新浪财经

新一波猴痘疫情为何青少年感染死亡比例大幅上升?世卫发言人回应

齐鲁晚报

关注

在世界卫生组织发布最高级别警报“全球卫生紧急事件”(PHEIC)两天后,瑞典16日宣布确诊非洲以外首例新型毒株的猴痘病例。

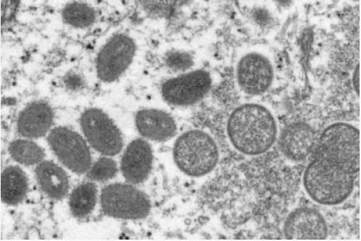
今年年初以来,非洲大陆出现新一波猴痘疫情,仅刚果民主共和国(刚果(金))就已报告了1.56万例猴痘病例和537例死亡病例,超过了去年全年的数字。值得注意的是,与两年前的首波猴痘疫情不同,此次受影响最大的人群是妇女和15岁以下的儿童。儿童占病例人数的70%以上,占死亡人数的85%,儿童的致死率是成人的四倍。今年5月,科学家在该国东部发现了一种被称为Ib型分支的猴痘新毒株,初步研究发现新毒株似乎更容易通过日常密切接触传播,且大多数感染者是15岁以下青少年儿童。

对于这一新趋势,世卫组织发言人塔里克·贾萨雷维奇(Tarik Jašarević)答澎湃新闻问时透露,正在刚果(金)暴发的猴痘疫情中15岁以下儿童受影响最大,可能是多方面因素共同作用的结果,包括与成年人和老年人相比,他们没有接种过天花疫苗,(猴痘与天花属于同一种种属病毒)接种天花疫苗对预防猴痘具有一定的保护作用;他们以前没有接触过这种病毒;他们在拥挤的环境中与可能患病的家庭成员有密切接触。

“此外,儿童的免疫系统不发达。虽然这些因素促使其易感,但需要更多的研究来充分理解为什么儿童在刚果(金)受到如此不成比例的影响。”贾萨雷维奇表示,世卫组织已经制定了一项计划,以更好地了解疾病在家庭和社区的传播情况。

8月14日,世卫组织宣布,由于非洲多国的猴痘疫情不断升级,发布最高级别警报“全球卫生紧急事件”(PHEIC),并警告称新一波疫情最终可能会再次跨越国界蔓延至全球。16日,瑞典宣布确诊非洲以外首例新型毒株的猴痘病例,该病例此前曾前往非洲,而其他欧洲卫生当局则警告称,可能出现更多输入性病例。

这是世卫组织两年多来第二次就猴痘疫情发布“全球卫生紧急事件”警报。此前一次从2022年7月持续到2023年5月,那次疫情影响了116个国家的近10万人,主要感染人群是男同性恋和双性恋男性。

(澎湃新闻)

加载中...