新浪财经

小切口单孔微创,肺癌根治更精准

媒体滚动 2024.06.15 21:00

转自:上观新闻

近日,仁济医院嘉定分院(嘉定区中心医院)胸外科李建新主任医师团队成功完成一例小切口单孔胸腔镜下右肺上叶癌根治性切除术。

68岁的江阿姨患有直肠癌、急性髓系白血病以及高血压、糖尿病等基础疾病,曾接受过直肠癌根治切除和永久造瘘手术治疗,后一直在嘉定区中心医院血液内科进行随访治疗,江阿姨病情逐渐稳定。

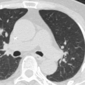
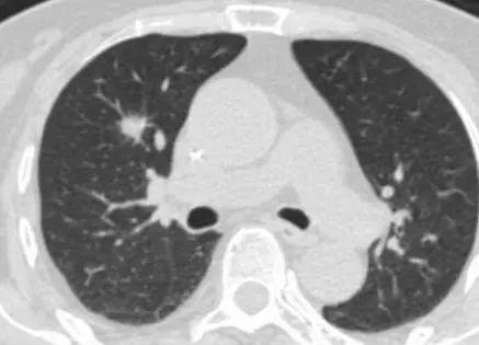
一年前,江阿姨复查体检时发现右肺上叶前段临近肺门有一孤立性结节,为边缘毛糙的实性结节,大小约为10×11毫米,医生考虑为原发或转移性肿瘤。家人赶紧带着江阿姨前往市区三甲医院就诊,辗转多家医院后,由于患者年纪大,加之合并症多,手术复杂且风险高,均未被收治。

近日,江阿姨再次到来到嘉定区中心医院血液内科治疗,得知江阿姨的诉求后,医院血液内科马上联系了胸外科李建新主任团队一同展开会诊。“结合患者CT考虑肺癌,且有手术指征。如果不限期手术,恐怕病情进展太快而失去最佳治愈机……”李建新表示。

手术切口小于3厘米在患者本人及家属一致认可治疗方案后,5月31日,江阿姨的手术如期进行。李建新为江阿姨进行了单孔胸腔镜下右上肺癌根治术,术中仅通过一3厘米不到的小孔就对纵隔淋巴结进行了彻底清扫。

术后4天,江阿姨各项指标平稳,顺利出院,结合术后病理提示,达到完全手术根治,无需放化疗等后续治疗。

“我之前也在其他医院做过肺结节手术,开了好几个口子。没想到这次用这么一个小孔就完成了这么高难度的手术,妈妈术后恢复也相当快,真是太感谢了!”江阿姨的女儿表示。

近年来,嘉定区中心医院胸外科专注于微创技术的发展,从开胸、三孔、双孔到单孔胸腔镜,微创技术不断迭代进步,在积累足够技术储备后,已独立开展“动脉归属法”——早起肺癌微创手术、经胸腔镜交感神经链切除术、右肺上叶癌根治性切除术等小切口单孔胸腔镜手术。今后,医院将继续围绕技术创新开展持续攻关,让患者在“嘉”门口就能享受到高品质的医疗服务。

专家介绍

李建新

胸外科 主任医师

擅长单孔胸腔镜下肺叶、肺段及联合肺亚段切除术、肺癌扩大切除术;胸、腹腔镜联合食管癌切除术;剑突下单孔胸腔镜下纵膈肿瘤切除术;贲门失迟缓症、食管裂孔疝微创手术治疗等。

专家门诊时间:周一全天、周三下午

加载中...