新浪财经

得了白血病,又发现了肝癌,有救吗?

媒体滚动 2024.03.28 20:01

转自:上观新闻

林先生去年9月因反复疲软乏力伴发热,在外院骨髓检查提示急性髓细胞白血病,入同济大学附属同济医院血液内科就诊,确诊为急性髓系白血病,予以阿扎胞苷+Bcl2抑制剂治疗。

在住院期间,患者查上腹部CT后提示肝左右叶交界处肝癌,经同济医院肝胆外科中心主任谭蔚锋会诊后进行后续治疗。

肝胆外科中心团队进行讨论:虽然患者患有白血病,但是经过前期的3个疗程的药物治疗,目前白血病得到了一定的控制,处于巩固强化治疗期,所以仍然有手术的可能。那么就需要一边纠正白血病药物治疗引起的骨髓抑制,一边纠正贫血和改善患者营养,积极进行患者的肝癌术前准备。

1月3日,肝胆外科中心团队根据患者的血常规检验报告,评估患者贫血及白细胞等指标改善,可以进行手术。

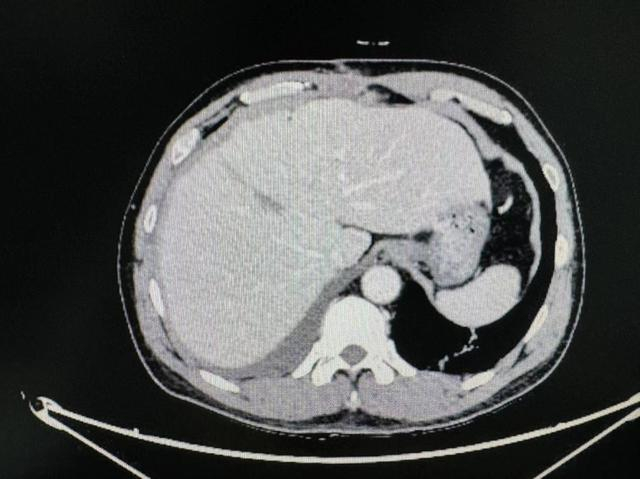
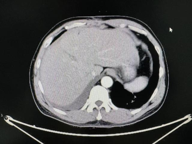
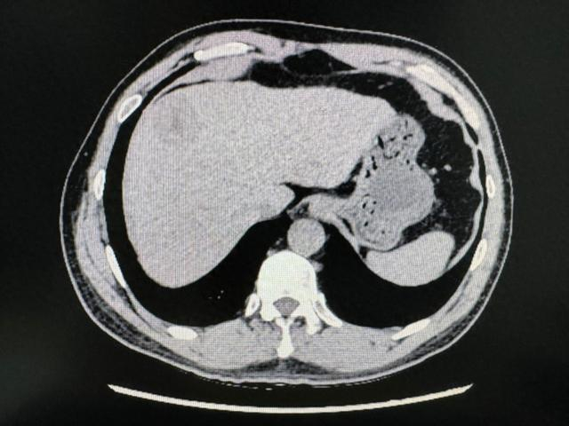
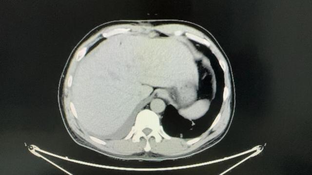
术前影像学资料

1月4日行腹腔镜下特殊肝段切除术(肝中叶IVA+VIII段),术中病理为肝细胞癌。

患者术后第一天即拔除胃管,予保肝、抗凝、抑酶、抑酸、镇痛、止血等治疗,饮食从流质逐步过渡,鼓励床边及下床活动,于术后10天顺利出院。

术后创面对合整齐

目前患者已经再次入院进行肝癌的抗复发治疗。

白血病是一类造血干细胞恶性克隆性疾病。其克隆中的白血病细胞增殖失控、分化障碍、凋亡受阻而停滞在细胞发育的不同阶段。在骨髓和其他造血组织中,白血病细胞大量增殖累积,并浸润其他非造血组织和器官,同时抑制正常造血功能。以外周血中出现形态各异、为数不等的幼稚细胞为特征。

简单来讲就是白血病患者的造血功能发生异常,因而患者的机体免疫功能低下,易导致各种感染以及出血。

白血病患者需要进行化学、放射、标靶等治疗后,使病理性的白细胞减少,增加具有功能的白细胞,这样才能具有免疫力、抵抗力以及抗感染能力。

白血病合并肝癌患者

到底能不能手术呢?

本例白血病患者已经进行了3个疗程针对白血病的治疗,能否进行肝癌手术呢?

这就要取决于患者在手术的时候,白血病是否得到有效治疗及控制,其机体是否具有抗感染以及减少出血风险的能力。虽然在治疗白血病的同时会出现骨髓抑制现象,但是经过术前调整,血指标都能够得到有效纠正及改善,使患者在术后具备抗感染能力。

围手术期的精细化管理对白血病合并肝癌患者尤其重要,也对手术切除提出了更高的要求。本例患者在术前做好了充分准备:例如营养支持、血象和肝肾功能的调整,使机体达到手术的要求;术中进行严格止血,本例患者所有创面的主要离断血管及胆管的断端都进行了双重结扎或缝扎,预防术后的出血及胆漏;术后严密观察血化验指标,根据结果及时调整用药,特别是白血病患者对于病原体比常人更易感,所以加大对感染的监测力度,开展各种病原体的主动筛查。本例患者术后出现了白细胞下降及中性粒细胞的下降,经过血液内科的会诊及调整用药,很快得到纠正,患者也顺利渡过术后感染关。

在血液内科和肝胆外科中心的围手术期的管理及护理双重保驾之下,患者在术后10天顺利出院,与常规的肝癌手术的出院时间并无差别,所以白血病合并肝癌患者通过精细化的围手术期管理是可以手术的。

肝胆外科中心是同济大学附属同济医院特色学科科室,团队的目标是将科室建设成为“全流程智能服务”的品牌科室,为肝胆疾病患者提供一站式的诊疗服务,以肝胆恶性肿瘤微创手术(腹腔镜手术、肝胆Hybrid手术及机器人辅助手术)以及肝脏移植技术为肝胆外科中心学科发展特色。

\ 专 家 名 片 /

谭蔚锋

肝胆外科中心主任

主任医师

需门诊:周二上午、周四上午

专病门诊:转移性肝脏肿瘤 周二下午;胆道肿瘤 周四下午

吴孟超医学科技基金会肝胆腔镜外科医师联盟理事长,北京世纪慈善基金会肝胆腔镜外科医师志愿者公益基金理事长,首届国际肝胆胰协会中国转移性肝癌专业委员会秘书长,中国医药教育协会医疗装备发展促进工作委员会常委,首届国际肝胆胰协会中国腹腔镜肝脏切除发展与推广委员会委员,中国研究型医院学会智能医学专业委员会委员,上海市政府采购评审专家。

2005年开始从事终末期肝胆疾病的肝脏移植工作,例如肝硬化失代偿患者的肝脏移植,肝硬化合并肝癌患者的肝脏移植,肝硬化合并肝门部胆管癌的患者的肝脏移植,胆汁性肝硬化患者的肝脏移植治疗等,累计开展和参与肝脏移植手术100余例。2013年开始从事肝胆腔镜微创外科工作,实现了腹腔镜下右半肝切除,腹腔镜下扩大左半肝切除,腹腔镜下联合尾状叶切除的肝内胆管癌根治性切除术,腹腔镜下肝门部胆管癌及胆管下端癌根治性切除术,腹腔镜下胆总管囊肿切除肝胆管整形胆肠吻合术,腹腔镜下胰腺恶性肿瘤根治性切除术等一系列重大手术突破。从医以来,累计接诊肝胆外科患者约25000人次,开展肝胆外科手术约4000例,四级手术占50%以上,近10年来腔镜微创手术率达到50%以上。

网上预约挂号

转自|上海普陀

加载中...