新浪财经

想要通过吃杨梅为身体“排毒”

媒体滚动 2024.06.30 11:31

转自:上观新闻

最近水果中的“顶流”是谁

杨梅当仁不让

不过,每年这个时候

都会有人因杨梅进医院

几天前

浙江宁波的王阿姨(化姓)

听信了吃杨梅不吐核的谣言

想要通过吃杨梅为身体“排毒”

当天下午,她刻意吃杨梅不吐核,很快就将一大碗杨梅吃完。在吃下杨梅的次日凌晨,王阿姨就开始出现了严重的腹痛。剧烈的腹痛导致她痛不欲生,恨不得在地上打滚。

因此,王阿姨一大早忍着强烈的腹痛,来到了余姚市中医医院消化内科求诊。

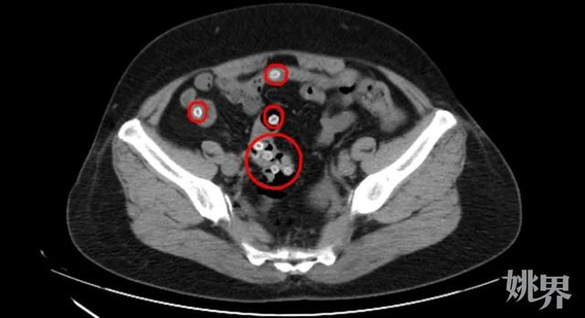
CT影像显示,王阿姨的肠内存在多处类圆形高密度影,密密麻麻的圆圆小白点正是滞留在肠道内的杨梅核,这是导致患者腹痛不止的罪魁祸首。

CT影像显示,患者肠道内有不少杨梅核滞留

“这种情况下,患者很有可能会引发胃痉挛和肠梗阻,要尽快将杨梅核排出体外。”医生首先为患者进行解痉止痛治疗,然后为其开具了通便的药物促杨梅核排出。

在药物的帮助下,王阿姨成功在第二天完成排便,肠道内的杨梅核也顺利排出体外。

医生表示,杨梅核本身非常坚硬,很难被肠胃消化,特别是老人和婴幼儿要更加当心,吞食杨梅核还可能误入气道,引发窒息风险。

如果是无意间吞咽下一两颗杨梅核,对于人体来说并无大碍。可如果是听信他人谣传,刻意吞咽大量杨梅核,不仅容易噎住,还会在狭窄的肠道内产生淤堵引起腹痛症状,甚至可能引发胃出血、肠穿孔或是肠梗阻等多类肠胃疾病,后果不堪设想。

胃溃疡、十二肠溃疡

消化道炎症、慢性便秘

和有过消化道手术病史的人群

绝对不可吞食杨梅核

这样极易引发

肠梗阻、胃肠穿孔等疾病

严重时可能会威胁生命

风险不容小觑!

6月5日

浙江温州74岁黄阿婆

收到一筐新鲜杨梅

忍不住一口气吃了一斤

没多久她就感觉浑身乏力、恶心呕吐

家人立即把她送到了

温医大附二院急诊科

经检查,发现阿婆的血钾竟然高达8.2mmol/L(正常值为3.5-5.5mmol/L),属于重度高钾血症,随时可能引起致死性心律失常。在医生追问下,原来黄阿婆患有肾功能不全已经有3年多。

“问题就出在这里!”经过会诊后,立马将阿婆收住急诊ICU进行了紧急降钾,经过血液净化等治疗方案后,目前阿婆已转危为安。

杨梅大家都爱吃

为啥阿婆会险些丧命呢?

急诊ICU医生解释

杨梅含钾量高

100g杨梅中的含钾量就有149mg

而我们人体中

80-90%的钾由肾脏排出

正常情况下,一般人吃1斤杨梅并不会出现高钾血症,但是像黄阿婆这样肾功能有损伤的患者,排钾能力弱,1斤杨梅就是致命的危险。

高钾血症是一种主要由于肾脏功能受损、钾摄入过多或应用某些药物导致的血液钾浓度高于5.5mmol/L的病理状态。

  • 它会影响神经、肌肉和心脏等器官的正常功能。

  • 轻者会出现乏力、恶心、呕吐、肌肉麻木等症状,

  • 重者会导致心律失常、心跳停止、呼吸衰竭等严重后果。

生津解渴,和胃消食

哪些人不宜吃杨梅?

眼下杨梅正当季

炎炎夏日里

吃几颗酸甜可口的杨梅

既增加食欲,又生津止渴

杨梅吃对了好处多多

↓↓↓

从营养成分来看:

杨梅果肉富含纤维素、矿质元素、维生素和一定量的蛋白质、脂肪、果胶,以及8种对人体有益的氨基酸。

杨梅含大量果酸,可以刺激胃酸分泌,从而具有促进食欲和助消化的作用,还可抑制向脂肪转化,有助于减肥。

果实中含有的黄酮类物质和类似黄酮类物质结构的花色苷,具有抗氧化、调节血脂、降低胆固醇和血糖的作用。

而从中医的角度来看:

杨梅甘酸,性温,入肺、胃经,有生津解渴、和胃消食、止吐止泻的功效。

杨梅具有很高的药用和食用价值,其果实、仁、叶、皮均可入药,果味酸甜适中,既可直接食用,又可加工成杨梅干、果酱、蜜饯等,还可酿酒。

不过

就像大多数水果那样

杨梅也不可多吃

尤其是以下人群

不宜吃杨梅

肾功能不全者

对于肾功能不全的人,其肾脏排钾能力降低,尤其是在出现急性肾损伤、慢性肾衰竭时,吃了过多富含钾的食物,会导致钾在体内潴留,引发高钾血症,严重时还可能引发心律失常、心脏骤停,甚至猝死。

因此,肾功能不全的患者应尽量避免食用含钾较高的水果,比如牛油果、杨桃、香蕉、橙子、柚子、葡萄等。

胃病患者

有胃炎、胃溃疡的患者,尽量控制吃杨梅量。

胃酸大量分泌,大量的消化液充盈在胃部,反复刺激消化性溃疡炎症部位,容易出现溃疡出血,进而引发剧烈胃痛等胃部不适。

糖尿病患者

杨梅的含糖量在10%以下,属于含糖量较低的水果,“糖友”可以选择食用。但并不是所有的糖尿病患者都可以吃杨梅。

血糖不稳定的患者,在高血糖的基础上再摄入杨梅,会导致血糖进一步升高。

加载中...