新浪财经

内镜下成功切除4厘米巨大包块,外国医生称大开眼界

市场资讯 2024.02.27 20:07

转自:医学界网站

患者,女,47岁,

查出十二指肠降段包块伴溃疡,

转至四川大学华西医院消化内科就诊,

患者强烈希望通过内镜切除包块。

今天,让我们一起来看,四川大学华西医院消化内科胡兵教授团队,如何在内镜下为这位患者切除一个约为4cm*3cm*2cm的十二指肠降段巨大包块。

因黑便查出包块,

到华西进一步治疗

2023年10月,患者樊女士因黑便在当地医院住院治疗,胃镜检查提示为十二指肠降段包块伴溃疡,在当地医院进行止血处理。为求进一步治疗,经基层医生推荐后于2023年11月23日到四川大学华西医院消化内科胡兵教授处就诊。

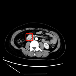
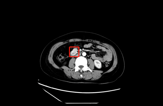
胡兵教授仔细问诊后,建议樊女士完善术前腹部增强CT和超声内镜检查。增强CT及超声内镜均提示:十二指肠水平段见软组织包块,向腔外膨胀性生长,边界清楚,未见淋巴结肿大及远处转移,十二指肠管腔轻度稍狭窄改变。

希望内镜切除包块,

但存在巨大挑战

由于病情复杂等原因,樊女士及家人对外科手术比较抗拒,强烈希望通过内镜切除。然而,内镜下无法完全看清包块全貌,如需完整切除,势必要进行全层切除术,这也给内镜手术带来巨大的考验和挑战。

内镜下全层切除术(endoscopic full-thickness resection,EFTR)是一种主动穿孔的内镜下手术,能较安全地切除深层黏膜下的肿瘤,相较于腹腔镜及开腹手术,创伤较小、且更能保留器官完整性、术后恢复较快。

相比食管、胃、结直肠等部位,因为空间狭小、血管丰富、操作困难,内镜下十二指肠手术难度更大,靠近十二指肠乳头部位的手术则更具挑战性,如果不是经验丰富的医生,往往不敢轻易尝试。

制定详细治疗方案,

4小时成功内镜切除

在知晓内镜手术难度和风险后,患者及家属向胡兵教授表达了坚持希望内镜下进行切除的强烈愿望,并做好了随时转外科手术的准备。胡兵教授仔细评估患者情况,并制定了详细的内镜切除手术方案。

2023年12月19日,手术进行。由于包块距离十二指肠乳头仅约1cm,且包块周围血管异常丰富,在刚刚开始手术的时候就出现了出血情况,团队及时止血并进行仔细分离。

全层剥离十二指肠腔部分的包块后,内镜进入到腹腔继续分离腹腔部分的包块。手术视野血管增多,增大了在腹腔内分离包块的手术操作难度。外科出身的胡兵教授凭借对解剖结构的熟悉以及丰富经验,经过4个多小时的不懈努力,将包块完整地切除下来。

然而,创面缝合又是一大难关。病变是通过全层剥离方式切除,故创面较大较深,且十二指肠管腔结构原因导致操作空间狭小。胡兵教授采用双荷包缝合技术耗时半小时对创面进行了缝合。

术后病理结果提示为低风险的胃肠道间质瘤。术后一周,樊女士康复出院;术后随访了解恢复情况良好,按医嘱循序进食,无不适症状。

在手术现场观摩学习的俄罗斯谢东诺夫医院Pavel V.Pavlov教授和印度Bimal Kumar Sahu医生表示,在包块巨大、位置特殊、血管丰富以及腹腔内视野受阻的情况下成功完成手术,让人大开眼界,“在华西见识到了内镜如何挑战极限”。

本次内镜手术的成功不仅为十二指肠相关疾病患者提供了新的选择,也展示了华西医院内镜中心团队高超和娴熟的技艺。

加载中...