新浪财经

新华专家+机器人,出手“快、准、狠”,9岁男孩微创清除肾肿瘤!

媒体滚动 2024.03.15 13:02

转自:上观新闻

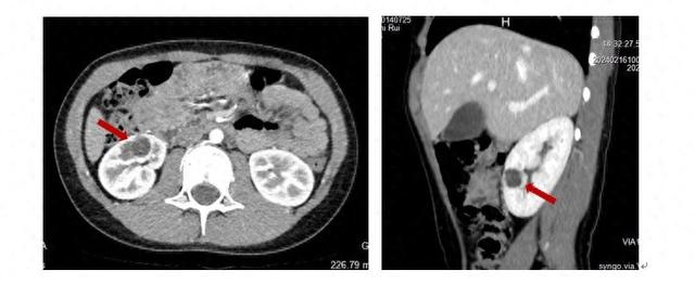
9岁男孩磊磊被右肾囊性肿块困扰已经2年多,近期复查时,竟然发现肿块逐渐增大!

小磊磊在父母的陪同下来到新华医院就诊。

新华医院泌尿外科崔心刚教授在接诊后通过详细的检查发现磊磊的右肾肿块为多房囊性肿瘤伴分隔,随即安排磊磊入院并行微创保肾手术

由于磊磊的右肾肿块为完全内生性,在肾脏表面无法直接分辨出肿瘤的具体位置,想要尽可能少的切除正常肾组织,需精确定位肿瘤的边界。崔心刚教授在为磊磊进行达芬奇机器人保肾手术时,通过机器人下超声准确探查出肿瘤的边界,快速切除了肿瘤并缝合创面,肾动脉阻断时间不足10分钟,很好的保护了患肾的功能。

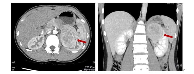
无独有偶,另一名14岁女孩若若偶然发现左肾大肿瘤,最大径约7.7cm,增强CT检查提示为肾脏恶性肿瘤。家长带着若若焦急地辗转于多家医院,均被告知需行左肾根治性切除,无法保肾。

通过医生的推荐,若若父母找到了新华医院崔心刚教授。崔教授通过充分的术前评估,制定了详细的手术方案,通过达芬奇机器人手术顺利进行了保肾手术,若若术后恢复良好。

这样保肾成功的小患者案例,新华医院还有很多。

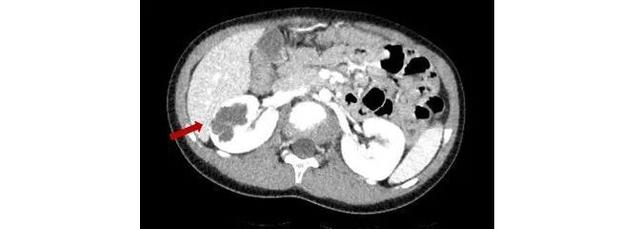
数月前一名5岁的小树也因发现右肾多房囊性肾肿瘤慕名找到新华医院崔心刚教授团队进行保肾手术。崔教授在仔细阅片后,发现该囊性肿瘤同样也是完全内生型,肿瘤大小接近4cm,且肿瘤的形态不规则,在保肾手术过程中发生肿瘤囊壁破裂的风险极大。崔教授在利用术中超声精确定位肿瘤边界后,顺利完整地切除了该肿瘤,很好地保留了残余肾功能。

据崔心刚教授介绍,儿童肾肿瘤的保肾手术有其特殊性,需做到“快、准、狠”,用最短的时间完成肿瘤的切除和创面缝合,以缩短肾动脉阻断的时间,是为“快”;尽量沿肿瘤的包膜将肿瘤完整剜除,以保留更多的正常肾实质,是为“准”;儿童肾肿瘤在早期应尽快行保肾手术,避免失去保肾机会,是为“狠”。

据悉,上海新华医院泌尿外科崔心刚教授团队每年完成肾肿瘤各类手术300余例,其中保肾比例超80%,近半年已为近10例儿童肾肿瘤患者完成保肾手术。作为达芬奇手术机器人中国泌尿外科临床手术教学示范中心,新华医院泌尿外科肾肿瘤团队充分利用机器人手术系统的优势,大大提高了复杂肾肿瘤保肾手术的上限,尽最大可能保留患肾功能,避免肾肿瘤患者术后的长期透析和生活质量的下降。

搜索

新华医院泌尿外科肾肿瘤亚专业在崔心刚主任的带领下,具有极高的知名度,慕名而来的国内外患者众多,率先开展各种保肾特色技术,被各大媒体广泛报道。主攻0-100岁+的全生命周期肾肿瘤患者的个性化微创(机器人、腹腔镜)手术,尤其擅长复杂肾肿瘤保肾手术、巨大肾肿瘤根治性切除术、肾癌伴腔静脉癌栓根治性切除术、晚期肾癌减瘤性肾切除术等。年肾肿瘤手术300余台,院外会诊肾肿瘤手术100余台,其中肾癌保肾手术比例超80%。

新华医院泌尿外科介绍

上海新华医院泌尿外科是上海交通大学医学院重点学科。"合和创新、追求卓越"是科室的一贯追求和核心理念。科室现有核定床位72张,实际开放90张。科室人才梯队完备,高级职称医师12名,博士学位医师20名,博士生导师2名,硕士生导师8名。每年住院手术患者逾7000例。

新华泌尿外科设有6大亚专业,诊治范围涵盖所有泌尿男生殖系统疾病,年均机器人手术达500余例,居国内前列。荣获“全国泌尿肿瘤MDT卓越中心”“国家临床研究与转化基地”“泌尿外科互联网影响力全国十强”等称号。

近3年,科室承担国家自然基金16项(重点项目1项),发表SCI文章百余篇,最高影响因子41分,最高他引629次。

加载中...