新浪财经 保险

满月脸 水牛背 揪出高血压背后隐藏的“秘密”

新浪财经

关注

12月14日消息,北京市卫生健康委官网公布健康知识《满月脸 水牛背 揪出高血压背后隐藏的“秘密”》。

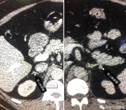
近日,一位中年男性到北京华信医院(清华大学第一附属医院)健康管理中心进行健康体检,测量血压明显升高,医务人员仔细询问后得知男子有高血压病史,平素服用降压药治疗,但降压效果欠佳。尽管患者否认除高血压外的其它病史,但我们观察到患者有“满月脸、水牛背”的体征,是典型的向心性肥胖表现,考虑血压升高背后可能隐藏着“秘密”,其血压升高的原因有可能为继发性,建议做进一步检查以明确诊断。CT结果显示“双侧肾上腺多发结节,考虑腺瘤可能”,化验血液皮质醇水平增高。

高血压是以体循环动脉压升高为主要临床表现的心血管综合症,分为原发性高血压和继发性高血压。约有90%原发性高血压患者需要长期服用降压药进行治疗。继发性高血压又称症状性高血压,是由某些确定的疾病或病因引起的血压升高,如原发性醛固酮增多症、嗜铬细胞瘤、肾血管性高血压、肾素分泌瘤等,一般可通过手术得到根除或改善。

这位患者就是因肾上腺肿瘤导致糖皮质激素(主要是皮质醇)分泌过多所致的高血压,又称“库欣综合征”,有多种类型,包括库欣病、异位ACTH综合症、肾上腺肿瘤等。典型病例表现为向心性肥胖、满月脸、多血质、皮肤紫纹等,重型表现为体重减轻、高血压、水肿、低钾性碱中毒,可并发心力衰竭、病理性骨折、脑卒中、肺部感染等。一般依据临床症状或血液糖皮质激素分泌异常可诊断,治疗上依据不同的病因进行相应治疗,如垂体、肾上腺肿瘤等可经手术治疗,一般病情在数月后逐渐好转。

“体检不是走过场,专业专心护健康”,我院健康管理中心在体检过程中始终坚持和遵循严谨认真的工作标准,不放过任何威胁受检者健康的蛛丝马迹,成功揭开了这位患者高血压背后的秘密,为下一步的对症治疗打下坚实基础。

加载中...