新浪财经

体检报告上的“钙化”,是什么意思?

环球网

关注

来源:人民日报微信公众号

钙化是体检报告中的一个高频词,在人体很多重要器官中可以检测出,比如肺、甲状腺、乳腺、前列腺等。

但很多人对此不甚了解,看到“钙化”这两个字,会担心自己是不是得了什么严重疾病。钙化是怎么形成的?什么样的钙化需要重视?一起来看专家的解答。

大部分器官可能出现钙化

钙化,指人体内的钙离子以磷酸盐或碳酸盐形式,发生沉积的过程。很多钙化是在人体病变修复过程中形成的,整个过程和伤口愈合结疤类似。通常表现为钙盐沉积在受损组织中,使这些组织变得坚硬。

有些钙化本就是人体正常生理过程的一部分,比如头颅内的松果体(生物钟调控中心)钙化,一般2岁开始就可能发生,到了青少年时期发生率为40%,40岁后发生率高达70%。

人体绝大部分组织和器官内都可能出现钙化,比如头颅的脑膜、基底节区,胸部的肺、肋软骨、胸骨剑突,腹部的肝脏、肾脏,以及甲状腺、乳腺和前列腺等腺体,还有遍布身体的大多数动脉和静脉血管。钙化存在的广泛性也使得它成为体检和平时检查中影像学报告上的“常客”。

钙化不是疾病,而是体征

航空总医院影像科副主任申太忠介绍:“钙化不是疾病,而是一种体征。”钙化是否影响健康要根据其出现的部位、影像学特点、患者临床表现来确定。

通过检测钙化的发生位置和程度,医生可及时发现和诊断疾病,了解病情进展,评估治疗效果。钙化的发生与多种因素相关。

年龄:随着年龄增长,体内钙化现象会更为常见,这与自然的衰老过程有关。一般来说,组织和器官功能逐渐退化,钙盐沉积会慢慢增加,从而导致钙化。

生活方式:高盐饮食会导致钠摄入过量,从而限制钙代谢,增加钙沉积。吸烟会损伤血管内皮细胞,影响钙的吸收和利用,从而增加血管钙化风险。酗酒和血压控制不佳,可能促进血管粥样硬化,并导致钙化。

疾病:某些慢性疾病可能诱发钙化,比如糖尿病长期未得到有效控制,会导致高血糖和代谢紊乱,并影响肾脏对钙的排泄和代谢,引起钙化。疾病的修复和愈合也可能导致钙化,比如结核性肺炎病变区域的组织,就可能在炎症后的修复过程中形成钙化。

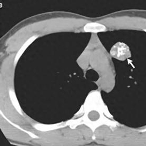
4种常见钙化如何应对

钙化几乎可以出现在人体任何器官或组织中,尤其是甲状腺、乳腺、前列腺、冠状动脉,且良性及恶性疾病中均可发生。

1、甲状腺钙化

在甲状腺疾病中,恶性病变(如甲状腺癌)和良性病变(如结节性甲状腺肿)均可能存在钙化灶。甲状腺钙化大致可分为微钙化、粗大钙化和边缘环形钙化。

微钙化通常小于2毫米,表现为点状、针尖样、沙粒状钙化,在甲状腺乳头状癌患者中常见,但也并非有了这种钙化就是癌;粗大钙化表现为片状、弧形或其他不规则形钙化,通常发生在良性结节性甲状腺肿患者中;边缘环形钙化,一般出现在良性结节中。

2、乳腺钙化

乳腺的钙化灶约80%属于良性,20%的概率是恶性病变。临床上,细小、颗粒状、成簇的微钙化点,也有可能是乳腺癌早期的重要表现。

当钙化形态提示恶性,并伴有乳腺肿块时,可直接做手术和病理检查。没有肿块,而钙化形态怀疑恶性时,最好在X线定位、B超引导下进行乳腺微创活检手术,准确切除钙化灶。

若认为是良性的,则要定期做钼靶和B超复查,看有无变化发展。乳腺钙化一旦形成,是不会消失的,只要不是恶性病变,不必担忧,定期复查即可。

3、前列腺钙化

前列腺钙化,指在前列腺组织中出现的钙盐沉积现象,可能与前列腺增生、尿盐沉淀、前列腺反流及感染等有关。

中南大学湘雅医院泌尿外科主任医师陈敏丰表示,对于无症状的前列腺钙化,通常无需特殊治疗,只需定期随访和复查。如果伴有尿频、尿急、血尿等症状,应及时到泌尿外科检查,并根据医生建议进行规范治疗,日常保持心态平和,戒烟戒酒,多喝水,少吃辛辣刺激性食物,不要熬夜和久坐。

4、冠脉钙化

冠状动脉钙化常发生在有冠状动脉粥样硬化斑块形成的部位,是冠状动脉粥样硬化的重要标志,严重冠脉钙化预示着患者发生心梗的风险较高。

如果能将血压、血脂、血糖等控制在理想范围内,养成良好的生活习惯,减少发病的危险因素,能最大程度地预防冠脉钙化,延缓病变进展。

申太忠提醒,除了及时揪出恶性病变,采取针对性干预措施外,澄清有关钙化的误区同样很重要。钙化不是钙过量所致,人体能自动调节体内钙含量,多余的钙不会被吸收,而是会直接排出体外。因此,为了避免钙化而谨慎补钙或不吃含钙食物完全没必要。

钙化并非“中老年专属”。年轻人出现钙化无需过度焦虑,及时诊断排除病理问题、定期复查监测即可。

来源:生命时报,受访专家:中南大学湘雅医院泌尿外科主任医师 陈敏丰,航空总医院影像科副主任 申太忠,记者:钟财芬

加载中...