新浪财经

越治越严重!患儿隐瞒病情,导致误诊半年……

市场资讯 2024.02.28 19:23

转自:医学界网站

近期在门诊遇到一个令人印象深刻的误诊病例,在这与各位同仁分享,希望与大家一起吸取教训、总结经验。

在当地医院越治越贫血的患儿

8岁男孩小麒,半年前学校体检时发现血色素偏低(具体数值不详),在当地医院就诊,当地医生考虑缺铁性贫血,给予铁剂治疗。孩子因上课等原因,不规律口服铁剂约2个月,治疗效果不佳。

近几日,小麒因少许咳嗽3天就诊医院门诊。起病来,无明显咳痰,无发热,无咽痛,无流涕,无气促、发绀,无气喘,无胸闷、胸痛。在门诊查血常规提示贫血,血红蛋白:68g/L,已经快接近重度贫血。

据小麒母亲描述,小麒出生后母乳喂养,6个月开始添加辅食(鸡蛋、米粉、粥过渡到米饭),平常胃口较好,不挑食、偏食,以前体检都是好的,没有贫血情况。最近几个月容易犯困,读书精神没以前那么好,还以为是读书比较累的缘故。平常没有腹痛,大便正常,没有见到血。小便也正常,体重也无明显改变。

入院后查了贫血系列:铁蛋白1.7ng/ml,维生素B12和叶酸都在正常范围内。血常规提示正细胞性贫血,血涂片未见明显幼稚细胞。网织红细胞计数在正常范围内。粪便常规及隐血,提示隐血+。尿常规未见明显异常。凝血功能未见明显异常。

粪便隐血?之前问患儿大小便情况时,患儿说自己大便正常……那看来诊断得往另一个方向思考了。

总结一下此患儿的情况:

1、8岁男孩,发现贫血半年,既往无挑食、偏食,既往无贫血情况,经口服铁剂治疗效果不佳。无尿红,无反复发热,无慢性咳嗽;

2、铁蛋白低于正常范围,血常规提示正细胞性贫血,网织红细胞计数正常,粪便隐血阳性。

根据现有的资料,提示患儿可能存在慢性失血,慢性失血的部位指向消化道。

跟小麒母亲商量后,建议完善胃镜、肠镜检查。患儿母亲犹豫再三,考虑到侵入性操作,拒绝胃肠镜检查。我们只能退而求其次,完善腹部CT。

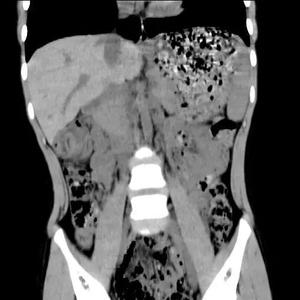
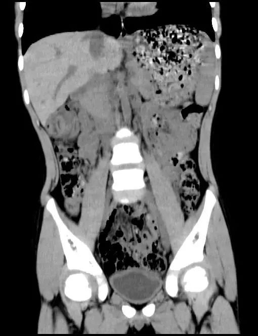
腹部检查显示肠套叠?

腹部CT出来后,提示结肠肝区似同心圆样改变,难道是肠套叠吗?

我立即嘱患儿完善腹部B超,结果也提示肠套叠!那这万万不可马虎,又立即予空气灌肠,但空气灌肠后未见明显肠套叠,升结肠却发现了类圆形块影……这是怎么回事?

再次与家属沟通,家属同意予肠镜检查,在麻醉后发现升结肠肿块,性质待排,在肠镜下摘除,病理活检。

在等待活检的时间里,我们再与患儿反复沟通,患儿思索良久,回答说好像有大便带血情况。唉,如果能早点追问出来或者患儿(家属)刚开始便说明病情,诊断可能就能早点明确,也不至于当做缺铁性贫血治了半年,患儿都快接近重度贫血了……

最终病理报告提示肿块符合幼年性息肉。

幼年性息肉

幼年性息肉(Juvenile polyp,JP)是一种罕见的常染色体显性遗传病,发病率为 1/10 万~1/16 万。属错构瘤性息肉。所谓错构瘤,是指正常组织异常增生而成瘤样改变,它与炎性息肉、增生性息肉皆为非肿瘤性息肉。

1957年由Horrilleno命名为Juvenile polyp,“幼年性”是指息肉的组织学类型,即镜下表现为黏膜固有层增生、腺体囊性扩张及炎性细胞浸润。消化道息肉是小儿便血的主要原因,发病率约为1%。而儿童结肠息肉93%以上为JP。

随着人们对胃肠镜检查认知度的提高,现代消化内镜设备的不断升级,以及内镜操作医师操作技术的不断提升,镜下发现JP逐渐增多。JP多为单发。

儿童结直肠息肉是儿童下消化道出血的常见病因。男性患儿多见,发病年龄主要集中在2-7岁,其中3-4岁龄最多。患儿临床表现几乎都有便血,此外还有肛门脱出物、便秘,腹泻腹痛较少见。

不同年龄段患儿息肉的大小均以<2cm居多,分布均以直肠为主,乙状结肠、降结肠次之。儿童结直肠息肉中主要是孤立性幼年性息肉,此外还有幼年性息肉病、PJS、家族性腺瘤性息肉病(familial adenomatous polyposis,FAP)等。

幼年性息肉、幼年性息肉病和PJS均属于错构瘤性息肉,此外还有少见的腺瘤性(如FAP)、炎性和增生性息肉。其中幼年性息肉病诊断标准为结直肠幼年性息肉≥5枚,或全胃肠道有幼年性息肉,或发现幼年性息肉并有幼年性息肉病家族史,具有其中之一者即可诊断。

本研究以单发息肉为主。息肉数≥5枚的有28例,主要是PJS和幼年性息肉病。所切除息肉以有蒂息肉(山田分型Ⅳ型)为主,病理检查结果以幼年性息肉为主,未见恶性息肉。提示儿童结直肠息肉多为单发、有蒂、幼年性息肉。

普遍认为幼年性息肉很少发生恶变,但近年研究发现即使幼年性息肉同样具有潜在恶变的风险,且与其数量相关。一般认为孤立性幼年性息肉几乎没有变为结肠癌的风险,但将来是否可能长出更多息肉,甚至发展为幼年性息肉病需长期随访。

多发性幼年性息肉患者发生腺瘤及癌变的风险比单发者明显增高,尤其是息肉数≥3枚或具有幼年性息肉病家族史者,癌变的风险将进一步增高,其中幼年性息肉病的恶变风险可达50%左右。

因此,儿童结直肠息肉一旦诊断即切除是当下的治疗原则,但针对FAP,临床上则主要以监测息肉的恶性倾向及结肠切除为主。

儿童结直肠息肉的切除包括外科手术切除和内镜下切除。内镜下息肉切除因创伤小、预后好,被广泛接受和推广。结直肠息肉内镜治疗的常见方式和应用如下:冷/热钳夹活检术主要针对直径5mm的有蒂息肉,特别是血供丰富的幼年性息肉。

EMR用内镜下黏膜切除术(endoscopic mucosal resection,EMR)是圈套器切除术联合黏膜注射的新技术,可以提高病变的隆起高度,减少肠壁全层损伤,降低术后出血、穿孔等并发症,增加息肉切除的范围等,适合儿童结直肠巨大的无蒂息肉的切除。

ESD内镜下黏膜剥离术(endoscopic submucosal dissection,ESD)主要用于直径>2cm广基底且需一次性切除病变、抬举 征阴性的腺瘤等,由于ESD 有较高的技术要求和 严重的并发症,且儿童肠道侧向发育肿瘤疾病少见,因此很少用于治疗儿童结直肠息肉,仅有个别报道。

鉴于儿童结直肠息肉大多为有蒂、良性息肉,因此圈套器息肉切除术基本可用于治疗绝大多数的儿童结直肠息肉。

加载中...