新浪财经

发热仅1天,肺全白了!专家:极度危险,千万别当普通感冒

春城晚报

关注

孩子感冒咳嗽看似常见

可12岁女孩玲玲(化名)的经历

却让人感到后怕

仅发热1天,左肺就变成了 “白肺”

呼吸急促到无法平躺

血氧饱和度勉强维持在90%左右

情况十分危急!

感冒咳嗽变“白肺”

危险藏在黏液里

玲玲起初只是轻微咳嗽,发烧到38℃,外院检查显示肺炎、肺不张。对此,家长刚开始只以为是普通感冒掉以轻心,不曾想后续病情急剧恶化,随后转诊到浙大四院儿科。

入院后,玲玲很快出现呼吸急促、胸闷胸痛症状,体温38.5℃,只能靠 5L/min 的面罩吸氧维持血氧,胸片显示左肺已完全呈 “白肺” 改变,肺部炎症进展迅猛

医生判断

玲玲很可能患上了

 “塑型性支气管炎”

多学科联手“保驾护航”

支气管镜打通生命通道

由于玲玲情况十分危急,手术风险极高,医院立刻启动多学科协作,最终决定紧急开展支气管镜手术

手术中,支气管镜刚进入气道,医生就看到揪心一幕:气道黏膜充血水肿,大量黄白色黏痰不断涌出,左主支气管及各肺段开口已被黏液栓完全堵死。

医护团队随即用负压吸引、灌洗、钳取等方式清理堵塞物,“镜子被黏稠分泌物堵住就拔出疏通再插入,患者缺氧耐受差就及时加压给氧…… ”经过反复操作,终于打通了被堵塞的呼吸通道。

术后第二天,玲玲呼吸困难、胸痛的症状明显好转,病情得到了初步控制

后续检查发现,引发玲玲此次感染的是毒力极强的铜绿假单胞菌,多发生在免疫功能低下人群。经过一系列治疗,孩子逐渐康复,已顺利出院。庆幸的是,玲玲的“白肺”基本吸收,恢复如常。

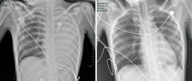
治疗前,左肺呈“白肺”状态;治疗后,“白肺”被吸收,心脏边缘清晰可见。

孩子出现这些症状

千万别拖延,尽快就诊!

医生介绍,塑型性支气管炎是儿童期凶险的呼吸道急症,常见于 2~12 岁儿童,多由流感病毒、肺炎支原体、腺病毒等病毒或细菌感染引发。

它的特点是起病隐匿、进展快,容易误诊漏诊,如果没有及时治疗,可能遗留闭塞性细支气管炎、支气管扩张症等后遗症,严重时危及生命。

孩子遇到这些症状,家长一定要警惕:孩子感冒咳嗽后出现持续发热、喘息加重、呼吸急促、胸闷胸痛、胸片或CT提示“肺不张” “肺实变”,尤其是症状在短时间内快速恶化时,一定要立即就医

目前,经支气管镜直接去除气道内的塑型性异物是最直接、最有效的治疗方法。

医生提醒

孩子的呼吸道娇嫩

看似普通的感冒也可能暗藏凶险

家长牢记这些预警信号

早发现、早干预

时刻关注孩子的健康

来源:新闻坊、橙柿互动·都市快报

责任编辑:王维娜

校对:刘娟

主编:武熙智

加载中...