梨状肌综合征:别让“屁股痛”成为你的难言之隐
网站滚动
转自:上观新闻
你是否曾经因为屁股痛而烦恼不已?走路时、坐下时、甚至睡觉时,那种隐隐的痛感总是挥之不去。也许,您正在经历的就是梨状肌综合征。今天,就让我们通过小王的经历来一起揭开这个“屁股痛”背后的秘密。
小王的“难言之隐”
近日平时喜欢健身运动的小王到门诊来就诊,诉说着二个月来一直折磨着他的“屁股痛”。二个月前在一次深蹲锻炼后的放松拉伸时开始出现臀部的疼痛,贴了点膏药后症状缓解了也就没当回事。接下去的一周疼痛开始反复出现,除了臀部外,还出现了髋关节痛,有时疼痛甚至于放射到小腿。小王开始有点不放心了,到其他医院就诊的时候诊断为腰椎间盘突出症,但是治疗后症状并没有如预期中的缓解。带着困惑小王来到仁济医院骨关节外科希望得到明确的诊断。
医生的诊断:梨状肌综合征
经过医生仔细的体格检查和阅片后,排除了腰椎间盘突出的问题,最终的诊断是梨状肌综合征。梨状肌对小王这位健身达人来说也很陌生,在和医生的交流中,也终于清楚了这个病的由来,消除了心中的困惑。同时在后续的治疗中,症状得到了明显的缓解。
左图:正常的梨状肌和坐骨神经解剖(P:梨状肌 SN:坐骨神经)
右图:梨状肌损伤后在坐骨神经表面形成粘连的纤维束带
01 梨状肌:一块不起眼但又很重要的肌肉
首先,我们要了解一下梨状肌。梨状肌是位于人体臀部深处的一块扁平带状肌肉,它的主要功能是保持髋关节的稳定,确保大腿能够正常抬高和外旋。而其重要性体现在支配下肢的主要神经—坐骨神经,从它的前方穿过。
当梨状肌受到损伤,发生充血、水肿、痉挛、粘连和挛缩时,它的肌间隙会变得狭窄,挤压从中穿出的坐骨神经。这种挤压会导致一系列临床症状和体征,我们称之为梨状肌综合征。
02 梨状肌综合征的病因和临床表现
梨状肌综合征最早由Robinson于1947年提出,包括髋关节疼痛、臀部的疼痛和无力感,尤其是久坐(开车)或坐姿起身时最为明显。严重时,患者可能会感到腿部或足部的麻木和疼痛,甚至髋关节的运动也会受到限制。
那么,梨状肌综合征是如何产生的呢?其实,它的原因多种多样。长期过度行走或跑步,长期保持不良坐姿,如跷二郎腿,桌椅的高度与人体不相符,都可能导致梨状肌过度使用或受到压迫。此外,髋关节过度内外旋或外展,长时间肩负重物、久站、久蹲等也可能引发梨状肌的损伤。还有一些特殊情况,如注射药物使梨状肌发生变性,纤维挛缩,或是外伤导致梨状肌损伤、出现粘连,都可能引发梨状肌综合征。
图:梨状肌综合征患者常见臀部疼痛
图:梨状肌肌间隙狭窄,压迫到坐骨神经
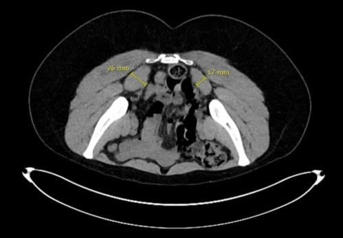
图:梨状肌综合征患者CT可发现双侧梨状肌不对称肥大
03 梨状肌综合征的诊断及治疗
目前梨状肌综合征的诊断主要还是依靠医生仔细的特殊体格检查,以及CT或核磁共振的结果。这个病的临床表现很容易与腰椎间盘突出、髋关节疾病相混淆,因此建议患者需到骨关节专科医生这里就诊。
治疗梨状肌综合征的方法多种多样,包括物理治疗、药物治疗和手术治疗。物理治疗如电疗、红外线热疗和超声波冲击等,可以帮助缓解肌肉疼痛,改善局部血液循环。药物治疗则主要通过服用非甾体抗炎类药物或糖皮质激素类药物来减轻炎症和疼痛。对于物理和药物治疗效果不佳的患者,还可以考虑关节镜下微创手术治疗,如梨状肌切断术,以解除坐骨神经的压迫症状。
a:梨状肌综合征患者因纤维束带卡压导致坐骨神经水肿变平
b:关节镜下微创神经松解术后神经表面血管恢复正常
医生提醒:
科学认知,不必恐慌
面对梨状肌综合征,我们不必过于恐慌。首先,我们要保持正确的生活姿势,避免长时间保持同一姿势,定期进行适当的运动,以增强肌肉的力量和柔韧性。其次,如果感到臀部疼痛或不适,应及时就医,通过医生的检查和诊断,确定是否患有梨状肌综合征。
总之,梨状肌综合征虽然会给我们的生活带来一些不便,但只要我们保持正确的姿势,及时就医,积极配合治疗,就一定能够战胜它。让我们一起关注臀部健康,远离“屁股痛”的困扰吧!