新浪财经

突发眩晕,是脑中风吗?

看看新闻KNEWS

关注

眩晕是急诊常见的就诊原因之一,临床表现为在没有自身运动的情况下感知到头部和躯干在自身运动的感觉,典型的表现就是天旋地转感,有时也表现为摇晃感、倾斜感、浮动感和滑动感等。

眩晕会引起人体的强烈不适,因此面对突发的眩晕,患友们往往非常紧张,常常会问:“医生,我突然感觉天旋地转,眼睛都不敢睁,感觉快不行了,我是不是脑中风了?我会不会瘫痪?我会不会变成植物人?”。急性眩晕,到底有哪些原因呢?是不是急性眩晕的发生就意味着脑卒中呢?急性眩晕应该如何进一步治疗呢?

急性眩晕的病因

急性发作的眩晕有很多种病因,常见的包括以下六种。

1.良性发作性位置性眩晕

俗称“耳石症”,是引起急性眩晕发作最常见的原因。该病是由于内耳的椭圆囊/球囊囊班上的耳石脱落至半规管中引起,主要表现为头部位置发生转变过程突然出现的眩晕发作,持续时间很短,常<1分钟,可伴有恶心、呕吐的症状。可诱发眩晕发作的动作包括起床、躺下、翻身、转头、抬头或低头时。

2.梅尼埃病

梅尼埃病是导致急性眩晕发作的第二常见病因,是由于内耳的内淋积水引起。典型的临床表现为眩晕+耳鸣+听力丧失三联征。眩晕往往反复发作,发作时伴有耳鸣、走路向一侧倾倒,随着发作次数的增加,听力会逐步进行性丧失,直至完全失聪,眩晕也不在发作。

3.前庭神经炎

前庭神经炎是导致急性眩晕发作第三常见的疾病,和病毒感染有关。临床表现为急性持续性眩晕,伴有恶心、呕吐、行走不稳、向一侧倾倒,但不会出现耳鸣、听力下降。前庭神经炎往往是单相病程,不会反复发作。

4.前庭性偏头痛

有偏头痛病史的患友可以在偏头痛发作时出现典型的急性眩晕发作,眩晕可发生在偏头痛发作前、发作过程中或发作后,甚至也可无头痛发作仅出现眩晕症状,往往同时伴有恶心、呕吐、畏光、畏声等典型偏头痛的伴随症状。

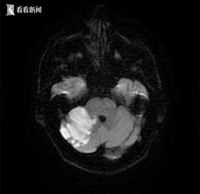
5.脑梗死

脑干或者小脑的急性脑梗死也可表现为急性的眩晕发作,但同时会伴有肢体无力、肢体或头面部麻木、吐字不清、吞咽困难、饮水呛咳、视物重影、眼睑下垂等脑干小脑功能缺损的症状,严重者可出现昏迷。这些患友常有基础心脏病变或动脉硬化的危险因素,如房颤、心瓣膜置换术、风湿性心瓣膜病变、高血压、糖尿病、高脂血症、肥胖、吸烟等。在青年人群中,椎动脉夹层是导致脑干或小脑脑梗死的重要原因,这和其血管壁发育存在缺陷以及颈部外力刺激有关,如颈部按摩、甩头、急刹车、颈部外伤等。值得注意的是单纯的眩晕而不伴有其他神经系统症状很少是后循环脑梗死导致。

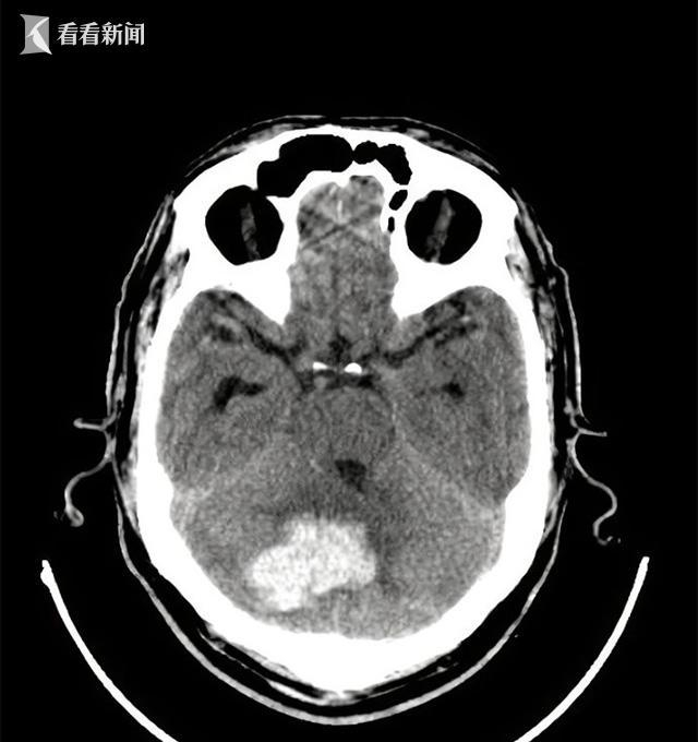
6. 脑出血

脑干、小脑、四脑室的脑出血也可表现为急性出现的眩晕发作,但往往同时伴有剧烈头痛、恶心、呕吐、肢体瘫痪、血压增高,常常很快就会进展意识不清、昏迷。导致脑出血最常见的原因是没有得到有效控制的高血压、脑动脉瘤、脑动静脉畸形等。

急性眩晕应该做哪些检查?

由于急性眩晕可以是以上多种不同的疾病导致,虽然不同疾病之间临床症状的差异有助于区分背后的可能病因,但对于不典型的病例进行进一步的辅助检查对明确诊断还是十分重要的。

头颅影像学的检查(包括头颅CT与磁共振)是十分必要和紧迫的,因为我们需要快速排查急性眩晕是否是由于脑梗死或脑出血这种可危及生命的疾病引起。头颅CT可快速发现是否存在脑出血,但对发病时间很短(

位置试验对诊断良性发作性位置性眩晕至关重要,所谓的位置实验就是利用手法改变患友的头位,观察是否可有诱发眩晕。如果转变头位时可诱发眩晕和典型的眼球震颤,那么可以确诊为良性发作性位置性眩晕。

听力的检查对区分急性眩晕的病因也很重要,因为良性位置性眩晕和前庭神经炎都不会出现听力的下降,而梅尼埃病往往会合并听力的减退。

前庭功能检测对诊断前庭神经炎有提示意义,前庭神经炎患有往往出现一侧的前庭神经功能显著减弱。

急性眩晕该怎么治疗?

急性眩晕的治疗包括对症支持治疗和病因学治疗两个方面。

对症支持治疗

为了缓解眩晕的症状,可以考虑应用前庭抑制剂,如异丙嗪、地西泮、氯丙嗪等药物。但这些药物不建议长期使用,原则上不超过3天,因为它们会延迟前庭中枢代偿的建立。眩晕往往会同时合并恶心、呕吐,可以考虑临时使用止吐药如胃复安等。

病因学治疗

针对急性眩晕的不同病因制定个体化的治疗方案。

1.良性发作性位置性眩晕

复位治疗是良性发作性位置性眩晕的最有效治疗方案,包括手法复位以及仪器辅助的复位,多数患友经过1-2次复位治疗后便可痊愈。

2.梅尼埃病

梅尼埃病患友需要低盐饮食,同时服用倍他司汀,经鼓膜滴注地塞米松也被证实可显著控制梅尼埃病的眩晕症状。对于顽固性病例,可考虑行内淋巴囊减压手术、前庭神经切断术等手术治疗。

3.前庭神经炎

虽然前庭神经炎和病毒感染有关,但抗病毒治疗并不能改善前庭神经炎的预后,而糖皮质激素在部分研究中显示出一定的疗效,可考虑短期应用。倍他司汀和银杏叶提取物被证明可促进前庭代偿也有助于前庭神经炎的恢复。

4.前庭性偏头痛

前庭性偏头痛应该按照偏头痛的标准治疗方案进行处理。急性发作期可考虑曲普坦类药物口服,包括佐米曲普坦、利扎曲普坦等。如果发作频率较高,需要考虑服用预防性药物降低发作频率,可选择的药物有氟桂利嗪、普萘洛尔、丙戊酸钠、托吡酯等。

5.脑梗死

急性脑梗死是由于脑部血管堵塞引起,因此最有效的治疗是血管再灌注治疗,包括静脉溶栓和机械取栓两种方案。如果发病时间不超过4.5小时,急性脑梗死引起的眩晕应该接受静脉溶栓治疗,常用的药物有阿替普酶和替奈普酶。如果脑梗死有由于颅内外大血管闭塞引起,单纯静脉溶栓的效果往往很差,此时需要进行机械取栓治疗,通过微创的技术将取栓装置置于血栓部位,再将血栓取出体外,最终达到恢复脑部血流的目的,现有证据表明发病24小时内的大血管闭塞均可考虑进行取栓治疗。值得注意的是,时间就是大脑,对于急性脑梗死引起的眩晕,越早接受再灌注治疗,临床获益越大。

6.脑出血

脑干、小脑或四脑室的出血病情十分危重,需要进行外科手术清除血肿。即便如此,此类疾病也常常预后不佳,最终演变成持续植物状态或脑死亡也不少见。

总结

急性眩晕是常见的临床症候,病因以良性位置性眩晕最为多见。单纯的眩晕发作很少是由脑中风引起,但脑中风却是急性眩晕所有病因中最危险的类型。患友们如果出现急性眩晕发作,应详细记录眩晕的特点、规律和伴随症状,及时就医,通过相关的检查明确诊断,积极配合治疗,越早治疗,越快恢复。

陈尉华,医学博士,上海交通大学医学院附属仁济医院急诊科副主任医师。

王子高,医学博士,上海复旦大学医学院附属华山医院神经内科副主任医师。

编辑: 钱俣颢

责编: 董一华

加载中...