新浪财经 宏观经济

什么是“白肺”?有肺炎就是“白肺”吗?

界面新闻

关注

图片来源:视觉中国

记者 | 黄华

编辑 | 谢欣

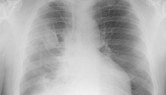
最近几日,“白肺”成为社交媒体上众人热议的关键词。12月27日,国务院联防联控机制召开新闻发布会回应了这一问题。

国家卫生健康委医政司司长焦雅辉表示,白肺是肺部影像学表现的一个口语化描述。一般来讲,肺部炎症比较重、渗出比较多,即白色影像区域面积达到70%到80%之时,在临床上被口语化称为“白肺”。白肺是比较严重的肺炎表现。

同时,对于网络上一系列猜测,焦雅辉辟谣称,白肺与新冠原始毒株和疫苗接种没有关系,当前的流行优势毒株仍然是奥密克戎毒株。其还表示,当前网络上部分“白肺”中,有的也不是真正的白肺,有的没有达到很严重的程度,它们被误称为“白肺”。

实际上,“白肺”现象并不是最近才出现的,早在2020年初武汉疫情时,一些肺部病情严重的新冠患者便曾出现过“白肺”。

而之所以会出现“白肺”,首先与肺部影像学的呈像原理有关。焦雅辉介绍,肺部是由肺泡组成的,肺泡里面充满空气,进行CT或者X线检查的时候,射线穿过肺泡,影像表现是黑色区域;但是,当肺泡里出现炎症或感染,有渗出液和炎性细胞的时候,肺泡就被这些渗出液和炎性细胞所填充,射线就穿不透,在影像学上出现白色区域。白色区域反映出来的是渗出物的影像学表现,并不是肺脏组织实体变成了白色。

图片来源:视觉中国

焦雅辉强调,并不是说只要肺部出现了炎症就都是白肺,白肺是比较严重的肺炎表现,这个阶段患者会出现低氧血症或呼吸窘迫。随着渗出液的吸收、炎症的消退,白肺的表现也会逐渐消退,肺部的影像学表现会逐步恢复为黑色区域。

不过,焦雅辉并没有直接回应有多大比例的患者会出现白肺的问题,她表示,高龄合并严重基础疾病的患者可能出现,但是这样的患者占比非常低。焦雅辉还表示,不仅仅是新冠病毒,多个病原体都可以引发肺部炎症,像呼吸道合胞病毒、流感病毒,包括一些细菌,如军团菌都可以引发肺部炎症,严重时都可以出现炎症表现。

治疗方面,她介绍称,国内有成熟的专家共识和治疗方案,主要是俯卧位通气,另外就是进行给氧治疗,包括无创呼吸机、有创呼吸机、ECMO(体外膜肺氧合)。她提出,加强原发病的病因治疗,白肺患者中有相当部分可以好转。

焦雅辉还呼吁,要加强老年人的健康状况监测,老年人发生感染,尤其是出现呼吸困难等转重的情况,一定要及时就诊,建议直接转诊到三级医院进行就诊救治。

占比仍是未知

“白肺”之所引发广泛关注,与大众2020年初的记忆不无关系。

在国家卫健委官网上,一篇名为《生死金银潭》的报道中记录了国人上一次爆发式关注“白肺”的情境。文章提及,“普遍起病较急,白细胞计数正常或偏低,肺部出现特异性影像学改变,双肺弥漫磨玻璃样阴影,危重患者的双肺已经发展成‘白肺’。”

而在2020年内关于新冠病毒引发的肺炎研究中,不少文章都提及了较为严重的肺部感染情况,这也是当时引发患者死亡的原因之一。因此,时过境迁后,有多少患者会出现白肺依旧困扰大众。目前,关于这方面的官方统计数据非常稀少。

今年7月,《疫苗》(Vaccines 2022,10(8))杂志发表了一份研究报告,报道了北京今年1月至4月间新冠感染者中肺炎发病率的真实世界数据。研究者总共收集到265个阳性病例,其中无症状感染者8%(22例),轻症(无肺炎)病例58.9%(156例),普通型肺炎病例32.8%(87例)。前述研究中,41.9%感染的是德尔塔毒株(111例),58.1%感染的是奥密克戎毒株(154例)。

依据国内《新型冠状病毒肺炎诊疗方案》(试行第九版)文件,肺炎也不一定等于重症患者。根据前述文件,感染者根据严重程度分为轻型、普通型、重型、危重型。其中,只有轻型是指影像学未见肺炎表现的患者。

作为对比,普通型的患者是指具有发热、呼吸道等症状,且影像学可见肺炎表现。而只要“出现呼吸窘迫(RR≥30次/分)、静息状态下指氧饱和度≤93%、动脉血氧分压(PaO2)/吸氧浓度(FiO2)≤300mmHg、或是肺部影像学显示在24-48小时内病灶明显进展>50%”的其中之一就属于重型患者。

这也提示,虽然新冠病毒肺炎已更名为新冠病毒感染,但其引发的肺炎问题还应引起关注。

澎湃新闻12月27日报道,同济大学附属上海市肺科医院呼吸监护室副主任医师张黎在接受采访时表示,目来院拍CT的新冠患者发生白肺的概率不是非常高,有20%的患者是普通型肺炎。而考虑到当前各大医院的繁忙情况,叠加上海市的人口基数,20%的比例背后也是不小的普通型肺炎群体。

此外,12月27日,上海市某三甲医院工作人员对界面新闻表示,目前来院拍CT的60岁以上患者中,一半是有肺炎症状的。浙江地区也医生表示,目前白肺患者已经出现,有些是有白肺倾向,但有些就是肺部炎症,具体还要参照肺部影像和血氧指标判断;目前重症这方面估计还没达峰,重症的高峰预计在感染高峰后的7日以后达到。

而就白肺比例的问题,前述医生认为,“白肺”是一件影像判断的事情,是一个“读片的结果”,本身参杂了模糊性和主观性在其中,因而很难做数理方面的统计;整体而言,一旦出现白肺,会被认为是一个比较严重的情况,可以理解为是肺部大面积感染了,但白肺不一定就是新冠病毒引发的,心衰、细菌感染都可能引发白肺。

加载中...