新浪财经

关爱生命 从心脏开始

北京日报

关注

本篇内容

·心脏有哪些部位需要定期“检修”

·几项心脏检查的详细介绍

随着现代生活节奏的加快,人们的生活压力越来越大,心脏疾病也变得越来越普遍。心脏位于胸腔内,略偏左侧,紧靠胸骨后方,包括四个腔室及其附属结构,就像一座两室两厅(两心房两心室)的房子,房子里有完善的电路(电传导系统)、水路(血管),门窗(瓣膜)和墙壁(房间隔、室间隔等)。

“房子”要定期检修,不同部位出现问题都要找专业人士进行评估或维修。通过心脏检查,可以及时发现心脏问题,为预防和治疗提供有力帮助。常见检修方法主要有以下几种:

电路检查

心电图

心电图是一种通过记录心脏电活动的变化来评估心脏功能的一种检查,用来检查“房子”的电路。

心电图可以检测到心脏的起搏点和传导系统是否正常。当心肌缺血时,心脏的电活动会发生变化,就像电器坏了电流会发生改变一样,这样就反映在心电图上。心电图是诊断心律失常最常用、最简单的方法。

需要指出的是,如果做心电图的时候胸口不疼,可能就收集不到心肌缺血的图像,这个时候就要通过增加心脏的活动量来检查是否心肌缺血。

运动负荷试验

运动负荷试验是通过运动增加心脏负荷而诱发心肌缺血,从而出现缺血性心电图改变的试验方法,又称“运动平板试验”。

试验方法:

检查在平板上进行,逐渐增加运动强度直至达到预计心率(极量运动心率的85%)而终止运动,或患者出现疲劳、心悸、气短、头晕以及胸闷不适等症状时停止运动,患者也可随时主动提出终止运动。

冠状动脉CT/冠状动脉造影

冠状动脉CT检查就是我们俗称的“冠脉CT”,该检查是通过静脉注入造影剂,采用CT平扫和计算机图像重建,获得心脏和冠状动脉成像的方法,可以检测到冠状动脉是否存在狭窄、斑块、钙化等问题,是筛查和诊断冠心病的重要手段。

冠状动脉CT是一种相对较新的检查方法,可以提供更全面的心脏血管评估。在进行冠状动脉CT检查前,需要做好充分的准备工作,由于需要注射造影剂,因此可能会对肾脏功能造成一定的影响,对于肾功能不全的患者需要谨慎选择。

与冠状动脉CT相比,冠状动脉造影对冠状动脉的检查更加直接,更加可靠。

冠状动脉造影是一种较为安全可靠的微创诊疗技术,现已被广泛应用于临床,被认为是诊断冠状动脉粥样硬化性心脏病(冠心病)的“金标准”。

采用局部麻醉的方法,经皮从桡动脉(手腕处)或者股动脉(腹股沟处,即大腿根部)穿刺,插入一根细小导管,送至心脏表面的冠状动脉,并注入在X光下能够显影的造影剂,根据冠状动脉造影情况明确动脉血管的数量、形态,进而有效评价冠状动脉病变的严重程度和范围,为治疗方案的制定提供可靠依据,术后恢复时间较短。形象地说,它相当于查看我们心脏中各处的供水管道,及时发现冠状动脉有无堵塞。

整体房屋质量鉴定

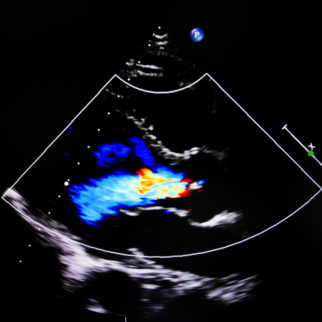
心脏彩超(超声心电图)

超声心动图是一种无创性的心脏检查方法,通过超声波探测心脏的内部结构和功能,可以观察到各个“房间”的大小、形态是否正常,“门窗”、“墙壁”是否完整,功能是否正常,它可以检测到心脏瓣膜是否正常工作,心脏壁是否增厚或变薄,以及心脏的收缩和舒张功能是否正常,能够直观地看到心脏的内部结构。在此基础上添加彩色多普勒,可以观察心脏的血流是否正常,评估心脏血流动力学,更加准确评估病情。形象地说,超声心电图就相当于雷达探测器,探测心脏结构是不是合理,墙壁稳不稳固,门是否关得严。

心脏的辅助检查还包括:心肌酶检查、动态心电图检查(Holter)、心肌核素检查等等。

心肌酶检查

心肌酶是存在心肌的多种酶的总称,急性心肌梗死时,因心肌细胞坏死而释放出心肌内多种酶,心肌酶升高提示存在心肌坏死,这项检查是确诊心梗的重要手段之一。形象地说,心肌酶检查就相当于一个侦探,通过脱落的墙皮推测房子是否有损伤。

动态心电图检查(Holter)

是一种通过贴在病人前胸电极,将受检者24小时静息、活动以及立、卧、坐位等不同时间不同状态的心电波形,连续不断地记录于记录仪中,再将记录仪储存的资料输入电脑,经过综合分析得出结论。Holter能检出隐匿性心律失常,监测快速性心律失常,观察缓慢性心律失常,协助判断不同类型异位节律或传导阻滞的临床意义,评价抗心律失常药物的疗效等。

进行动态心电图检查(Holter)时需注意:

1.有些皮肤敏感的人群可能会因为对电极片过敏,出现局部发红、瘙痒甚至过敏性皮炎等现象。如出现严重过敏、皮肤破损的现象需要就诊皮肤科。

2. 在佩戴期间要远离手机、电脑、电视等强电场、强磁场的物品,同样不能睡电热毯,尽量不将手机带在身上。

3. 患者须保持皮肤干燥,如果发现电极片因受潮脱落的话,请及时用胶带将其固定。

4. 动态心电图记录的是正常生活状态下的心电改变,佩戴Holter期间的人群可正常活动,但要尽量避免剧烈活动,需要如扩胸、提举重物、洗衣服等上肢活动。

心肌核素检查

心肌核素检查的基本原理是采用放射性核素[如201铊(Tl)]作为心肌血流灌注示踪剂,观察该示踪剂在心肌的分布情况,从而评估心脏功能的一种检查方法。

综上所述,心脏检查是预防和治疗心脏疾病的重要手段,通过心脏检查,可以及时发现心脏问题,为预防和治疗提供有力帮助。不同的检查方法可以评估心脏的不同方面,不同部位出现问题都要找专业人士进行评估或维修。在选择检查方法时,需要根据患者的具体情况和医生的建议进行综合考虑。心脏是一套无价的房子,我们要爱惜心脏,做到定期检查和保养。

来源:心血管内科

作者:于胜楠

加载中...