新浪财经 产经

德国最新临床研究:辉瑞mRNA疫苗可能引发自身免疫性肝炎

澎湃新闻

关注

澎湃新闻记者 贺梨萍

来自德国的最新临床研究发现,辉瑞/BioNTech联合开发的新冠mRNA疫苗(BNT162b2)可能引发一种罕见的以T细胞为介导的自身免疫性肝炎。

自身免疫肝炎是由自身免疫反应介导的慢性进行性肝脏炎症性疾病,其临床特征为不同程度的血清转氨酶升高、高γ-球蛋白血症、自身抗体阳性,组织学特征为以淋巴细胞、浆细胞浸润为主的界面性肝炎,严重病例可快速进展为肝硬化和肝衰竭。

以上研究4月21日刊发于肝病领域国际权威期刊《肝病学杂志》(Journal of Hepatology)上,作者单位包括德国弗莱堡大学医学院、德国慕尼黑工业大学医学院病理研究所、德国癌症协会等。《肝病学杂志》2021年影响因子为25.083,是胃肠肝病领域排名第一的学术期刊。

新冠疫苗是遏制新冠大流行的关键,而辉瑞/BioNTech联合开发的新冠mRNA疫苗(BNT162b2)则是目前全球接种人数最多的疫苗之一。值得注意的是,相比于灭活疫苗等传统技术平台开发的疫苗,mRNA疫苗则是在COVID-19大流行中才完成“首秀”,全球科学界仍在持续研究其在真实世界中的表现。

来自德国的这项临床研究披露了一起接种2剂辉瑞mRNA疫苗出现的急性肝炎的双峰发作(两次接种后均发作)。这名男性患者今年52岁,除甲状腺功能减退外无其他病史。

他在接种第一针mRNA疫苗10天后出现黄疸,肝功能检查(LFT)显示为急性混合性肝细胞/胆汁淤积性肝炎。接种25天,患者住院接受治疗。

第一次接种41天后患者接种了第二针BNT162b2疫苗。第二次接种后20天患者出现疲劳、恶心等症状,实验室检测表明其出现急性混合性肝炎复发。在第二次接种后26天,患者被转至三级医疗中心接受治疗。

到底是什么引发了肝炎?研究人员对患者进行了血清学、聚合酶链反应(PCR)测试,排除了甲型、乙型、丙型或戊型肝炎病毒、巨细胞病毒(CMV)和Epstein-Barr病毒感染的可能。

自身免疫血清学检测显示,患者有轻度高球蛋白血症、抗核抗体(ANA),抗线粒体M2抗体(AMA-M2) 和抗平滑肌抗体呈临界阳性,而LKM抗体检测为阴性。随后,研究者对患者进行肝脏组织活检,发现患者的肝炎有中度淋巴浆细胞浸润和小叶坏死和凋亡灶。

研究者表示,这名52岁患者的症状与自身免疫性肝炎表现存在一致。患者接受了每天9mg布地奈德的治疗。布地奈德是一具有高效局部抗炎作用的糖皮质激素。可查资料显示,这种药能够增强内皮细胞、平滑肌细胞和溶酶体膜的稳定性,抑制免疫反应和降低抗体合成。在治疗后的几周内,患者的肝酶水平有所下降,开始好转。

但是患者在接受治疗39天后又复发了,研究者表示是由于布地奈德激素治疗减量后导致的肝炎复发。于是继续药物治疗,此后持续的肝功能检查显示,持续接受治疗八周后患者恢复了正常,患者体内的新冠病毒S蛋白特异性抗体没有显示出显著波动。

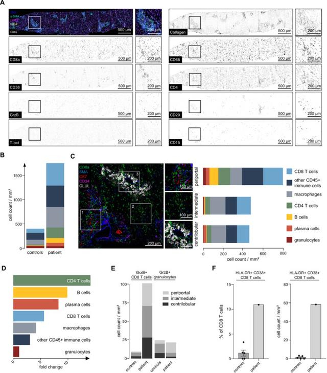
此外,研究人员还在患者的肝脏组织中发现了T细胞和B淋巴细胞、巨噬细胞、粒细胞和浆细胞的浸润。研究者表示,对照未患病者的肝脏组织,他们观察到这名52岁患者肝脏内免疫细胞增加了5.3倍。

值得注意的是,患者肝组织中的T淋巴细胞簇(CD8)是其免疫细胞中最丰富的,这与典型的自身免疫性肝炎有所不同。同时,这名患者的B细胞和浆细胞相对较低,而典型的自身免疫性肝炎则B细胞和浆细胞则更丰富。对不同免疫细胞亚群的肝实质的空间分析,研究者发现患者的门静脉周围区域存在更广泛的免疫细胞浸润。虽然患者的B细胞和浆细胞主要在港脏门静脉周围区域富集,但(CD8)T淋巴细胞呈全小叶分布。值得注意的是,患者的细胞毒性(CD8)T细胞高度积累,而其他表达颗粒酶B的细胞的水平则保持不变。

接下来,研究者通过流式细胞仪深入分析了(CD8)T细胞的肝内和外周的种群。患者肝内(CD8)T细胞池显示激活标志物 (CD38) 和组织驻留标志物 (CD103、CD69和CXC基序趋化因子受体6[CXCR6])富集。外周血中的(CD8)T细胞也表达CD38。研究者表示,有趣的是,患者在疫苗接种后没有发生肝炎的情况下,其CD38表达(75.9%)明显高于健康人的对照组(15.4%)。与外周血相比,患者肝内(CD8)T细胞群中的新冠病毒S特异性(CD8)T淋巴细胞富集达3.4倍。

患者外周血中S特异性(CD8)T淋巴细胞的丰度是Epstein-Barr病毒特异性T细胞对照表位特异性T淋巴细胞的10.2倍。而且患者的CD38水平随着接受布地奈德治疗而降低。然而,当布地奈德治疗期间发生复发时,新冠病毒S蛋白和其他细胞毒性标志物特异性(CD8)T细胞上的CD38表达又升高了,但使用了全身免疫抑制剂治疗后恢复正常。

研究认为,从机制上讲,这名52岁的患者症状不同于典型的自发性免疫性肝炎,后者通常与外周免疫球蛋白升高、浆细胞为主的浸润和突出的界面性肝炎有关。在这一临床案例中,虽然外周免疫球蛋白和肝内B细胞和浆细胞的肝内富集略有升高,但在细胞毒性(CD8)T细胞的水平上观察到更显着的相关性。包括疫苗引发的新冠病毒S特异性反应活化的细胞毒性(CD8)T细胞在患者肝脏中高度富集,以至于它们成为了患者肝内最为富集的免疫细胞群。值得注意的是,这些新冠S特异性(CD8)T细胞的外周激活状态与肝炎严重程度和引入免疫抑制治疗后的临床病程相关。

研究团队认为,接种BNT162b2疫苗可能通过引发的细胞免疫机制引起免疫介导的肝炎。而这些结果暗示:T细胞是这种疫苗相关免疫性肝炎的关键致病性免疫细胞类型,这种肝炎是自身免疫性肝炎的一种新亚型。

加载中...