新浪财经 产经

奥地利新研究提示:新冠肺炎后很长时间内仍可观察到肺部异常

澎湃新闻

关注

澎湃新闻首席记者 贺梨萍

在新发传染病面前,人类对其阻击从空白到摸索出应对之策。而感染后的影响,则也要经历漫长的研究。当地时间3月29日,来自奥地利的研究团队在国际学术期刊《放射学》(Radiology)上发表了一项最新研究,从COVID-19肺炎中康复的人的CT证据显示,他们的肺部受损。且截至这项研究结束时,这种症状出现后已持续了一整年。

研究团队评估了91名参与者的情况,平均年龄为59岁。评估他们COVID-19症状出现后约2、3、6个月和1年的胸部CT肺部异常。采用CT严重程度定性评分(CTSS)对每个肺叶的肺表现进行分级,范围为0(正常)至25(所有肺叶受累)。

论文指出,急性COVID-19肺炎的放射学表现主要为毛玻璃样混浊(GGO)和局灶性实变。COVID-19肺炎早期组织学改变为斑片状急性肺损伤伴肺泡II型细胞增生和肺泡间毛细血管增大。此前有研究发现,COVID-19肺炎后4-10周的CT随访显示,45-63%的患者肺实质异常。然而,长期肺转归尚不清楚。

他们在这项研究中发现,在对COVID-19肺炎患者和胸部CT随访1年的分析中,91名参与者中有49人(54%)出现CT异常。在这49名参与者中,2名(4%)只接受了门诊治疗,25名(51%)在综合医院病房治疗,22名(45%)接受了重症监护病房(ICU)治疗。

这49名参与者中,有31人(34%)显示细微的胸膜下网状、毛玻璃混浊或两者兼有;另外18名参与者(20%)患者显示广泛的毛玻璃混浊物、网状、支气管扩张或微囊性改变。

在研究期间,44%(40/91)的参与者显示CT异常完全消除。而31名CT异常患者在6个月后没有进一步改善。

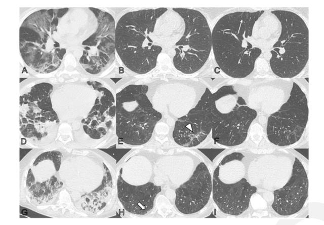
A-C为一名44岁男性患者CT;D-F为一名68岁男性患者CT;G-I为一名79岁男性患者CT。从左至右分别为发病时、随访2个月和随访1年。

研究团队还分析了CT异常的发展是否与影像学标志物或疾病严重程度相关。他们提醒,值得注意的是,在急性期或急性后早期随访(症状出现后2个月)评估CT影像学表现,可以可靠地预测CT异常的发生。这一观察结果可能具有临床意义,其揭示了疾病早期的CT模式,这可能为未来的治疗干预研究提供了线索,例如评估抗炎或抗纤维化药物制度,以防止明显的后遗症。

研究还指出,到目前为止,ARDS(急性呼吸窘迫综合征)后持续的肺部异常可以用肺部疾病本身和机械通气的有害影响来解释。然而,特异性COVID-19引发间质性肺病的假说最近也被证实。这项研究结果提供了额外的证据,表明除了进展为ARDS或气压损伤外,COVID-19肺炎的自然病程本身也有会造成肺结构损伤。

他们在研究中还对比援引了2003年暴发的SARS-CoV的一项长期随访研究。中国工程院院士、原北京大学人民医院院长姜保国和北京大学人民医院呼吸科与危重症医学科科主任高占成等人2020年发表于《Bone Research》的一项研究。研究提到,SARS康复后最严重的后遗症是股骨头坏死和肺纤维化,他们对SARS患者的肺部和骨骼状况进行了15年的随访。

在他们的这项观察性队列研究中,2003年有80名医护人员感染肺炎。2003年8月至2018年3月这15年间,2例患者死亡,78例患者入选,共计71名患者完成了15年的随访。

其中在对肺的影响方面,上述研究指出,SARS患者的肺部病变百分率从2003年(9.40±7.83)%降至2004年(3.20±4.78)% (P < 0.001),此后一直稳定到2018年(4.60±6.37)%。研究团队称,SARS引起的肺间质损伤和功能下降大多恢复,康复后2年内恢复程度是最大。

来自奥地利的研究团队在关于COVID-19肺炎的这项最新研究中提到,尽管他们的队列随访时间较短,但观察到的与之前的这些发现一致,表明COVID-19后CT异常持续,但随后较为稳定。

他们同时指出,由于SARS-CoV的病例数量要少得多,而SARS-CoV-2感染的范围很广,在目前仍在持续的大流行阶段,还需谨慎考虑直接比较。研究团队总结称,这项结果强调了应该对COVID-19患者进行早期和纵向监测。

加载中...