个颅内照相机,可随时扫描大脑活动,直接将大脑中的认知信息译码成图像。
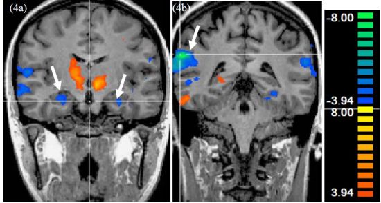
我们都知道大脑不同的区域对应着不同的功能。消费者在情感、决策等活动中,不同区域的脑电波信号会有所不同。譬如当我们很想拥有某件奢侈品时,大脑前额叶的第10视觉投射区将表现出兴奋,而这一区域通常与人们的自我认知和社会定位联系紧密。大脑扫描可以准确捕获到这种区别(如图)。
(图片来源:市场营销研究期刊Journal of Marketing Research 2009年2月刊)
回到百事可乐的例子,大脑扫描实验发现,当品尝无品牌标识的可乐时,百事可乐引发了与瞬间“奖励中枢”相关的大脑区域更强烈的刺激,让我们认为百事可乐比可口可乐更好喝;但是,当品尝有标识的可乐时,可口可乐与长期“记忆思考”有关的大脑区域有更为强烈的活动。这或许说明,品牌是通过记忆认知影响消费者选择,强大的品牌能让我们忽视自己的味蕾。
换而言之,如果营销者了解到产品刺激大脑皮层活动的机制,那或许未来就可以像电影《盗梦空间》一样,窃取植入消费者的潜意识信息。这听上去有点儿吓人,但是神奇的大脑扫描的确帮我们测量营销有关的反应,指导我们作出怎样推销商品的决定,并可用以更准确地了解和分析消费者的偏好。
目前它的成本也已从每小时1000美元扫描仪使用费,降到了约100美元的头盔式脑扫描耳机,比起了解消费者所能帮助企业获得的优势已是划算。难怪大脑扫描被美国尼尔森市场调查公司确认为未来广告与市场研究的主要手段之一。
眼球追踪窥视心理活动
“眼睛是心灵的窗口。”这话在实验心理学上同样适用。通过追踪眼球的运动可以一窥消费者的心理活动。获取眼球运动信息的设备可以是红外设备、图像采集设备,甚至一般电脑或手机上的摄像头。这意味着眼球追踪的应用成本更低,空间更广,营销也会由此真正进入“抓人眼球”的时代。
在日常生活中,眼球追踪技术最热门的载体是手机和电脑。比如,三星Galaxy S3 S4手机就可以通过检测用户眼睛状态来控制锁屏时间或者控制页面上下滚动,只要检测到用户正盯着手机屏幕,即使用户没有进行任何操作,屏幕也不会关闭。
而最炫的概念,则是今年8月谷歌宣布注册“按每次注视付费”(Pay-Per-Gaze)广告技术专利,打破传统的“按每次点击收费”(Pay-Per-Click)。该技术将利用谷歌眼镜之类的眼球传感器来鉴定消费者有没有在看以及如何在看网络上、电视上、户外广告牌、纸媒和其它传统媒体的广告。
今年8月谷歌宣布注册“按每次注视付费”广告技术专利,打破传统的“按每次点击收费”。
谷歌的理念在于,测量人们盯着广告的时长,以及根据瞳孔扩张情况判断他们对广告的情绪反应。比如说,谷歌发现搜索用户习惯符合常见的F型分布(如图)。所以,在网页设计时,媒体就应注意把最关键的信息放在F型区域里。而无论在网站上还是在超市里,你可能会发现有些顾客的眼球是按价格标签移动,有些眼球是按品牌名称移动,有些眼球是按产品性能移动。那么,下一步在猜测顾客决策标准,调整货架摆放,提供个性化服务上,营销人员就可以做到知己知彼,有备而来。
联合分析
回到本文开始时男生为女朋友挑餐馆的问题。爱玩侦探杀人游戏的你们或许知道,问一个问题得到的信息不足以形成判断,但是如果你问一连串问题研究次序选择,那么就可以分析出逻辑的流程。
现在让我们开始游戏。比如说,假设我们挑餐馆的决策因素包括装修情调,食物质量和最终价格,假设每样因素都有两个等级(灯光为烛光小资或明亮大众,食物好吃或者不好吃,价格为100元或200元),那么我们共有8种餐馆选择。现在看一下下面的表格,你的第一选择是什么?
|
餐馆 |
装修情调 |
食物质量 |
价格 |
选择排序 |
|
A |
烛光小资 |
好 |
100元 |
? |
|
B |
烛光小资 |
好 |
200元 |
|
|
C |
烛光小资 |
差 |
100元 |
|
|
D |
烛光小资 |
差 |
200元 |
|
|
E |
明亮大众 |
好 |
100元 |
|
|
F |
明亮大众 |
好 |
200元 |
|
|
G |
明亮大众 |
差 |
100元 |
|
|
H |
明亮大众 |
差 |
200元 |
只要我们不装土豪并且胃口正常,理性告诉我们应选择最物美价廉的餐馆,那么首选当然是A或者E。假设我们先选择餐馆A,然后我告诉你“对不起,餐馆A订不到了。”剩下的七个餐馆你会选哪个?
如果你的选择是B,那通过逻辑我们知道你是真的享受烛光美食,价格对你来说是最不重要的因素;如果你的选择是C,那我们可以推出你需要便宜的有情调的餐馆,食物好不好吃是次要的;如果你的选择是E,那么我们可以猜测你喜欢物美价廉的餐馆,情调灯光无所谓。注意了:如果你的选择是D、F、G、H(即一次变动超过一个因素),那么只能证明你逻辑诡异,营销研究人员便可以确认此次选择为无效样本,加以剔除筛选。
这个游戏可以一直做下去,譬如假设第二选择B也订不到了,那你的第三选择是什么?如果你的回答是C, 那我们可以推断你是真正的小资,宁可继续牺牲食物质量也要保证最重要的烛光晚餐。
第一轮我们分析出了对你最不重要的因素,而第二轮我们分析出了对你最重要的因素——烛光。瞧,尽管我们并没有直接问你,嘿,你在选餐馆中最注重什么?但是通过你的排序选择,我们分析推理出了你的真正偏好。这就是联合分析(Conjoint Analysis,也译为交互分析)。
联合分析始于消费者对产品或服务的总体偏好排序,从消费者对不同属性及其水平(如价格、颜色、款式以及产品的特有功能等)组成的产品的总体评价,可以得到联合分析所需要的信息,推测具有哪些特征的产品最能得到消费者的欢迎。
联合分析在美国已有几十年的广泛应用。在万豪酒店集团旗下的万怡酒店(Courtyard by Marriott),酒店营销人员通过对各项服务项目的联合分析(比如是否需要咖啡机、吹风机、洗衣服务等),推测并定制出最适合客人的房间服务。而对本文开头提到的我女朋友这种顾客,南卡罗琳娜州的一家房地产中介公司选择了不直接问她们喜好,而是在一进门送上一堆图片:A和B房子,你更喜欢哪个?A和C呢?如此反复,不愁拨不清顾客心中的小算盘。
大脑扫描、眼球追踪、联合分析都是科学技术在市场营销实战的应用,最终目的都是为了更好的了解顾客,为顾客创造价值。营销是一门观察人、了解人、打动人的艺术,营销更是一门有严谨机制体系,靠数据事实说话的社会科学。左手是心理的塔罗牌,右手是科学的密钥匙,营销读心术,你学会了吗?