新浪财经

手术机器人助力,单次手术同时解决胃癌和肾癌

中国青年报

关注

中国青年报客户端讯(中青报·中青网记者王烨捷)日前,上海交通大学医学院附属仁济医院完成了一台特别的手术。这台手术由该院胃肠外科及泌尿科专家团队联合,利用达芬奇手术机器人,同时“解决”了一名病人体内的胃癌、肾癌双病灶。

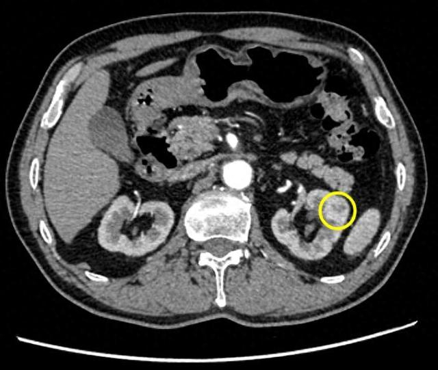
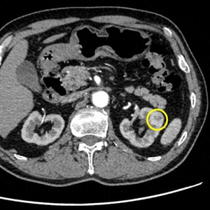
72岁的陈老伯在一次体检中发现在其胃窦体交界处有一处周围隆起、中央凹陷性的病灶,活检病理提示倾向认为是低分化腺癌。陈老伯随后来到仁济医院胃肠外科表示希望进行根治性手术治疗。但在入院检查中,医院意外发现陈老伯的右肾中部有个1公分结节,增强CT高度怀疑肾癌。

充分评估陈老伯情况后,胃肠外科张子臻团队与泌尿科翟炜团队、麻醉科俞卫锋团队共同制定了全面的治疗方案,决定为陈老伯进行达芬奇机器人手术,在同一次手术中同时完成胃癌及肾肿瘤根治切除。

记者了解到,手术过程中,“胃镜下病灶纳米碳定位术”和“达芬奇机器人”功不可没。

为了更精准地切除胃部病灶,胃肠外科顾佳毅医生为患者进行了“胃镜下病灶纳米碳定位术”。这一技术利用了黑色的纳米碳粒子对病灶进行高度定位,使医生能够在术中直观地观察并切除病变组织。这项技术不仅可以保留更多健康组织、减少手术创伤,还可以提高手术的精准度和安全性。

此外,胃肠外科张子臻团队与泌尿科翟炜团队充分利用达芬奇机器人可以在腹腔空间内灵活摆动、穿行的特点,针对胃部早期癌症以及位于后腹膜的肾脏肿瘤进行完整切除。达芬奇机器人能在手术过程中实现更小的切口和更精细的操作,减少患者的手术创伤和疼痛,减少术中出血量,降低手术并发症的风险。

目前,经术后7天的观察和治疗,陈老伯的身体状况稳定,腹部和腰部切口小、恢复快,已顺利出院。

责任编辑:姜蕾,余冰玥

加载中...