新浪财经 港股

PFO封堵器系统OmniSeal成功完成首例临床应用植入手术

独角兽早知道

关注

近日,健世科技(9877.HK)的全资子公司宁波迪创医疗科技有限公司(“迪创医疗”)自主研发和生产的PFO(patent foramen ovale,卵圆孔未闭)封堵器系统OmniSeal成功完成一例经皮卵圆孔未闭介入封堵术,术后封堵效果良好,无不良事件发生。本次植入手术是OmniSeal的首例临床应用,由宁波大学附属第一医院储慧民教授带领团队完成,并从临床专业角度给予了悉心的指导。

来源 | 健世科技  编辑 | Echo

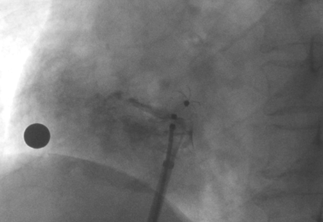
在本次植入手术中,接受介入封堵术的是一名卵圆孔未闭(长隧道型)的患者。患者60岁,男性,7年前曾诊断脑梗死,此次因新发脑梗死入院,无房颤及颈动脉狭窄;经胸心脏超声和心脏声学造影检查提示卵圆孔未闭,Valsalva动作后心房水平大量右向左分流。经储慧民教授团队评估,结合相关病史并考虑PFO及不明原因卒中,遂决定对患者开展经皮PFO封堵术。

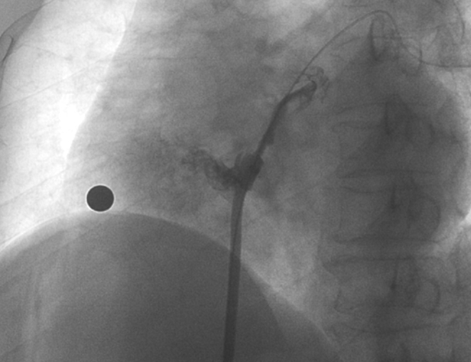
术中造影显示患者为PFO且长隧道型,目前市场上已商业化的PFO封堵器难以满足该患者解剖结构封堵需求。迪创医疗自主研发的OmniSeal PFO封堵器自适应性双盘贴合设计能广泛适应不同PFO隧道长度的解剖结构和形态,其双盘外包覆式阻流和隧道内填充阻流相结合的双重阻流设计,可为此患者实现有效封堵。与此同时,OmniSeal首创的完全可穿刺式设计,也为此患者最大程度地保留了房间隔区域穿刺通道,以实现全兼容未来可能的左心系统二次介入术。术终造影和心脏超声显示封堵完全、效果良好。作为OmniSeal的首例临床应用,本次手术的顺利完成和优异效果充分体现了产品的设计创新优势。

造影显示PFO封堵完全,无残余分流,

试验器械充分舒展并贴合良好

PFO是成年人最为常见的先天性心脏病之一,一般认为在成年人发病率约25%【1-3】。目前普遍认为,PFO是反常性栓塞的病理解剖学基础。越来越多的研究发现,存在PFO的人群发生脑卒中、偏头痛等风险较正常人群呈数倍升高,而脑卒中、偏头痛等人群的PFO发生率也高于一般人群。经皮介入封堵卵圆孔已被相关指南文件推荐用来预防脑卒中事件复发、减轻偏头痛发作等。

迪创医疗自主研发的OmniSeal PFO封堵器系统具有多项创新设计和技术优势,并且对于目前市场商业化产品的多个临床痛点问题,如难以开展左心系统二次微创介入手术、术后新发心房颤动、残余分流、血栓形成等器械相关的限制和并发症等,提供了针对性的解决方案。OmniSeal PFO封堵器系统独创的完全可穿刺式设计,能实现全兼容左心系统二次介入术。其较高的适应性使得产品可以适应不同卵圆孔未闭解剖学结构和形态,并减少对房间隔的刺激, 降低术后心律失常事件。同时,双盘外包覆式阻流和隧道内填充阻流相结合的创新结构在确保有效封堵的情况下,减少残余分流,降低血栓形成。

本次首例临床应用植入手术成功达到预期效果,不仅验证了产品的安全性、有效性和设计创新优势,更标志着OmniSeal PFO封堵器系统产品正式迈入新阶段。此外,这是继迪创医疗自主研发的左心耳封堵器系统SimuLock、房间隔造孔支架系统MicroFlux后,第三款进入到临床阶段的创新产品。健世科技将携子公司持续针对结构性心脏病开发创新的产品,为全球广大的结构性心脏病患者提供完整的解决方案。

介绍

迪创医疗是健世科技的全资子公司,专注于心衰、心源性卒中等结构性心脏病微创介入防护及治疗,坚持自主研发、解决临床痛点,力求开发一系列具有核心自主知识产权的国际创新型医疗器械产品。

参考文献

1. 中华医学会心血管病学分会,中国医师协会心血管内科分会. 卵圆孔未闭预防性封堵术中国专家共识[J]. 中国循环杂志.2017,32(3):209-214.

2. Hoffman JIE, Kaplan S. The incidence of congenital heart disease. J Am Coll Cardiol, 2002, 39: 1890-1900.

3. Hagen PT, Scholz DG, Edwards WD. Incidence and size of patent foramen ovale during the first 10 decades of life: an autopsy study of 965 normal hearts. Mayo Clin Proc, 1984, 59: 17-20.

声明

本文披露内容仅作为学术交流之目的,在任何情况下均不得被视为医疗建议。我司对所有原创、转载、分享的内容的准确性、完整性或时效性不做任何陈述或保证。

文中所涉数据仅供参考,不能视为建议或推荐,以及要约或邀请。本材料以公开信息、内部开发的数据和来自其它具有可信度的第三方的信息为基础。但是,并不保证这些信息的完全可靠。所有的观点和看法基于材料撰写当日的判断,并随时有可能在不予通知的情况下进行调整。

本文提及的任何医疗器械,我司不对其在诊疗活动中的性能、临床表现等做任何承诺及保证。

加载中...