新浪财经

女子吃杨梅吃进医院!?吃杨梅要注意这些

环球网

关注

来源:CCTV4

最近水果界的“顶流”是谁?

杨梅当仁不让

不过,每年这个时候

都会有人因杨梅进医院

听信谣言吃杨梅不吐核可以“排毒”

阿姨痛到进医院

就在几天前,神色焦急、表情痛苦的王阿姨(化姓)急匆匆步入余姚市中医医院消化内科诊室。“医生,我肚子很疼!你快帮我看看,我这是怎么啦?”一坐下,她就向主任医师谷红苹诉起了苦。

经过询问后,谷红苹得知,王阿姨听信了吃杨梅不吐核的谣言,想通过吃杨梅为身体“排毒”。

当天下午,她刻意吃杨梅不吐核,很快就将一大碗杨梅吃完。在吃下杨梅的次日凌晨,王阿姨就开始出现了严重的腹痛。剧烈的腹痛导致她痛不欲生,恨不得在地上打滚。因此,王阿姨一大早忍着强烈的腹痛,来到了余姚市中医医院消化内科求诊。

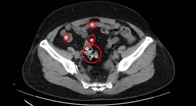
CT影像显示,王阿姨的肠内存在多处类圆形高密度影,密密麻麻的圆圆小白点正是滞留在肠道内的杨梅核,这是导致患者腹痛不止的罪魁祸首。

“这种情况下,患者很有可能会引发胃痉挛和肠梗阻,要尽快将杨梅核排出体外。”谷红苹首先为患者进行解痉止痛治疗,然后为其开具了通便的药物促杨梅核排出。在药物的帮助下,王阿姨成功在第二天完成排便,肠道内的杨梅核也顺利排出体外。

谷红苹表示,杨梅核本身非常坚硬,很难被肠胃消化,特别是老人和婴幼儿要更加当心,吞食杨梅核还可能误入气道,引发窒息风险。如果是无意间吞咽下一两颗杨梅核,对于人体来说并无大碍。可如果是听信他人谣传,刻意吞咽大量杨梅核,不仅容易噎住,还会在狭窄的肠道内产生淤堵引起腹痛症状,甚至可能引发胃出血、肠穿孔或是肠梗阻等多类肠胃疾病,后果不堪设想。

“从中医角度来看,从未有过吞食杨梅核治病的说法。”谷红苹说,她查阅相关文献,只有记载将杨梅核碾碎成粉末,煎煮后泡脚,有一定治疗脚气的功效。吃杨梅核可以排毒清肠只是谣传。

谷红苹提醒广大市民,胃溃疡、十二指肠溃疡、消化道炎症、慢性便秘和有过消化道手术病史的人群,绝对不可吞食杨梅核,这样极易引发肠梗阻、胃肠穿孔等疾病,严重时可能会威胁生命,风险不容小觑!

吃杨梅要注意什么?

根据《中国居民膳食指南》建议,水果每天摄入量最好控制在200~350g,如果一天水果类只吃杨梅,食用量建议不超过20颗。食用杨梅后应及时漱口或刷牙,以免损坏牙齿。

这些人不适宜吃杨梅

胃病患者:有胃炎、胃溃疡的患者,尽量控制吃杨梅量。胃酸大量分泌,大量的消化液充盈在胃部,反复刺激消化性溃疡炎症部位,容易出现溃疡出血,进而引发剧烈胃痛等胃部不适。

尿病患者:杨梅的含糖量在10%以下,属于含糖量较低的水果,“糖友”可以选择食用。但并不是所有的糖尿病患者都可以吃杨梅,血糖不稳定的患者,在高血糖的基础上再摄入杨梅,会导致血糖进一步升高。

肾功能不全患者:杨梅含钾量高,100g杨梅中的含钾量就有149mg。而我们人体中80%-90%的钾由肾脏排出,对于肾功能不好的人来说,肾脏无法排出过量的钾,就会非常危险,应特别注意避免过量食用。

来源:央视新闻

加载中...