新浪财经

走出迷“弓”,什么是上牙弓狭窄?丨贤医健康说

媒体滚动 2024.04.12 18:00

转自:上观新闻

上牙弓狭窄的诊治

奉牙说

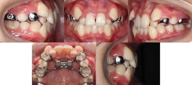
案例:梓豪的牙齿换后歪歪扭扭的,还有点龅牙,很影响美观,妈妈带他来正畸医生这咨询牙齿矫正,被医生告知他的上牙弓发育太窄了,需要扩弓治疗,那什么是牙弓狭窄呢?我们一起来了解一下吧!

一 什么是上牙弓狭窄?

上牙弓狭窄是指上颌骨在发育过程中由于先天或后天因素导致上颌牙弓的宽度明显小于下颌牙弓的宽度,进而使上下牙弓的牙量骨量不调。这种情况可能会造成牙齿排列不齐;上下颌骨关系不调影响颜面部美观。

二 上牙弓狭窄的原因

遗传因素

家族中有上颌骨发育不足,可能增加后代出现上牙弓狭窄的风险。

不良习惯

如长期的口呼吸、吸吮手指、咬唇等不良口腔习惯,可能影响上颌骨的正常发育。

疾病或创伤

某些疾病(如佝偻病),鼻咽部炎症等或上颌骨创伤可能导致上颌骨发育障碍,进而引发上牙弓狭窄。

三 上牙弓狭窄的治疗

上牙弓狭窄主要的治疗方法是通过上牙弓扩弓打开腭中缝的方式使上下颌骨得以匹配。上颌扩弓不仅能扩大上颌骨重塑颌面部软硬组织,还能增加气道容积改善通气从而治疗长期口呼吸导致的颜面部问题。

具体治疗方案应根据患者的年龄、病情严重程度等因素综合考虑,一般来说,儿童和青少年时期(6岁至12岁)是上牙弓扩弓的最佳时机。常见的扩弓的方式有以下几种:

①上颌活动式扩弓器

这是一种通过卡环固定在牙齿上,可脱卸的扩弓器。矫治力通过基托和牙齿扩开腭中缝,它适用于乳牙期的儿童和替牙期的青少年。

②上颌固定式扩弓器

这是一种通过粘接在牙齿上固位的固定式扩弓方式。通过扩弓能够有效地打开腭中缝,随后腭中缝会被新生骨慢慢填满,它适用恒双尖牙已萌出的青少年。

③正畸弓丝辅助扩弓

这是一种借助弓丝的回弹性和高张力对口腔内比较拥挤的牙列施加颊向和向前的分力的治疗方式。它适用于牙列轻度拥挤、牙弓轻度狭窄、后牙舌侧倾斜、直面型或凹面型的患者。

④微种植辅助扩弓(MSE)

这是一种利用四颗微种植体和螺旋扩弓器联合的扩弓方式。它适合于牙弓横向不调并且腭中缝已闭合的青少年和成年人。

⑤外科手术辅助扩弓

这是外科手术与正畸联合的扩弓方式,主要适用于腭中缝已经关闭的青少年和成年患者。

总之,上牙弓狭窄是一种常见的口腔错畸形,可能对患者的生活质量和面部美观造成影响。对于已经出现上牙弓狭窄的患者,应及时就医并遵循医生的建议进行治疗。

报送:沈群(奉贤区卫健委)

编辑:何海丹

加载中...