新浪财经

全国爱肤日

媒体滚动 2024.05.24 21:00

转自:上观新闻

随着年龄增长,很多家长都不约而同的发现自己家小朋友原本光洁的脸上出现了很多烦人的小痘痘—痤疮(就是我们常说的青春痘)。青春痘的出现让小朋友和家长们都非常苦恼,但在面对形形色色的治疗药物时,他们往往又会比较担心副作用。所以今天皮肤科医生就带你们了解一个治疗痤疮的好方法—LED红蓝光

首先简单介绍下痤疮。

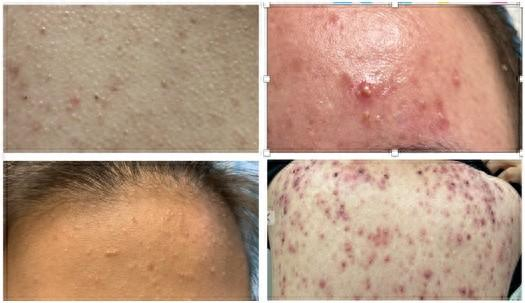
痤疮是一种好发于青春期、主要累及面部毛囊皮脂腺单位的慢性炎症性皮肤病。皮脂分泌过多、毛囊皮脂腺导管堵塞、细菌感染和炎症反应等因素都与痤疮密切相关。进入青春期后人体内雄激素水平迅速升高,促进皮脂腺发育并产生大量皮脂。若油脂不能及时排出而堵塞毛孔,则使痤疮丙酸杆菌大量增殖,破坏表皮细胞而引发炎症反应,出现各种皮损。

痤疮的皮损可表现为白头粉刺、黑头粉刺、丘疹、脓疱、结节、囊肿等多种类型。皮损消退后常遗留红斑、色素沉着及瘢痕形成,这与痤疮严重度、个体差异或处理不当密切相关。

那出现痤疮后,该怎么治疗呢?

对于不同年龄段、不同皮肤成熟度、生长发育情况、皮损严重程度的痤疮患者,治疗方案均有差异,要强调个体化治疗。对于轻度和轻中度痤疮,外用药物治疗为主,可选择诸如过氧化苯甲酰、维A酸类药物、抗生素药物等局部外用。中重度及重度痤疮则首选系统性治疗,同时辅助外用药治疗。系统性用药诸如抗生素药物、维A酸类药物、激素类药物等。

针对青少年,受年龄、生长发育所限,的确可选择的药物种类较少,结合物理治疗方式,达到更好的治疗效果。物理治疗主要包括光动力、红蓝光、激光与光子治疗等。其中红蓝光治疗过程简单,非常温和,没有疼痛及其他不适,并且经济有效,所以应用最为广泛。

啥是LED红蓝光?

LED红、蓝光是两种可见光,波长分别为630nm和415nm。

LED蓝光作用于靶细胞,可通过激活病原体内天然内源性光敏

(如卟啉类、黄素类物质),产生内源性光动力效应,进而杀灭痤疮丙酸杆菌。LED蓝光还可抑制痤疮发病过程中的相关炎性因子,具有改善痤疮皮损的作用。

LED红光则具有促进面部皮肤细胞的新陈代谢,加速血液循环、增强新胶原质弹性蛋白和胶原蛋白的生长,促进细胞生长等作用,从而达到面部痤疮皮肤治疗后的修复效果。

红蓝光联合治疗痤疮通常每周照射2-3次每次12-15分钟持续4-8周左右,配合药物治疗即可达到较好效果。

做红蓝光治疗后该怎么护理呢?

红蓝光治疗后,需要保持面部清洁和保湿。尽量不使用化妆品,只使用洗面奶进行清洗并使用润肤剂保湿。治疗后还需注意防晒。外出时使用防晒伞、或宽檐帽,并记得涂抹防晒霜。

如果在初期治疗后出现了轻微的瘙痒、发红、干燥等,一般做好保湿、防晒后会自行缓解。尽量避免热水烫洗、搔抓,或滥用刺激性强的外用药。

患有光敏性疾病(例如红斑狼疮、日光性皮炎),或患有光照后会诱发加重的疾病(如着色性干皮病、卟啉病)等;或近2周内使用维甲酸类药物的患者都需要避免使用LED红蓝光治疗。

生活中患者还需要注意哪些方面呢?

限制高糖和油腻饮食及奶制品尤其是脱脂牛奶的摄入,适当控制体重、规律作息、避免熬夜及避免过度日晒等均有助于预防和改善痤疮发生。

痤疮患者皮肤常伴有皮脂溢出,皮肤清洁可选用控油保湿清洁剂洁面,去除皮肤表面多余油脂、皮屑和微生物的混合物,但不能过度清洗,忌挤压和搔抓。清洁后,要根据皮肤类型选择相应护肤品配合使用。

应谨慎使用或选择粉底、 隔离、 防晒剂及彩妆等化妆品,尽量避免化妆品性痤疮发生。

痤疮呈慢性过程,患者在治疗中需要定期复诊,根据治疗反应情况及时调整治疗及护肤方案,减少后遗症发生。

为方便广大患儿就诊,我院皮肤科特开设“痤疮专科门诊”,专科医生临床经验丰富,检查手段多样,根据患儿情况制定个体化诊疗方案,口服和外用兼顾,制定个体化治疗方案。

门诊时间:

北京西路院区门诊三楼皮肤科:周二上午、周五全天

泸定路院区门诊三楼皮肤科:周三、周五全天

LED治疗时间:泸定路院区,周一至周日全天

点击预约》》》

加载中...