新浪财经 基金

牙齿美白常见的几种误区,你都中招了吗? | 诺亚品牌联盟

诺亚财富

关注

疫情影响下,很多企业受到影响,在此艰难的时刻,2-4月,诺亚推出“品牌联盟”系列推广栏目,和客户一起,资源共享,免费助力客户企业推广!携手客户一起战“疫”,一起行动!

随着疫情控制渐入佳境,嚯嚯面粉的热情是不是已经转移到自身形象建设上了呢?毕竟复工在即,生活也走上正常轨道,期待摘下口罩那刻都是笑颜如花儿。

更加亮白的牙齿是提升笑容最佳的武器,近90%的人都会有牙齿美白的诉求。

日常生活中,有非常多的诱因影响着我们牙齿的颜色,如日常饮食习惯、口腔卫生习惯、抽烟、药物等等。

而很多朋友可能会有误区,以为洗牙可以美白牙齿。其实日常的洗牙是一种物理方式,将结石和附在牙齿表面的色素去除,但是不能让牙齿变色。牙齿美白是氧化还原原理,通过美白剂释放的活性氧,改变色素的分子结构,分解牙齿表面以及深层的色素,让牙齿没有被染色的洁白重现。牙齿美白不是使用物理的方法,不会改变牙齿结构,所以不会对牙齿造成伤害。这种方法是最保守、最安全的美白技术。

市面上美白产品也是玲琅满目,有超市开架产品美白牙膏、美白牙贴、家庭装的牙齿美白产品、诊室装牙齿美白产品等等。那么如何选择确实是个问题,让我们来一一解锁这些美白产品吧。

1)  美白牙膏起到作用的成分是摩擦剂,只能清除部分色素,不能从根本上改变牙齿的颜色,优势是价格便宜。

2)  美白牙贴主要成分是过氧化脲,优势同样为便宜。缺点是无法美白牙缝,而且维持时间不长,影响美白效果的因素是牙贴的抗水性和过氧化物的浓度。并且伤害牙釉质!!牙釉质损伤是不可逆的,因此选择需慎重。

3)  家庭装牙齿美白产品的主要成分是过氧化脲,优势同为便宜,但是缺点是操作有难度也有风险,容易操作不当,灼伤牙龈。而且需要自行使用数天,难以坚持。

4)  诊室装牙齿美白产品中现在最被大众所熟知的是冷光美白,而冷光美白其实是一种泛指。美白过程中所使用的照射牙齿的光源为低温光源则都可以称之为冷光美白,区别在于美白试剂的不同。因此,在选择诊室美白的时候更需要关注的是美白试剂的安全性和效果。

马泷齿科目前所使用的牙齿美白是来自美国的达妃琦,其拥有美国FDA和中国CFDA双重认证,安全、健康、无副作用、且效果佳。一个舒适得能入睡且时长只是一个午睡时间的牙齿美白,所以我们亦称之为:午睡美白。具有以下几个特点:

01

舒适全新SPA式体验

02

便捷25分钟即现亮白牙齿

03

效果佳 1次美白6-8个色阶,不易反弹

04

安全美国进口美白原材料,不含防腐剂

在马泷齿科,使用达妃琦美白拥有牙齿洁白只需五步。

01

医生使用专业比色板比照术前牙齿颜色,拍摄术前牙齿照片。

02

戴上护目镜,医生帮助涂抹美白试剂。

03

美白过程中,可以闭目养神,也可以选择看喜欢的综艺或者电影。

04

拍摄术后牙齿照片,清楚对比出术前术后牙齿颜色变化。

05

展露亮白笑容。「感谢马泷齿科南京门诊邰怡院长出镜」

达妃琦美白适用于对牙齿洁白有要求的爱美人士,热爱红酒咖啡的人士、吸烟人士、因为药物导致的轻中度四环素牙、地区水质等原因导致的氟斑牙、矫正中因为戴牙套导致的黄牙等等。

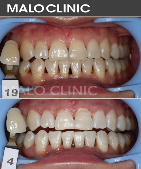
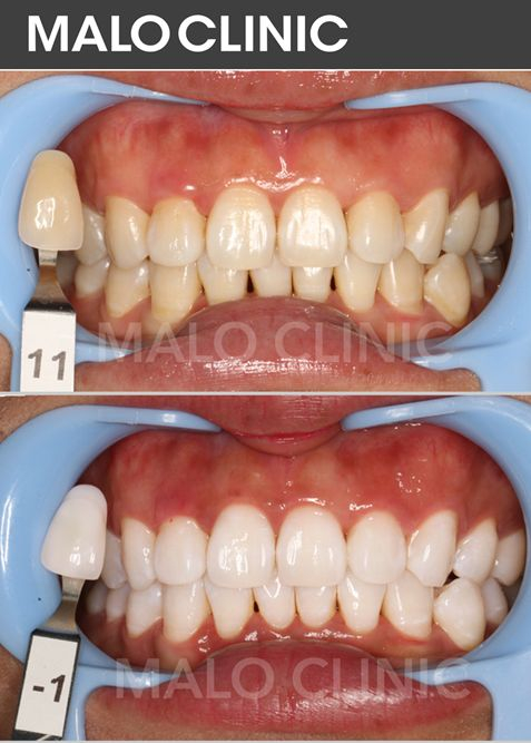
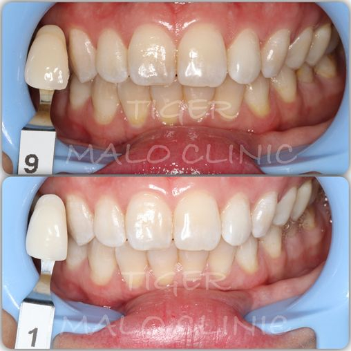
我们放了几种类型的牙齿美白案例图,对照看您是哪种牙齿呢?

天生牙齿颜色偏黄的美白效果,内源性黄牙。

吸烟人士的美白效果,牙面和牙缝色素沉着。马泷齿科牙齿美白是牙缝也可以美白的。

吸烟人士的美白效果,牙面和牙缝色素沉着。马泷齿科牙齿美白是牙缝也可以美白的。

药物导致的四环素牙美白效果,属于内源性牙齿问题。

加载中...