新浪财经

别人的骨头,为什么会被用在你的身体里?

媒体滚动 2024.08.19 16:00

转自:上观新闻

如果有一天,你终于鼓起勇气去找了牙科医生看看你疼痛已久的后槽牙,却意外得知自己的牙根彻底损坏,需要用骨头来植牙。

另一边,你的好朋友从整形医院回来——她想把自己的鼻子垫高一点,并被医生告知也需要植入一小块骨骼进入鼻梁。

你俩简单讨论了一下,都发现自己需要做个手术,从肋骨取一块骨头,并移植到自己需要真正手术的部位。一想到要从身体里取骨头,你们同时打了个寒颤,满身鸡皮疙瘩。

于是你们分别问医生,有没有方法可以不用从自己身上取骨头?

“一般来说,我们推荐不愿意用自己骨头的患者换一种移植材料,用同种异体骨。”医生如是说。

同种异体骨?你们面面相觑,满头问号。——但你们其实不知道,除了补牙和整形手术,下颌骨修复、四肢修复、固定关节和严重骨折恢复……这些场景,都会用到这个“同种异体骨”。

同种异体骨,到底是个啥

前面提到的植牙也好、鼻整形手术也好,都属于“骨移植”手术——由于患者特定位置的骨骼缺损严重到难以自我修复、愈合[1],因此会植入特定的骨修复材料。

一般公认的最好骨修复材料来自于患者本人的自体骨,因为它们生物相容性较好——比如不会出现血栓和免疫反应——还能很好地诱导骨头的生长修复[2][3]。

但是自体骨骼供应量毕竟有限,而且取出骨头的部位本身也需要做手术,可能出现诸如慢性疼痛、感染等并发症的风险[4]。因此,一种理想的替代品——同种异体骨——成为了第二常见的选择[5]。

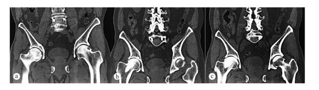
a为术前CT显示双侧股骨头缺血坏死,右侧严重,先行同种异体骨植入手术治疗;b和c为术后6、12个月分别复查CT显示右侧股骨头愈合良好 / [7]

顾名思义,它就是同样来自于人类(同种),但是从他人(供体)那里获得的骨头[6]。因为它同样属于天然骨,其含有成分均为机体的成分,所以安全性相对较高[4]。

同种异体骨的种类一般分为四种,分别是新鲜异体骨、 深冻骨、冷冻干燥骨和脱钙骨基质[2]。

其中,新鲜异体骨“新鲜反被新鲜误”,无法完全清除所有细胞或组织,进而造成的免疫反应较大而不再广泛使用[2]。

深冻骨则经过高压清洗、浸泡和低温(-80 ℃)深冻处理;冷冻干燥骨是将深冻骨进一步进行脱水干燥,在水分≤5%时真空包装并灭菌[2]。这两种方法,异体骨的保质期更长,疾病传播的风险也更小[8]。

同种异体骨通常来自肋骨、股骨、胫骨和腓骨(后三个都是腿骨)等较大的骨头,所以它能在较长骨头的修复(比如小腿的腓骨)上具有独特的优势 / 图虫创意

而脱钙骨基质是对骨头进行脱钙、去脂等一系列化学处理,但保留了促进生长的因子,因此它有独特的优势[9],因为它能很好地促进骨头的生长,具有良好的骨传导性和骨诱导性[2]。

骨传导?骨诱导?这是什么?这就要介绍到同种异体骨的“工作”原理了。

作为一种敬业的骨修复材料,同种异体骨的三大技能,分别是“骨传导”“骨诱导”和“骨生成”[6]。

骨传导,就是作为支架,不直接刺激新骨形成,而是“打辅助”。

图为异体螺纹骨笼,是通过同种异体骨经过深冻,清洗,去髓,冻干,辐射灭菌等处理,具有和自体骨一样的孔隙结构和弹性模量,有利于骨的传导和爬行替代,具有一定的力学强度提供支撑 / [10]

骨诱导,就是刺激骨细胞,促进新骨合成和矿化,但不直接参与骨细胞的生成。就好像你跑步时不跑但是给你加油的好友。

骨生成,就是指移植物含活性成骨细胞,亲历亲为。通过与原本的骨组织互动直接促进骨生长[6]。

由于确实好用,同种异体骨的运用很广泛。常见于植牙、下颌骨节段缺损植骨、骨头重建、肢体修复、固定关节和修复骨折[2][6],它不仅可以用于较大骨头的修复[11],还几乎是整形手术的首选材料之一[12]。

表为2018-2019年国内关于同种异体骨应用于鼻整形的临床研究,其中DBM为异体骨经脱脂、脱水、脱钙、冻干等处理后所得、具备低抗原性的同种异体移植物 / [12]

骨头到骨材料,

过程把控很严格

一般来说,同种异体骨来自于自愿捐赠、满足要求的供体,即作为移植用细胞或组织来源的人体 [13][14]。而这些供体制作好的同种异体骨材料,会被放置在骨库里。

而即便来自标准化的骨库,在手术过程中彻底灭菌、术中严格无菌操作、术后应用抗生素治疗的前提下,目前临床仍存在一些如免疫排斥、感染等等的问题[2]。

可能因为,虽然同种异体移植物不含活细胞,但它残留着死细胞物质,可能诱发免疫反应并可能潜藏传染性疾病[15]。

就算做了尽管严格的供体选择、病毒和微生物检测,但如果没有严格到一定程度(比如照射Y射线),还是可能传播有害疾病[15]。

像人类免疫缺陷病毒(HIV)(就是引起艾滋病的罪魁祸首),连伽玛辐射和冷冻技术似乎不足以净化完全[16]。

图为海绵状脱钙异体骨在不同生产阶段;左边是洗过的矿化立方体,中间是100%乙醇处理过的立方体,右边是去矿化的立方体 / [17]

这也是为什么,在中华人民共和国卫生部发布的《骨组织库管理》文件中,对整个骨材料制备和保存的过程的细节要求严格到极致。包括但不限于审核、人员要求及管理 、场所、设备、供体筛选、取材和保存、组织移植物的质量控制、包装、灭菌等等[14]。

比如操作场所要分为“一般制备区”和“洁净区”。洁净室 (区)不仅规定了人均面积(≥4㎡);还配置与洁净度级别相适应的空气调节净化系统——毕竟到时候,各种操作过程只限于在指定的制备区域进行[14]。

为防止污染,不同级别洁净室(区)之间还要求设置气闸室或双层传递窗,即使想传递东西也须分段传送[14]。

图表为骨组织移植物制备洁净室(区)空气洁净度级别 / [14]

再比如制备前的存放,要求原材料存放在-40℃以下的环境,并在无腐蚀性气体、通风良好、有消防措的仓库内、分类分批保存[14]。

正式制备前,要通过验证确定工艺的可行性;制备时,特殊或关键工序需持续监控和记录参数;灭菌过程亦需如此[14]。

制备以后,对其包装要根据其性能和灭菌方法选材和设计,还要贴标签,注明移植物的全部信息。操作人员本身也要有健康档案,定期体检[14]。因为骨材料获取过程中,工作人员对于污染的风险影响极其关键。工作人员每增加一个,污染风险增加1.3倍[18]。

最重要的是,对于供体的选择,各个步骤面面俱到的要求精细[14]。

供体不能有慢性感染病史感染症状;除了最常见的传染病(如肝炎、梅毒、艾滋病),肿瘤病史也不行;同样,自身免疫性疾病或骨代谢性疾病、严重创伤(比如大面积烧伤)、中毒史也不能有。

甚至于,应用类固醇超过3个月,大剂量应超过1周;使用呼吸机超过72h;接受过同位素检查或治疗——这些情况都不能有。而且以上不仅要询问,都需要经过实验检验。

此外,对力学强度有要求的结构性骨移植物的供体年龄,女性宜小于50岁,男性小于55岁。

在供体选择方面,须建立相关生物学筛选标准,记录并保存供体相关生物学评价记录;宜询问病史、排除与移植相关的疾病史,并进行相关实验室检查 / 图虫创意

正是这样每一处细节保驾护航,才把同类异体骨的风险性在可控层面上降到最低。

毕竟,当那个同种异体骨上面没彻底被灭的菌在一个人身上的时候繁殖,对于那个人,发生的概率就是100%,就要承受难以想象的危险。

所以真的是如何如何谨慎都毫不为过。

最佳骨替,需求又涨高了

同种异体骨制作骨材料的过程如此精细复杂,那么它的运用广泛吗?

实际上,同种异体骨的需求量,可能比大家想象中大得多。

比如根据中国药品监督管理局南方医药经济研究所统计研究表明,骨科领域中,我国每年超600万人因骨缺损或功能障碍需治疗,约400万人需植骨。比这个数字更大的事实是,我国每年需要进行植骨手术治疗的潜在患者人群约2000万人[19]。

同时伴随着民众支付能力的提高,骨修复材料技术和产品的日益成熟和发展,整体骨修复材料的市场发展极其迅猛[19]。

在骨科领域,2018年我国骨修复材料的实际市场规模已达到约20.2亿,2023年骨科市场规模估值为53.4亿元。截至2021年,所有领域的骨修复材料的潜在市场规模估值约300亿元人民币[19]。

当前全球骨科器材市场发展迅速,中国骨修复材料市场日益扩大,骨修复材料的研究前景十分广阔 / [4]

目前,我国临床选择骨修复材料时还是以天然来源为主。而无可争议的“金标准”——自体骨——使用比例在下降。在我国2007-2017年间,临床自体骨的使用比例已由约81%下降到约62%[19]。

这是因为二次损伤的问题确实不同忽视。根据1990-2010年间的文献统计,取自体髂骨后各类并发症发生率近20%[20];颅骨、颌骨等部位也同样存在较高的并发症发生率 [21]。

可以想象,自体骨比例的下降,顺位第二常见的骨修复材料——同种异体骨的需求,随之上升。

截至2021年7月,我国适用于骨科领域的各类人工合成骨修复材料的三类医疗器械产品注册证共有35项,同种异体骨产品注册证为20项。由此可见同种异体骨的使用之普遍性[19]。

实际上随着时代发展,意外突发事件和平均人口年龄的增加,同种异体骨的需求必然增多——它们在四肢骨折骨缺损的修复中疗效甚好;且在脊柱融合术这种老年常见手术中综合表现优于其他骨材料[2]。

随着人口老龄化的发展,脊椎问题增多;“脊柱融合术”是治疗脊柱疾病的有效方法,即将植骨材料植入单个椎体或多个椎体之间,综合来看,同种异体骨优于自体骨和人工骨 / 图虫创意

遗憾的是,同种异体骨的供不应求,几乎是公认的事实。根据国内普遍结论,同种异体骨的成本很高,且来源不足,材料属于短缺状态[4][22]。

瑞典的骨材料制作公司也提到了:同种异体骨制作起来耗时产量低,但又是理想的移植材料,所以供不应求[23]。

正规的同种异体骨的来源通常是标准化骨库[2]。根据调查,中国医用组织库据不完全统计约有45个。其类型主要分为企业,医院内组织库和民办非营利性组织,暂时还无法满足全部需求[24]。

图为中国医用组织库类型、数量及占比;其中医院组织库为具有一定影响力的组织库 / [24]

也正因为骨修复材料巨大的市场价值、高潜在需求量和日益增加的实际运用量,因此在合法正规的加工流程里,每一个步骤和每一项技术都可能影响着更多的人的生命安全。

一想到从别人身体里取下来的骨头,就这样移植在口腔和鼻梁里,它们勤勤恳恳为努力生长的骨细胞干着支撑、加油、互动的活儿,我还真是头上冷汗涔涔的,心里暖意融融的。

撰文 / 阿困

[1]滕沙格,陈哲,范佳俊&陈岩松.(2020).同种异体骨植骨临床应用与研究进展.浙江中西医结合杂志(05),433-437.

[2]汤惠明.(2023).同种异体骨材料的研究进展及临床应用.医疗装备(20),162-164.

[3]Germaini,M.M.,Belhabib,S.,Guessasma,S.,Deterre,R.,Corre,P.,&Weiss,P.(2022).Additive manufacturing of biomaterials for bone tissue engineering–A critical review of the state of the art and new concepts.Progress in Materials Science,130,100963.

[4]魏晨旭,何怡文,王聃,侯婧霞,谢辉,殷放宙...&李伟东.(2020).组织工程学中骨修复材料的研究热点与进展.中国组织工程研究(10),1615-1621.

[5]廖欣宇,王福科&王国梁.(2021).骨组织工程支架的进展与挑战.中国组织工程研究(28),4553-4560.

[6]Kumar,P.,Vinitha,B.,&Fathima,G.(2013).Bone grafts in dentistry.Journal of Pharmacy and Bioallied Sciences,5(Suppl 1),S125-S127.

[7]胡喜春,黄长明,范华强,傅仰攀,董辉详,甘志勇...&章亚青.(2024).髓芯减压同种异体骨植入治疗早中期股骨头坏死.中国骨与关节损伤杂志(06),635-638.

[8]Baldwin,P.,Li,D.J.,Auston,D.A.,Mir,H.S.,Yoon,R.S.,&Koval,K.J.(2019).Autograft,allograft,and bone graft substitutes:clinical evidence and indications for use in the setting of orthopaedic trauma surgery.Journal of orthopaedic trauma,33(4),203-213.

[9]田冲,高博,于鸿伟&王培.(2022).骨修复材料治疗跟骨骨折的理论研究与技术应用.中国组织工程研究(22),3586-3591.

[10]叶树楠,杨述华,谢卯,张波&冯勇.(2012).同种异体骨支撑架植入治疗股骨头坏死.(eds.)全国骨关节与风湿病暨第三届武汉国际骨科高峰论坛论文汇编(pp.61-81).华中科技大学附属协和医院骨科;华中科技大学协和医院骨疾病研究所.

[11]Ocksrider,J.,Boden,A.L.,Greif,D.N.,Hernández,R.,Jose,J.,Pretell-Mazzini,J.,...&Quinnan,S.M.(2020).Radiographic evaluation of reconstructive surgery for segmental bone defects:What the radiologist should know about distraction osteogenesis and bone grafting.Clinical imaging,67,15-29.

[12]陈鹿嘉&安阳.(2020).脱钙骨基质在鼻整形手术中的临床应用进展.中国美容整形外科杂志(01),24-26.

[13]gov.(2023).人体器官捐献和移植条例

[14]中华人民共和国卫生部.(2010).骨组织库管理.中华人民共和国卫生行业标准WS 324-2010

[15]Smith,C.A.,Richardson,S.M.,Eagle,M.J.,Rooney,P.,Board,T.,&Hoyland,J.A.(2015).The use of a novel bone allograft wash process to generate a biocompatible,mechanically stable and osteoinductive biological scaffold for use in bone tissue engineering.Journal of tissue engineering and regenerative medicine,9(5),595-604.

[16]Zileli,M.,Benzel,E.C.,&Bell,G.R.(2005).Bone graft harvesting.In Elsevier eBooks(pp.1253–1261).

[17]Eagle,M.J.,Rooney,P.,&Kearney,J.N.(2015).Development of an improved bone washing and demineralisation process to produce large demineralised human cancellous bone sponges.Cell and tissue banking,16(4),569-578.

[18]Terzaghi,C.,Longo,A.,Legnani,C.,Bernasconi,D.P.,&Faré,M.(2015).Incidence of bacterial contamination and predisposing factors during bone and tendon allograft procurement.Cell and tissue banking,16,151-157.

[19]王子瑞,朱金亮,何志敏,宋天喜,崔孟龙,崔云...&仇志烨.(2021).人工合成骨修复材料的临床应用及展望.生物骨科材料与临床研究(04),8-17.

[20]Burstein,F.D.,Simms,C.,Cohen,S.R.,Work,F.,&Paschal,M.(2000).Iliac crest bone graft harvesting techniques:a comparison.Plastic and reconstructive surgery,105(1),34-39.、

[21]Kuik,K.,Putters,T.F.,Schortinghuis,J.,van Minnen,B.,Vissink,A.,&Raghoebar,G.M.(2016).Donor site morbidity of anterior iliac crest and calvarium bone grafts:a comparative case-control study.Journal of Cranio-Maxillofacial Surgery,44(4),364-368.

[23]staubli.(2024).机器人应用于针对同种异体骨的人骨再利用.

[24]白玉龙,李忠海,赵彦涛,夏岑灿&石磊.(2023).中国医用组织库的发展历史、现状及展望.中国组织工程研究(08),1306-1312.

加载中...