新浪财经 基金

爱牙在行动,如何维护我们的牙齿健康? | 诺亚医学院

诺亚财富

关注

  主讲人 | 范揆(泰康拜博星尔门诊部院长,美学修复医师)

  文字整理 | 任媛(诺亚财富上海区)

以下内容根据范揆演讲整理,有删节:

Part One

牙齿健康篇

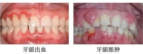
如何避免牙龈出血?

牙龈出血是日常生活中经常遇到的问题。牙龈出血就是牙龈发炎,导致牙龈发炎的原因主要是牙结石。定期口腔检查,定期洁牙,牙龈出血的问题就可以得到有效地避免。如果通过洁牙还不能解决,就需要做一些血液类的检查,是不是全身的血液系统出现了否异常。

牙齿美白是否有副作用?

唇红齿白是从古到今对美人的一个“评判标准”。牙齿对于一个人的外表有着举足轻重的影响,甚至有国外学者称,看一个人的牙齿能够看出TA的家庭背景,生活环境......但是,如何拥有美丽的白牙呢?

牙齿美白主要分为诊室美白与家庭美白两种。诊室美白是通过医生操作冷光,皓齿等专业美白剂达到美白效果。而家庭美白则是通过购买专业美白剂的家庭装,如高露洁美白牙贴等,自行使用以达到美白效果。但网络上的洗牙剂,与便携型冷光美白小仪器等还是需要慎重选择。不合格的产品容易对牙齿及牙龈造成损伤。正规的牙齿美白是不会对牙齿产生副作用的,诊室美白会有一些正常术后反应,如牙齿敏感等。

为什么会掉牙?

8020是世界卫生组织对人类口腔提出的基本要求,意为80岁时口腔内应剩余20颗牙齿。然而在国内能达到8020的人寥寥无几。引发掉牙的原因主要有:龋齿(蛀牙)引发,没有及时补牙、牙周炎导致、外伤撞击、先天性遗传类疾病等。

什么是蛀牙?蛀牙如何形成?

龋病,也称为蛀牙,是一种在细菌感染等因素作用下,导致牙体硬组织进行破坏的疾病。其中5-8岁儿童和老年人尤为多见。由于食物残渣给细菌提供了滋生的环境,细菌在口腔内产生酸性物质,酸性物质会导致牙齿脱矿,最终形成蛀洞。

我们可以通过一个小实验来感受这个过程:把一个鸡蛋泡在醋中,过一段时间,蛋壳表面会产生气泡,最后完全变软。这与牙齿及其相似。

是有细菌就会产生蛀牙吗?当然不是。

龋病的发生需要在细菌、饮食、宿主、时间的共同作用下才能产生。宿主就是口腔中的牙齿。每日吃东西时食物残渣附着在牙缝及牙齿表面,尤其糖性及粘性食物更容易附着在牙齿表面。长时间下,细菌慢慢繁殖,开始产酸,牙齿脱矿。细菌的滋生无法抑制,但是我们可以从其它因素着手,控制龋病的产生。

蛀牙的发展

蛀牙的发展分为三个阶段:浅龋,中龋和深龋。浅龋是牙齿刚刚开始脱矿,产生小的蛀牙,蛀牙局限在牙釉质范围内。如没有及时处理,蛀牙就会变深,最后蛀到牙本质浅层。此时可能会对冷热温度稍微敏感,如还未及时治疗,蛀牙越来越向里发展,最后发展到接近牙神经,甚至到达牙神经。出现牙疼症状。

关于洗牙的误区

牙缝是因为牙结石长期压迫牙龈,使牙龈萎缩而产生。厚厚的结石就像是给牙齿穿了脏棉衣,无法感受到外界的冷热反应。洗牙后就像是刚刚脱下脏棉衣,觉得敏感。适应后就不会再有冷,热,酸的症状了。牙齿松动是牙槽骨吸收导致,但是由于结石塞满了缝隙,则感受不到松动。当把结石清除干净,没有东西依靠,松动就体现了出来。牙结石要及时清除,否则会造成牙齿更严重的松动,甚至脱落。

图:医生是用鹌鹑蛋进行洁牙训练的,洁牙是一项轻柔的操作,不会损伤到牙齿。

Part Two

牙周病篇

根据2005年第三次全国流行病学调查显示,80%-90%的成年人患有不同程度的牙周炎,牙周炎患者高达数亿人。根据2017年第四次全国流行病学调查显示,全国35-44年龄组牙周病患病率为90.9%,其中96.7%的人检测出有牙结石。

图:四大症状提示你有牙周病

图:牙周炎的临床表现

牙周炎的病因

菌斑是牙周炎的必有病因;全身疾病与牙周炎是相辅相成的关系,如糖尿病人在无法很好控制糖尿病时,也无法很好地控制牙周病;生活习惯;遗传因素,如果父母的牙齿过早缺失,孩子也极有可能遗传到父母牙周病的易感基因。

图:牙周病的发展过程

从轻到重。初期牙齿上慢慢形成牙结石,牙结石越结越多,导致牙龈发炎,牙龈发炎后退缩,而牙结石则进入牙龈以下更深的位置,使牙槽骨吸收,最后牙齿松动。

与牙周病密切相关的疾病

2019年1月23日,加州大学旧金山分校的StephenDominy博士领导的团队发现,引起牙周炎的细菌——牙龈卟啉单胞菌,同样会引发阿尔孜海默症。病原体感染正能是导致AD的真正元凶!

相关论文发表在《Science Advance》上,由美国马萨诸塞州波士顿塔夫茨大学医学院公共卫生和社区医学教授Dominquine Michaud领导的研究包括近7500名接受过牙科检查的个人,其中1600人发展成癌症。研究结果显示严重的牙周炎与癌症风险24%的增加有关,肺癌和结肠癌的风险最高。这一发现于2018年1月12日在National Cancer Insyitute上在线发表。

图:牙周病的并发症

是不是只有老年人会得牙周炎?

牙周炎不是老年人的专属疾病,青壮年也会得牙周炎。甚至是口腔卫生保持不好的小孩子也会得牙周炎。

Part Three

智齿篇

什么是智齿?

我们常说的智齿,实际上是第三大臼齿(一般人都有第一和第二大臼齿),俗称智慧齿。四只智慧齿形成始于上下颚骨中,正如其它牙齿一样,但却是最后长出于口腔中的臼齿。智慧齿形成于9岁,而齿冠则于大约14岁形成,并在青春期末长出于口腔中。

为什么要拔掉智齿?

通常,牙医会基于蛀牙、侵犯邻牙、空间不足、清洁不易、没有对咬牙、阻生齿的原因,建议拔掉智齿。

Part Four

牙齿疾病预防篇

如何拥有健康牙齿?

健康的牙齿预防为主,治疗为辅!重预防,轻治疗。

预防秘诀一:刷牙

选择小头,中软毛的牙刷。太软的毛没有办法刷干净牙齿,太硬的毛又会损伤牙龈。选择含氟牙膏可以增强抵抗蛀牙的能力,也可以选择抗敏感牙膏或者防牙龈出血牙膏。每天至少早晚各刷一次牙,午饭后也能刷牙最好不过。健康的牙齿选择圈圈刷牙法,牙周病患者需要选择改良巴氏刷牙法。一定不要横刷。

图:改良巴氏刷牙法

预防秘诀二:少吃坚硬食物

牙齿虽然是人体中最坚硬的组织,但也是人体中使用频率最高的硬组织,经常吃硬的食物容易导致牙齿的崩折和磨耗。比如用牙齿咬大闸蟹,坚果的外壳,甚至是长期嗑瓜子,都会造成牙齿的磨耗。

预防秘诀三:少吃酸的食物

长期进食酸性食物,容易导致牙齿发生酸蚀症。

预防秘诀四:定期检查

定期检查牙齿能够尽快发现牙齿的小问题,及时进行治疗,而且还能得到医生对于牙齿保健的专业指导。建议每半年进行一次口腔常规检查。

预防秘诀五:定期洁牙

牙结石是有大量细菌的矿化物,是我们日常饮食残留牙齿上的残渣及细菌菌斑与唾液中的矿物质经过一段时间的矿化而形成。牙结石不能单纯依靠自己去除干净,刷牙也不能刷掉,只能通过医生使用专业的洁牙机才能清洁干净,也就是我们常说的“洗牙”。

老年人口腔预防重点

老年人要关注自身基础疾病,比如高血压病人无法进行拔牙,洗牙的治疗。改变不良习惯,不要咬硬物,不要横向刷牙,吸烟也严重影响牙齿健康。缺牙及时修复,不及时修复会引发更多牙齿疾病。比如相邻牙齿歪倒,对面牙齿伸长,影响营养摄入,加重肠胃负担。遵从医嘱也及其重要,不要被固有思想束缚。

儿童口腔预防重点

1.建立正确的喂养习惯:

1)母乳的亲喂:母乳不仅仅可以保证孩子营养的摄入,在吮吸动作中孩子的嘴唇,颊侧肌肉,舌头都充分用力,有利于后期口颌系统发展。吮吸运动中只能通过鼻子呼吸,可以培养孩子鼻呼吸的习惯;

2)正确的辅食勺喂:将辅食通过勺子刮在孩子上颚,让其吞咽。训练孩子的抬舌运动。我们也可以通过孩子是否可以用舌头完成将口香糖平铺在上颚的实验,检查他的吞咽运动是否正常;

3)长牙后不可以养成奶瓶哄睡的习惯。奶水中含有大量乳糖,会致使蛀牙。长期维持含奶嘴的动作,还会造成门牙畸形和异常。

2.养成良好的口腔卫生习惯

3.培养定期访问牙医的习惯

定期访问牙医可以增进孩子对医生的亲近感,减少看牙的恐惧。第一次访问牙医的时间应该是幼儿萌出第一颗牙开始或者是1岁以后还没有牙齿萌出的时候。定期访问牙医可以及早发现牙齿的问题,同时获得更多关于口腔保健和预防的知识。

4.形成全面饮食的观念:

1)食物不可过于精细。太精细的食物没有办法使牙床充分咀嚼,也容易附着在牙齿表面,形成蛀牙;

2)水果不必切成小块,经常榨汁更不可取。门牙的作用是啃咬,切割食物。不主动啃咬食物,门牙得不到锻炼会逐渐废用,门牙颌骨的发育会促使下面牙齿萌出的方向都会发生改变;

3)多进食纤维性食物;

4)控制甜食量;

5)适当进食需要用力咀嚼的食物,如老玉米、甘蔗、风干牛肉等。

5.及时纠正不良习惯:

1)萌芽长出后逐渐减少安抚奶嘴使用频率;

2)纠正咬指咬物习惯;

3)纠正张嘴呼吸习惯;如孩子睡觉时张嘴呼吸,需去耳鼻喉科检查呼气通畅度,是否因扁桃体肿大影响气道通畅;

4)纠正咬嘴唇习惯;

5)纠正偏侧咀嚼习惯。

最后,如想通过工具来覆盖高昂的牙齿治疗费用,高端医疗保险可以满足您的需求,具体可以咨询您的专属投资顾问。

加载中...