新浪财经

省内首例!心血管内科完成经导管三尖瓣环修复术

齐鲁晚报

关注

转自:大众报业·齐鲁壹点

近日,在张运院士和张澄主任指导下,山东大学齐鲁医院心内科安贵鹏主任医师带领的结构性心脏病团队完成了省内首例经导管三尖瓣环修复术,标志着山东大学齐鲁医院率先开启了心脏瓣膜病四瓣皆可微创介入治疗的新时代。术中应用全球首创的K-Clip系统,为一位重度三尖瓣反流患者成功实施了经导管三尖瓣介入修复术。患者术后三尖瓣反流明显改善,已于术后第四天顺利出院。  

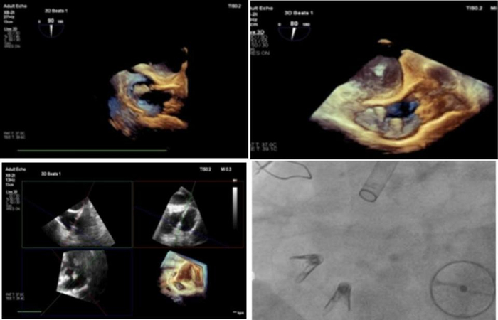
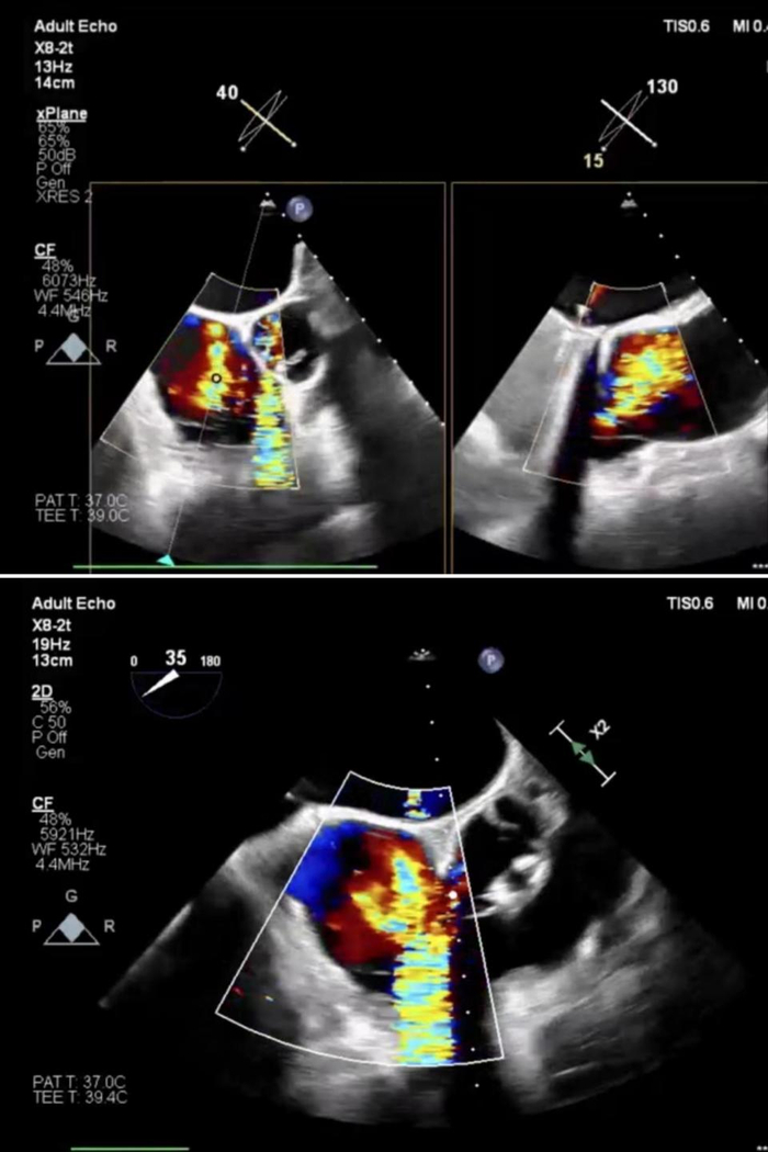
患者老年女性,因“双下肢水肿,伴活动后四肢乏力半年”入院。既往二尖瓣置换术20多年,高血压病史20年、糖尿病史4年。心脏超声检查示:三尖瓣重度反流。入院诊断有心脏瓣膜病、三尖瓣关闭不全(重度)、主动脉瓣关闭不全(中度)、肺动脉高压(中度)、二尖瓣置换术后 心功能IV级(NYHA分级)、高血压(2级,很高危)、2型糖尿病 、心律失常、持续性房颤。 STS评分示外科手术高危。经食道超声提示:右心房扩大,瓣环扩张,瓣叶拴系高度6mm,隔叶栓系引起前叶、后叶与隔叶间错位,后隔间隙最宽约8.8mm,反流缩流颈宽度12.7mm,反流量68ml,右房面积21.7cm2,TAPSE:23mm。  

该患者二尖瓣机械瓣置换术后,隔瓣受牵拉导致瓣叶拴系,对和不良,三个瓣叶相互之间GAP较大。经团队综合评估,决定在三尖瓣后隔瓣环交界处植入12T K-Clip®、前后瓣环交界处植入14T K-Clip®,通过缩小瓣环、增加瓣叶对合,达到关闭缝隙、改善反流的效果。 

患者全麻后,行右侧颈静脉穿刺,将12T K-Clip®系统送达右心房内。在经食道超声引导下,对K-Clip®系统进行调姿,指向目标瓣环区,将K-Clip®锚定到位,打开夹持臂到最大角度,夹合,评估反流改善情况,解离器械退出系统。同样方法将14T K-Clip®系统夹合于前后瓣交界处。超声评估示反流下降至轻—中度,冠脉造影示冠脉血流与术前相同,达到满意效果,缝合血管,手术结束。患者术前重度三尖瓣反流。术前三尖瓣环面积10.3cm²,周长11.5cm;术后三尖瓣环面积6.6cm²,周长9.3cm。

三尖瓣反流是由于三尖瓣关闭不全从而导致在心脏收缩时血流从右心室反流到右心房的一种病理状态。重度三尖瓣反流,会导致心脏负荷加重、心功能下降,表现为疲劳和周围组织水肿,最终导致患者长期生存率及生活质量下降。临床上药物治疗长期疗效有限;传统的外科手术治疗创伤大、风险高、恢复慢。K-Clip经导管三尖瓣环成形系统为我国自主研发,目前已完成了上市前确证性临床研究入组。术后1年随访,手术成功率较高,器械安全性好;且与术前相比,绝大部分受试者的三尖瓣反流严重程度及NYHA心功能分级均得到了改善;受试者的运动耐力及生活质量均得到明显提升。K-Clip经导管三尖瓣环成形系统的应用为广大三尖瓣中重度反流的患者带来了福音。 

近年来,齐鲁医院心内科结构心脏病团队在安贵鹏主任医师的带领下取得了系列成绩,继TAVR(经导管主动脉瓣置换术)、TPVR(经导管肺动脉瓣置换术)和TEER(经导管二尖瓣缘对缘修复术)之后,又一项国际前沿技术—经导管三尖瓣环修复术在我院成功落地。

山东大学齐鲁医院心内科一直以来在深厚的基础上不断探索创新,先后开展了主动脉瓣、二尖瓣、肺动脉瓣和三尖瓣的微创介入治疗,成为国内名列前茅的结构心脏病介入治疗团队。经导管三尖瓣环修复术的顺利开展,无疑为更多心脏瓣膜病患者带来更安全、更有效的治疗方法及崭新的希望。

(通讯员:董梅   山东大学齐鲁医院心血管内科)  

加载中...