新浪财经

肖惠敏说抗衰老:北京卫健委公布301医院干细胞治疗骨关节炎收费标准

市场资讯 2024.11.12 07:51

北京市卫生健康委员会宣布,经过医院申请、专家评审和政府审核,已确定并公示了首批重点新增医疗服务价格项目规范。在这些新增项目中,共有23项医疗服务价格项目,其中包括两项细胞治疗项目,分别利用自体软骨细胞和脂肪血管间质细胞(SVF)治疗骨关节炎和股骨头坏死。

关节软骨损伤的组织工程软骨治疗

软骨损伤评估:首先通过影像学技术确定软骨损伤的范围和严重程度,然后通过关节镜手术清除增生的滑膜组织,并修正损伤的软骨表面,同时获取软骨组织样本。

组织工程软骨构建:在GLP实验室中,对获取的软骨细胞进行扩增培养。将关节软骨组织经过胶原酶消化、离心处理后,放置在37度、5% CO2的培养箱中培养。当细胞覆盖率达到80%至90%时进行传代,培养至达到修复软骨损伤所需的细胞数量(110^6/cm²)。

组织工程软骨植入:在第二次手术中,将制备好的组织工程软骨植入患者体内,以修复关节软骨的缺损。

拟收价格丨64000元/侧

申报医院丨解放军总医院

股骨头坏死组织工程技术修复术

自体细胞采集:在手术过程中,从患者体内抽取200毫升的骨髓血或200毫升的脂肪组织。

细胞分离与浓缩:从抽取的骨髓血中分离出单核细胞,或从脂肪组织中分离出血管基质细胞,并将这些细胞浓缩至10-15毫升,以备手术中使用。

钻孔减压:在常规消毒后,利用C型臂X线透视技术引导,使用4-6毫米的钻头在股骨头坏死区域进行钻孔,以实现减压。

细胞注射:将患者自体的骨髓单核细胞或脂肪血管基质细胞注入到坏死的股骨头内,以促进骨坏死区域的修复和重建。

拟收价格丨46000元/次

申报医院丨解放军总医院

历史背景:骨科医学部新技术转化病区由卢世璧院士于2008年成立,是国内首个专注于医疗新技术临床应用的病房。

特点:该病区以“基础研究与新技术临床开发相结合,解决临床难题”为特色,尤其在关节软骨早期损伤和早期股骨头坏死等全球性治疗挑战方面取得了突破。

技术领先:在国内率先开展了基于自体细胞的关节软骨再生治疗和股骨头坏死再生治疗技术,这些技术是国内首批获得政府批准并应用于临床的细胞层面医疗新技术。特别是基于自体软骨细胞的关节软骨再生治疗技术,属于第四代技术,领先于国外的第三代技术。

临床效果:经过十余年的临床随访观察,这些技术显示出满意的治疗效果。

干细胞治疗经验:转化病区在同种异体干细胞治疗骨关节疾病方面积累了丰富的临床经验,实现了科研与临床的紧密结合。

生物细胞治疗中心:研究所还建立了生物细胞治疗中心,专注于基于成体细胞和干细胞的组织再生医学技术,致力于治疗骨、关节疾病和周围神经损伤的临床转化研究。

研究成果:这些原创性研究成果有望突破骨科难治性疾病的治疗瓶颈,为患者带来新的希望。

干细胞在膝关节疾病临床应用结果

1.自体BMSCs治疗膝骨关节炎

参组人数:N=12人(无对照研究)

治疗方案:关节腔内注射培养扩增的4*10^7个间充质干细胞BMSCs,治疗后1年检测结果。

研究结果:接受骨髓间充质干细胞治疗的病人,其膝关节功能指标逐渐改善,改善率在1年内接近65%至78%,软骨质量也得到改善,其中11名病人软骨缺损面积明显减少。

下图为该研究的总结,理想的治疗方案是我们基本达不到的治疗,可以看出间充质干细胞治疗方案比传统方案更加接近理想治疗方案。

2.自体BMSC治疗膝骨关节炎六例

参组人数:N=6人(无对照研究)

治疗方案:关节腔内注射培养扩增的2~2.4*10^7个间充质干细胞BMSCs,治疗后6个月,1年检测结果。

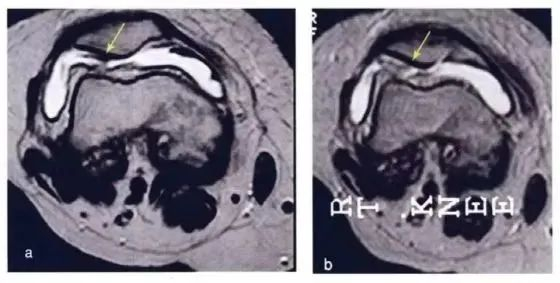
研究结果:关节内注射骨髓间充质干细胞6个月后,疼痛、功能状态和步行距离均提高。6名治疗组中3名患者在治疗前后的MRI比较可以看出,该治疗对于改善软骨厚度,修复组织延伸超过软骨下骨,以及减少软骨下骨的水肿是非常显著的

下图a示意治疗前软骨,b为治疗后6个月软骨,箭头所示为软骨修复位置。

3.关节内注射两种不同剂量的自体BMSC与透明质酸治疗膝骨关节炎:多中心随机对照临床试验(Ⅰ/Ⅱ期)

参组人数:N=30人(随机对照实验)

治疗方案:关节腔内注射培养扩增的1*10^7(低剂量组)、1*10^8(高剂量组)个间充质干细胞BMSCs,治疗后3个月、6个月、12个月检测结果。

研究结果:治疗后,患者的VAS(视觉模拟评分)得到了提升,而WOMAC(西方安大略和麦克马斯特大学骨关节炎指数)评分则在治疗后的6个月时有所改善。到了治疗后12个月,软骨的体积和质量均有所提升,特别是接受较高剂量治疗的患者群体显示出更显著的改善效果。

下图中可以看出通过了间充质干细胞治疗的,不论是低剂量组或者是高剂量组,VAS评分(疼痛指标)都是下降的

4.异体BMSC治疗膝骨关节炎随机对照试验

参组人数:N=30人(随机对照实验)治疗方案:关节腔内注射培养扩增的4*10^7个间充质干细胞BMSCs,治疗后8天,3个月,6个月,12个月检测结果。

研究结果:相比于对照组,接受骨髓间充质干细胞(BMSCs)治疗的患者表现出显著的疼痛减轻,膝关节功能指数有显著的提升,同时软骨损伤程度也明显降低。

下图所示,颜色越红代表软骨质量越差。可以看出治疗前(左边)的软骨大部分是黄色,治疗后蓝色明显偏多,表示间充质干细胞治疗后软骨质量增加。

5.关节内注射自体BMSC对膝骨关节炎患者疼痛及膝关节功能的影响

参组人数:N=61人

治疗方案:关节腔内注射10ml的非体外扩增间充质干细胞BMSCs,治疗后1周,1个月,6个月检测结果。

研究结果:6个月后,治疗组在间充质干细胞治疗后膝关节疼痛显著改善,生活质量显著提高。

6.关节内注射ADSC治疗膝关节炎的临床试验

参组人数:N=18人治疗方案:关节腔内注射体外扩增1*10^7(低剂量组),5*10^7(中剂量组),1*10^8(高剂量组),治疗后1个月,6个月检测结果。

研究结果:注射脂肪来源的间充质干细胞ADSCs后,膝关节疼痛明显改善,软骨的体积与质量明显增加。

下图可以看出从左往右随着间充质干细胞治疗的变化软骨逐渐得到修复

7.ADSC治疗膝骨关节炎的临床疗效及二期关节镜检查

参组人数:N=30人

治疗方案:关节腔内注射4.04*10^6个脂肪间充质干细胞,连同PRP以及关节镜清扫术,治疗后3个月,12个月,以及两年检测结果。

研究结果:在最终随访时,绝大多数患者的所有结果测量指标都显示出了明显的改善。在进行第二次关节镜检查的过程中,16个关节中有14个关节的软骨没有出现退化现象,仅有5名患者的Kellgren-Lawrence评分出现了增加,表明病情有所加重。

下图a为治疗前关节镜检查结果,可以看出软骨存在缺损。图b为脂肪间充质干细胞联合PRP治疗,图c为治疗后结果,通过间充质干细胞治疗,软骨得到了修复。

本文作者肖惠敏系中国民族卫生协会抗衰老专委会常务副主委兼负责人

中国民族卫生协会抗衰老专委会立足民族卫生健康领域,扎根抗衰老暨食品医药大健康等行业产业,接受中国民族卫生协会的领导,重点就抗衰老暨食品医药大健康行业开展信息交流、业务培训、科普宣传、书刊编辑、专业展览、国际合作与交流等。按照协会的部署,专委会将抓好抗衰老暨食品医药大健康行业自律与发展,为建设健康中国做好服务。

Disclaimer: The Internet is a resource-sharing platform, we advocate sharing, the content of the article is intended to popularize science, such as involving the content of the work, pictures, copyright, and other issues, please contact us to delete. This article is for learning and communication only, please do not use it for commercial purposes.

(转自:抗衰老产业联盟)

加载中...