股骨头坏死是否会遗传
PRNEWS.cn中国商业电讯
北京 2011-04-21(中国商业电讯)--股骨头坏死由世界医学界至1888年发现至今,已经由少见病发展为多发病、常见病了。根据医学调查统计发现,如今世界上股骨头坏死患者发病人数多大3000万人。在激素问世并普遍后,在汽车等交通工具日益普及导致的交通事故日益增多后,股骨头坏死的发病率也日趋增高。在计划生育政策的影响下,以及人们思想观念的转变,现在大多数家庭都是一个孩子,作为孩子的家长,都想把人世间最多的爱留给他们,最优越的生活条件提供给他们,让他们在健康的环境下茁壮成长。
前段时间,笔者曾经遇到一个患者,他是由于长时间饮酒而导致的股骨头坏死,在他查出自己患者股骨头坏死时,他的老婆已经怀孕6个多月了,他当时怀疑这病会遗传,害怕自己的孩子也得上股骨头坏死,他非常痛苦,考虑再三和老婆商量要做掉这个孩子。这个决定遭到了家人的极力反对,他岳母决绝地说:“不管将来这个孩子是瘸子还是瘫痪,他都是我的孙子,你们谁都不许伤害他,要不然我死给你们看”。在家人的一致反对下,他们只能顺其自然的生下了这个孩子,现在这个孩子已经11岁,非常健康,是家中的宝贝宠儿。
其实,担心将自己的股骨头坏死疾病遗传给下一代的应该不止这一位患者。让孩子健康快乐的成长是每个家长的心愿,谁也不愿意孩子遗传了自己的疾病,患者的这种心情我们都能理想。那么,股骨头坏死是否会遗传,对下一代是否有影响呢?对此,笔者特地与全国十佳股骨头坏死专科医院——北京北亚骨科医院股骨头坏死专家高奇男主任医师进行了咨询。
据高奇男主任介绍:在临床工作中,常常有患者咨询股骨头坏死是否会遗传的问题。股骨头坏死的病因主要有三点,髋关节及邻近部位外伤,滥用激素,长时间大量饮酒。这些原因看上去与遗传没有任何关系,而临床发现,单纯的股骨头坏死也是不会遗传的,但这并不能说股骨头坏死与遗传无关。某地有四个家族,150个亲属中,有32个患有股骨头坏死,追其原因,发现患者第12对染色体的基因有缺陷,这说明股骨头坏死可能会因为基因缺陷而遗传,而这个几率是非常小的。另外,还有一些有股骨头坏死家族史的人病因不明,既没有地方性疾病,也没有统一类型的原因做依据,因此,对股骨头坏死是否会遗传这个问题的回答,只能说是考虑其有家族遗传倾向。
![]() |
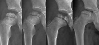
2005.07.04 2005.11.07 2006.10.02 2008.07.28
患者,邵XX,男,江苏宿豫,05年3月(5岁)从高处坠落,4个月后出现右髋疼痛、跛行,当地诊断为股骨头坏死,行股骨头减压术等,无效;06年9月到北亚骨科医院,以股骨头坏死晚期(Ⅱ型)入院,经北亚量子整体医学“三补一活”整体医学治疗,22个月(住院14天)复查,临床治愈,功能恢复正常。
高主任最后强调,如果有一些遗传性血液系统疾病的患者,如血友病、高雪氏病、地中海贫血、镰状细胞性贫血等,因为在治疗过程中会用到激素,患股骨头坏死的可能性比较大,也会显现股骨头坏死家族聚集性,但这是其他遗传疾病间接导致的,与股骨头坏死遗传没有必然联系。为此,股骨头坏死患者家属没有必要过于担心股骨头坏死遗传的问题。
据统计,目前我国股骨头坏死每一年新增的病例高达20万人次,这是一个相当庞大的数字,应该引起我们的深思。在日常生活和工作中,我们应尽量加强自我保护意识,避免长期大量饮酒以及使用激素类药物,为自身健康提供一个良好的环境。对于已经患有股骨头坏死疾病的患者,要做到及早正规系统治疗,坚持科学的康复锻炼,降低疾病致残率,提高生活质量。
