新浪财经

爱“膝”如初,还老人一双无痛的膝

媒体滚动 2024.03.25 14:30

转自:联勤集结号

春天来了,很多老人却没法来一场说走就走的旅行,他们双腿呈“O型腿”表现,行走时疼痛难忍,这很可能是因为他们患上了“膝关节骨性关节炎(OA)”。

 膝关节骨性关节炎(0A)定义:是一种由于膝关节软骨退行性改变导致关节软骨及软骨下骨病变,继发关节疼痛畸形等表现的一组慢性退行性关节病。

膝关节骨性关节炎(0A)几乎占门诊就诊中老年人膝关节疾患的80%,其病因主要有:膝关节畸形、肥胖、外伤、劳损、遗传因素等,主要表现为膝关节僵硬、行走时膝关节内侧疼痛、怕冷、关节弹响等。

特点:

膝关节骨关节炎中最常见的类型就是“O型腿”即俗称“罗圈腿”等畸形引发的膝关节内侧软骨过度磨损导致的OA。且相当一部分膝骨关节炎患者膝关节病变以过度承压的膝关节内侧半为主,外侧半多数损伤轻微。

治疗原则为“金字塔”式的阶梯治疗,包括药物对症、功能锻炼、支具辅助、手术治疗等,具体包括但不限于:

1、口服及外用消炎镇痛药,口服氨基葡萄糖类药物及玻璃酸钠关节腔注射等润滑营养关节药物。

2、膝关节周围肌肉力量及关节稳定性锻炼,如直腿抬高、扎马步、靠墙蹲等。

3、针灸、热敷、理疗、减重、改变运动方式及习惯、支具辅助,适当限制活动等。

4、对于非手术治疗无效患者,可行微创及开放手术治疗。

随年龄增长,膝关节骨性关节炎病情常逐步恶化,膝关节疼痛症状往往会逐渐加重,发作日趋频繁,部分患者最终不得不行手术治疗,而膝关节置换术是广大患者最为耳熟能详的手术方式,但关节置换创伤大,风险高,病人主观感受欠佳,且有的患者还面临二次翻修问题,实在是“想说爱你不容易”。

那有没有保全膝关节的办法呐?

当然有,这就是-胫骨高位截骨术(High Tibial Osteotomy,简称HTO)。因为膝骨关节炎患者多数是因为膝内翻(罗圈腿)导致的下肢负重力线异常,从而加速了膝关节内侧磨损而致病,所以真正“除根”的治疗方法是通过手术消除“罗圈腿”,恢复下肢正常力线,而“胫骨高位截骨术”就可以实现这一目标。

胫骨高位截骨术(High Tibial Osteotomy HTO)简介

是通过胫骨上端截骨,纠正力线,优化膝关节负重分布,从而促进退变软骨修复,达到缓解疼痛,恢复膝关节的正常活动功能,达到保留自身膝关节同时解除病痛。

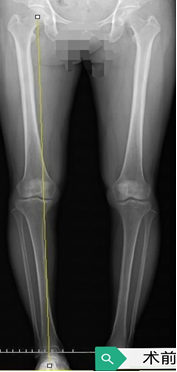
下面是近期一例患者的情况:

患者由术前的O型腿,下肢力线内移,膝内侧负重过度增加;术后恢复正常下肢力线:双下肢直立,并拢。正面观:双膝内侧可以接触,双踝关节可以并拢,膝关节恢复正常负重分布。 

哪些人群适合胫骨高位截骨术?

相对年轻活跃,有正常运动需求的患者(年龄<65岁),膝关节内翻且屈伸活动范围基本正常的骨性骨性关节炎患者。

 胫骨高位截骨术(HTO)优点 :可直接纠正下肢力线,手术简单、止痛效果好、功能恢复快,延长膝关节的自然寿命等。 

当然,手术也会存在一定风险,如:力线丢失偏移,感染,内固定钢板螺钉断裂等。但随着医疗技术的进步,高强度内固定的使用,并且选择合适的患者,以上风险很少出现。

日常生活中我们应该如何预防骨性关节炎的发生呢?

1、控制体重—减少对负重关节的压应力,减少磨损。

    2、合理锻炼—避免膝关节在屈膝位过度负重及长时间剧烈运动。

    3、运动前的热身—使关节处于良好的润滑及柔韧状态。

    4、注意关节保暖—保证关节正常新陈代谢。

    5、预防痛风—控制海鲜、动物内脏及酒类摄入,降低体内尿酸水平。

    6、注重关节稳定性训练—传统扎马步训练、站桩、靠墙蹲等都可酌情练习。

科室简介

联勤保障部队第987医院骨科,创建于1951年建院之初,是宝鸡市第一批建立的重点专科之一。集医疗教学科研于一体,为患者提供热情周到、文明满意的服务,经过60余年的努力与建设,科室已发展成为作风优良、技术精湛、仪器设备先进的优势专科。设有脊柱、关节、创伤、运动医学四个亚专业组,拥有美国进口C臂x线机,全碳纤维骨科牵引床,椎间孔镜系统,椎间盘镜系统,关节镜系统等高端手术辅助设备,同时拥有微电脑控制腰椎牵引床、关节运动康复系统、中频脉冲治疗仪、气压治疗仪、全自动冷敷系统等一系列康复理疗设备,为术后患者得到满意的功能恢复创造了条件。科室坚持“以质量为核心,以创新谋发展,全心全意为患者服务”,开展颅颈交界区畸形矫形、上颈椎骨折脱位手术复位固定融合、微创通道辅助下侧前路腰椎结核病灶清除融合技术、椎间孔镜下椎间盘髓核摘除技术、复杂骨盆骨折的联合入路整复技术及微创整复技术、膝关节退变性骨关节病HTO技术、关节镜下肩关节脱位手术修复、膝关节交叉韧带重建及半月板修复技术,均达到了地级市先进水平,为患者解除了病痛,得到了驻地群众及官兵好评。

门诊地点:门诊楼二楼

病房地点:外科楼5楼、6楼

联系方式:5楼 0917-8957322    

               6楼 0917-8957321

↓↓↓

    (温馨提示:转载内容请附上“联勤集结号”二维码,并注明“联勤保障部队官方微信公众号”。)

总 监 制:卢海波

总 编 辑:袁百舸

值班编辑:马志昂

对:莫若华张宜海

者:徐军鹏乔林

刊期:第 4458 期

加载中...