新浪财经

慎吃!一男子肚子里发现“虫卵”“死虫”!或因爱吃它

黑龙江日报

关注

炎热的夏天

爽口的鱼生

色白如雪,口感贼甜

爱它的人是真爱它

但,吃出问题的也是真有!

突然腹痛进急诊

广东深圳男子肚子里发现“虫卵”“死虫”

近日,郑先生(化名)一顿大餐吃太饱,“突发中上腹痛5小时”,于是赶到深圳大学总医院急诊科。

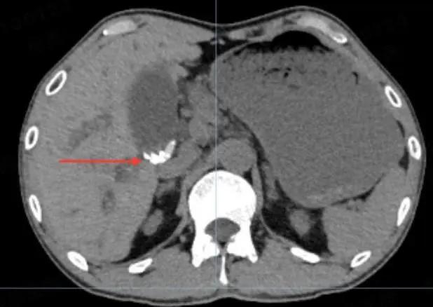
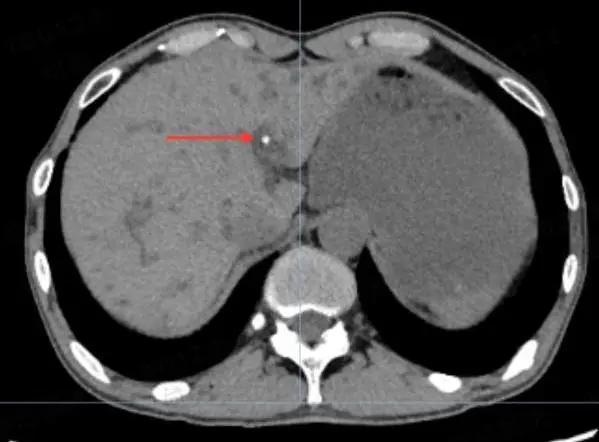
全腹CT提示:

胆囊内团簇高密度影

胆总管下段与肝内也存在高密度影

疑似胆总管结石,胆囊结石

医生仔细询问病史,郑先生常住东北,自述没有疫区、疫水接触史,于是按“胆总管结石、胆囊结石”收治进了肝胆外科。

第二天,肝胆外科意外接到检验科电话,大便常规提示:可见“肝吸虫虫卵”!

护士紧急抽血送检“肝寄生虫全套”,并再次追问郑先生,有无生食、生饮等食物史。

“非常喜欢吃生鱼片……都是江鱼,半个月前还吃过。”

“像凉菜那么一拌,蘸着小料那么一吃。”

真相大白,胆囊结石、胆总管结石从何而来的谜团也解开了。

(腹部CT“肝吸虫”,疑似“虫卵或死虫”)

经过3天的打虫治疗

炎症控制稳定后

郑先生顺利出院

这“肝吸虫”

到底有什么可怕的?

鱼生里的寄生虫

可跟随宿主20-30年没感觉

严重甚至引起肝癌

肝吸虫喜欢“躲在”淡水鱼虾体内,随着人们吃鱼生、未熟透的鱼虾等方式悄悄潜伏进人体。它们在人的肝胆管内寄生产卵并生产代谢产物,从而引发一系列并发症,堵塞胆管。

同时,它的生命力也很顽强,一旦在宿主体内住下来,可以一直跟随20-30年。

所以...

你以为你吃的是美味的生鱼片

其实可能吃下去的是寄生虫

感染初期,人可能还没什么感觉,因为轻者几乎无症状;但严重的话会有腹痛、腹泻、消化不良、营养不良、疲倦乏力、肝区隐痛、肝肿大等临床表现,晚期可出现肝硬化和腹水,还可并发胆囊炎、胆管炎、胆管阻塞等,甚至引起肝癌。

如果宿主是孩子,还会严重影响生长发育,甚至导致侏儒症。

所以

还是不要冒险了!

关于吃“鱼生”,还有几大误区

误区一:

酱油、芥末等调味料能杀死肝吸虫?不能!

肝吸虫的囊蚴对调味品的抵抗力比较强,调味品短时间内无法起到杀虫功效。专家指出,肝吸虫囊蚴在醋中可存活2小时,在酱油中可存活5小时。

误区二:

喝白酒可以杀虫?不能!

喝白酒不但杀不死肝吸虫,反而会加重对肝脏的负担。 

误区三:

与别人共餐时有鱼生,自己不食用鱼生,会感染吗?

有这样的可能性。因为寄生在鱼肉上的肝吸虫囊蚴可污染到筷子,交叉污染到别的热菜。

躲开“寄生虫”

你得这么吃

1、至少煮沸5分钟才能吃

不吃生或未煮熟的淡水鱼虾。彻底煮熟方可进食,要保证至少煮沸5分钟以上再动筷子哦~

2、严格区分生熟食品用具

切生熟食品所用的刀和砧板要分开,不可混用;盛过生鱼的各种用具要洗刷干净。

3、不要用生的食物喂猫狗

不要用生的鱼鳞、鱼内脏、鱼鳃等喂狗、猫,洗鱼的生水也不要喂猪或其他家养动物。

加载中...